Found 5190 results. Found 49 authors.
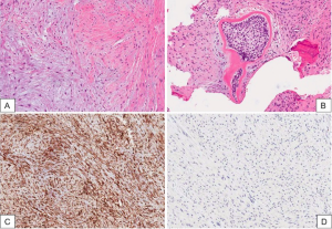
Authors:Massimo Albanese, Luigi Fabrizio Rodella, Dario Bertossi, Luca Parenti, Erminia Manfrin, Francesca Zotti
Fibromyxoma is a benign locally aggressive odontogenic tumor with a mesenchymal origin, however its nature is controversial. The World Health Organization both in 2005 classification and 2017...
Oral pathology 04 February 2021
Authors:Martina Salvatorina Murgia, Maria Elisabetta Murgia, Alessandra Scano, Cinzia Casu, Germano Orrù
Herpes simplex 1 (HSV-1) infection is often underestimated, despite the global seroprevalence of the virus, present in about 3709 million people. It is estimated that both HSV-1 and Herpes simplex...
Products 04 February 2021
Author: Tommaso Albonetti
Two innovative new solutions reshaping root canal therapy: RACE®EVO for Continuous Rotation & R-Motion® for Reciprocating Motion. A legacy founded on years of trusted performance and expertise,...
Periodontology 04 February 2021
10-year study on periodontal health in reduced dental arch rehabilitation
Current aging populations are expected to retain more teeth associated with a high burden of periodontal diseases . In elderly patients, the concept of shortened or reduced dental arch (SDA)...
Oral Hygiene & Prevention 04 February 2021
Chemical disinfectants in dentistry in the COVID-19 era: ‘common sense’ versus ‘COVID-19 sense’
Author: SJÖGREN PETTERI, DDS, PHD AND ZIMMERMAN MIKAEL, DDS, PHD, ASSOCIATE PROFESSOR
A new coronavirus, subsequently named Severe acute respiratory syndrome coronavirus 2 (SARS-CoV-2), was identified in December 2019, in China, causing a previously unknown pneumonia in humans. This...
Author: Luigi Campopiano
According to Ray Dalio “if you don’t hold gold, you understand nothing of history or economics”. Which means: Dalio is the founder of Bridgewater, the largest hedge fund in the world, and says...
Endodontics 04 February 2021
Regenerative Endodontic Procedures: state of the art and clinical procedures
Authors:Barbara G. Nunez Torrijos, Gianluca Plotino, Simone Staffoli, Eugenio Pedullà, Maurizio Bossù, Gianluca Gambarini, Antonella Polimeni
Calcium hydroxide apexification and Mineral Trioxide Aggregate (MTA) apexification are classical treatments for necrotic immature permanent teeth, but they still present some drawbacks. With both...
USA 29 January 2021 - 01 January 1970
Seattle Study Club’s 2021 Symposium, Revisualizing Reality, offers an unprecedented opportunity to learn from 75 of the finest minds in dentistry. With presenters hand-selected for the breadth and...
Oral surgery 26 January 2021
Molars with intra-radicular horizontal and vertical bone destruction tend to respond less favorably to routine periodontal treatment than single-rooted teeth. Class II and III furcation involvement...
Authors: Eleonora Ortu, Giuseppe Aprile, Ruggero Cattaneo, Davide Pietropaoli, Mario Giannoni and Annalisa Monaco
ObjectiveThe management of the deep bite, especially during the growth is very difficult, because there are not guidelines to follow for the orthodontist. The aim of this paper is describe a case of...
Prosthodontics 26 January 2021
Oral health care aims at the maintenance of at least a functional and natural dentition throughout life, but although edentulism registered a great decrease, management of elders with partial teeth...
Digital Dentistry 26 January 2021
3D facial scanners or 2D images for patient communication and treatment planning?
Intraoral scanners, facial scanners, and computer-aided design software programs have become powerful tools for treatment planning and previsualization, and are everyday more often used by dentists...
Implantology 26 January 2021
Smoking is one of the most important predisposing factors for peri-implant inflammation of the soft tissues (peri-implant mucositis) and crestal bone loss (CBL) (peri-implantitis). It has been...
Restorative dentistry 26 January 2021
Co-authors: A. Comba, F. Del Bianco
Direct composite restorations are considered an excellent solution for posterior teeth rehabilitation. However, in some cases, despite the evolution of adhesive systems and composite materials, a...
News 22 January 2021
Author: Tommaso Albonetti
Innovative dental consumables manufacturer Directa Directa Dental Group, based in Upplands Väsby, Sweden, is proud to announce the acquisition of Swedish endodontic product manufacturer Sendoline AB...
USA 22 January 2021 - 01 January 1970
Endo Summit 2021 - The world-leading experts together at your home.
Author: Tommaso Albonetti
Endo Summit 2021 is one of the most important events for endodontics; with some of the internationally renowned in the World of modern Endodontics, The worldwide Endodontic Summit 2021 will offer 8...
Author: Tommaso Albonetti
“Dentists, as trusted health care providers, have an opportunity to serve as a resource for evidence-based information, helping to educate colleagues and the public about the COVID-19 vaccination....
Restorative dentistry 12 January 2021
Co-authors: A. Comba, F. Del Bianco
Ceramic veneers are considered an excellent choice for anterior restorations, especially when high aesthetic demand is needed. The literature in the field reveals different annual failure rates for...
News 12 January 2021
Dentsply Sirona (www.dentsplysirona.com) announced the acquisition of Byte (www.byteme.com), a fast-growing company specialized in the clear aligner market; with the acquisition, Dentsply Sirona...
Endodontics 12 January 2021
An interesting review on Cryotherapy in Endodontics have been recently published on Journal of Endodontics; this simple and easy procedure might be accomplished by different methods and can provide...