Male 59 year old patient, non smoker, with no evidence of systemic diseases.
The patient presents a superior provisional bridge anchored on three dental pieces 1.2,1.1, 2.3 and on an implant in 2.4.
Additionally, ha has two implants in 1.4 and 1.5 with fractured prosthetic connections that can!t be considered useful anymore.
The dental pieces (1.2, 1.1, 2.3) present a mobility grade III and the implant in 2.4 shows an hori- zontal bone resorption of 4/5mm and previous abscesses.
In the posterior sectors a severe bone atrophy can be observed. FIG 1
TREATMENT PLAN
The treatment plan includes the placement of implants in the anterior sector by means of a guided surgery on traditional implants whereas in the posterior sectors zygomatic implants will be realised with no need of a guided surgery technique.
The immediate load of 12 provisional elements will be achieved.
DATA COLLECTION
The therapeutic project start with taking impressions of the area that will undergo the surgery, the antagonist area and the bite-block by means of an intraoral scanner.
Facial scans, useful both as STL files and pre-surgical image documentation, are also taken. The following phase includes the patient undergoing a CBCT scan with stent, being it an extra oral geometry needed in order to re-align the CBCT files!"DICOM with the STL ones from the intra oral and facial scansion. In the next step condylar movements are registered with Prosystom software.
The latter collects condylar movement in left and right laterality, opening and closing, singularly revealed and in complete masticatory pattern. Data are afterwards exported in a reading format by exocad software.
The files from the intraoral scansion, facial scansion, CBCT and axiography are paired in the soft- ware in order to realise a diagnostic waxing with individual values. FIG 2
The diagnostic waxing, paired with the files from the CBCT, allows us to accurately choose the right position for implant placement by analysing quality and quantity of bone in relation to the future position of teeth.
This approach is defined as prosthetically guided surgery and allows the placement of a provi- sional that is able to follow the habitual masticatory pattern of the patient, before the surgical pro- cedure.
The implants, of a traditional length in the premaxilla, are therefore placed virtually using the soft- ware, and a splint obtained with 3D printer, which will the serve as a guide for our drills and im- plants in the established position. While the zygomatic implants, studied as well with the software with an prosthetic out bounding under two first molars, are then applied hand free. FIG 3
SURGICAL INTERVENTION and LOADING
Previous articaine and adrenaline infiltration injections 1:100.000, the extractions performed are of the dental elements 1.1, 1.2, 2.3, of the implants having a broken prothesis collar 1.4, 1.5 and also of the implants with peri-implantitis on 2.5, performing an accurate alveolar toilette. The surgical splint is placed in the oral cavity thanks to the surgeon index and fixed to the maxilla- ry bone through positional pin.
The first bur used is the mucosal punch (or circular scalpel) excising the mucosal portion to the region where later the bur will be used to create the new alveolus, defining its diameter. FIG 4
The sequence of drills that is used must be followed systematically in order to reach the expected results.
Guided surgery, to be defined as such, expects all the steps to be guided by indexed bushings in which the drills can have a single tridimensional position with a length work stop and it expects also to insert the implants through the same bushing, with no removal of the splint. FIG 5
The implants are then recollect by the blister through the mounter which is tighten to the implant itself, guiding it into the bushing.
Once inserted the implants in the new alveolus, they are maintained by the mounter in the right position stabilized by the surgical splint. FIG 6
Once inserted all the implants with the corresponding mounter and once reached the minimum torque demanded for the immediate load, the splint is removed.
For the insertion of zygomatic implants, a minimal invasive access is obtained with an incision of 5 mm in the palatal crest and vestibular discharges in 1.4-1.7 and 2.4-2.7 areas.
A skeletonization of the maxillary bone is performed, together with an exposure of the lateral wall of the maxillary sinus, the infraorbital nerve and the zygomatic pommel (till when the anterior mar- gin of the tendon of the maseteric muscle is exposed).
It is finally identified the ideal pathway of the two zygomatic implants, by detecting the position of the first molar tooth on both walls of the maxillary crest.
It is then performed, along the right implant pathway, an osteotomy of the lateral side of the maxil- lary sinus through a small silver sphere suitable to allow a moderate detachment of the Schneider membrane. A further osteotomy of the lateral wall is performed with a circular diamond coated drill; this final osteotomy defines the natural placement for the drill for the final osteotomy. FIG 7
Once defined the new alveolus, the zygomatic implant is inserted following the prosthetic project.
After a careful homeostatic control, it’s possible to proceed to the suturing of the mucosal folds.
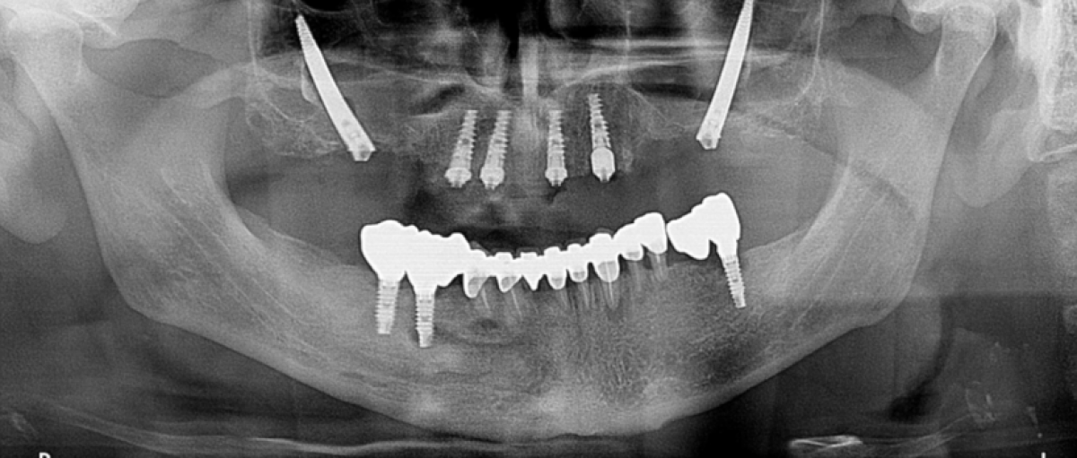
All the inserted implants have now reached an insertional torque sufficient enough to perform an immediate loading. FIG 8
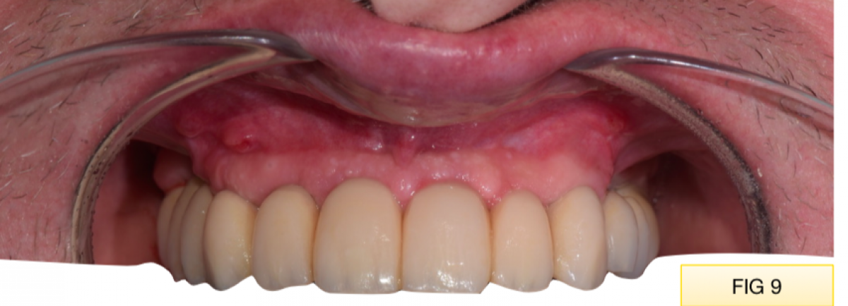
At the end the screwed temporary restoration is fixed with metal-metal cement at the abutments in oral cavity to ensure the passivation. FIG 9
The aim of the present study was to conduct a critical literature review about the technique of computer-guided surgery in implantology to highlight the indications, purposes, immediate loading of...
News 22 September 2023
The new software aims to streamline the guided surgery workflow and provide dentists with a comprehensive guided surgery solution.
USA 09 June 2023 - 11 June 2023
Freehand vs. guided: from start to finish - 2023 AAID Central District Meeting
The program will cover the many challenges with free-hand and guided surgery in patients with inadequate bone.
Prosthodontics 23 March 2023
Video: Dr. Nick Fahey, author of “Guided Surgery: Making Implant Placement Simpler”
Dentistry is a hard and rewarding career, Fahey added. “With technology and the things available to us, it’s an incredibly interesting career option,” he said.
Implantology 23 March 2023
Dr. Yaste's new book, “Pragmatic AOX,” highlights the use of a stackable surgical guide systems to perform full-arch implantology and rehabilitation.
Prosthodontics 16 April 2026
The use of orthodontics before fixed prosthodontics in restorative dentistry
For a variety of reasons, orthodontic intervention is often overlooked as a viable modality to correct occlusal, axial, rotational, and space discrepancies before undertaking fixed prosthetic...
Editorials 16 April 2026
Congratulations to Ane Poly, D.D.S., M.Sc., Ph.D., a clinical assistant professor in the UF Department of Endodontics, who was recently chosen as the college’s representative to the Council of...
ONEDAYBIOTECH products garner honor as one of the 16th Annual Readers’ Choice Top 25 Implant Products
News 16 April 2026
National leader in oral health integration and equity joins CareQuest Institute executive team.
News 16 April 2026
Henry Schein, Inc. (Nasdaq: HSIC), the world’s largest provider of healthcare solutions to office-based dental and medical practitioners, today announced its plan to reduce the size of its Board of...