HOME - Clinical cases - Oral surgery
 
 
23 January 2019

Socket sealing post-extractive with xenogenic porcine collagen matrix: a prospective clinical trial

Co-authors: A. L. Rossi, V. Capilupi, D. Palombo - Department of biomedical, surgical and dental sciences, Università degli studi di Milano, ASST Santi Paolo e Carlo, Clinical Unit of Oral Surgery

Matteo Chiapasco


INTRODUCTION 
Tooth extraction is associated with a significant alteration of the soft tissues surrounding the post-extraction alveolus. The alveolar bone crest preservation techniques are used in clinical practice to reduce the volumetric bone contraction that occurs as a result of the avulsion of a dental element and, at the same time, to restore the correct profile of hard and soft tissues. Within these techniques, different research activities have focused on the development of new materials and new surgical techniques, useful for the increase and preservation of the keratinized mucous tissue positioned around the rehabilitations on implants.
The objective of this prospective cohort study is to test the performance of a new xenogenic collagen matrix as a socket sealing material, to allow second-intention healing of post-extractive sockets filled with a xenogenic bone substitute or with an immediate submerged implant. 

MATERIALS AND METHODS 
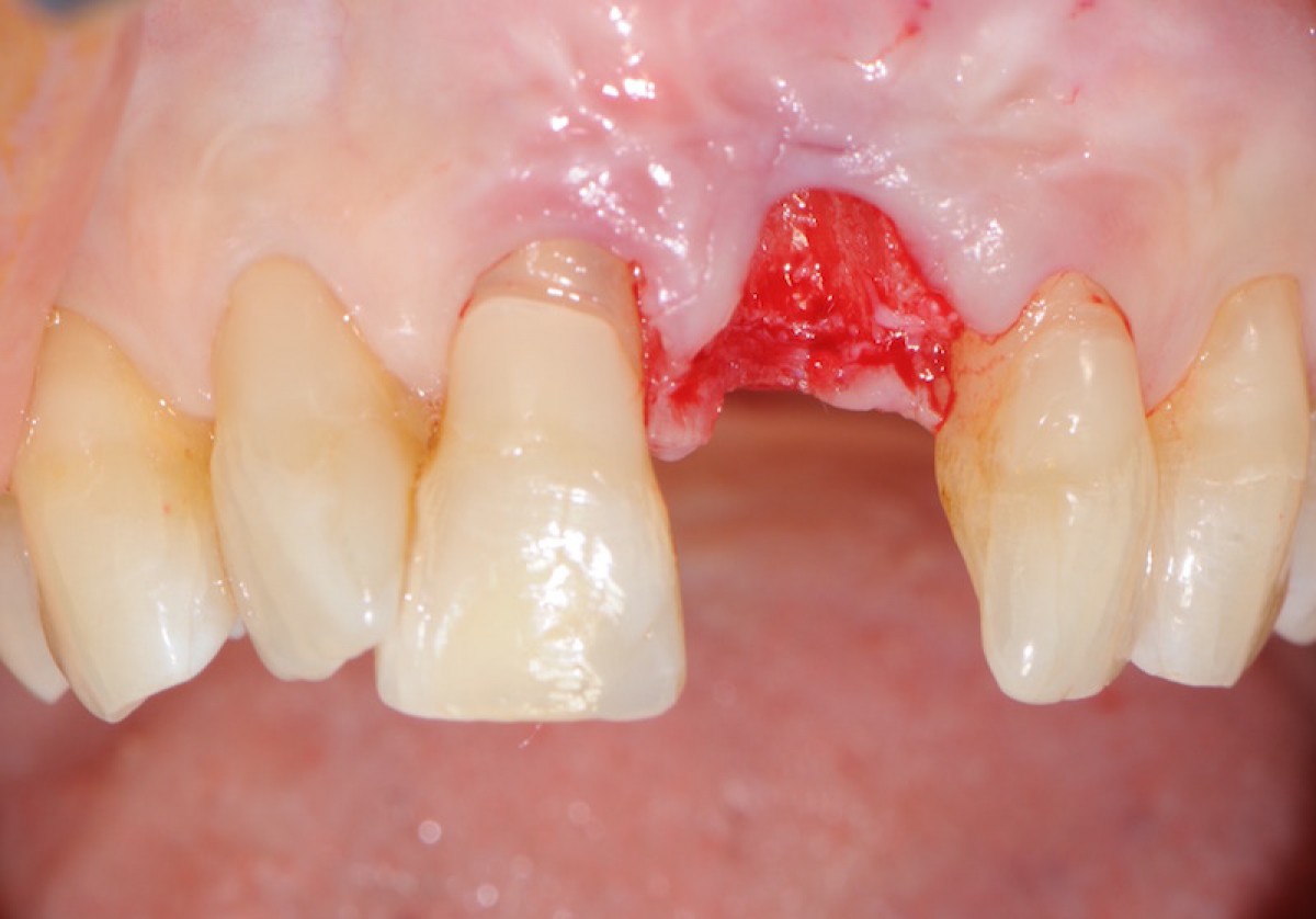
10 patients were recruited, presenting a single-rooted tooth scheduled for extraction. After atraumatic tooth removal, the post-extractive alveolus received either a socket preservation procedure or an immediate submerged implant. In both cases, the gingival margins of the alveolus were sealed with a xenogenic collagen matrix (Mucoderm, Botiss Dental, Zossen, Germany). The following parameters were evaluated:

  • exposed surface of the matrix at the end of surgery (T0);
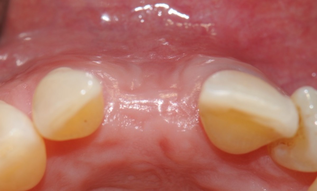
  • soft tissue healing at 1, 4, 6, and 8 weeks from surgery (T1-4);
  • histological aspect of gingiva samples, harvested 20 weeks after surgery (T5); 
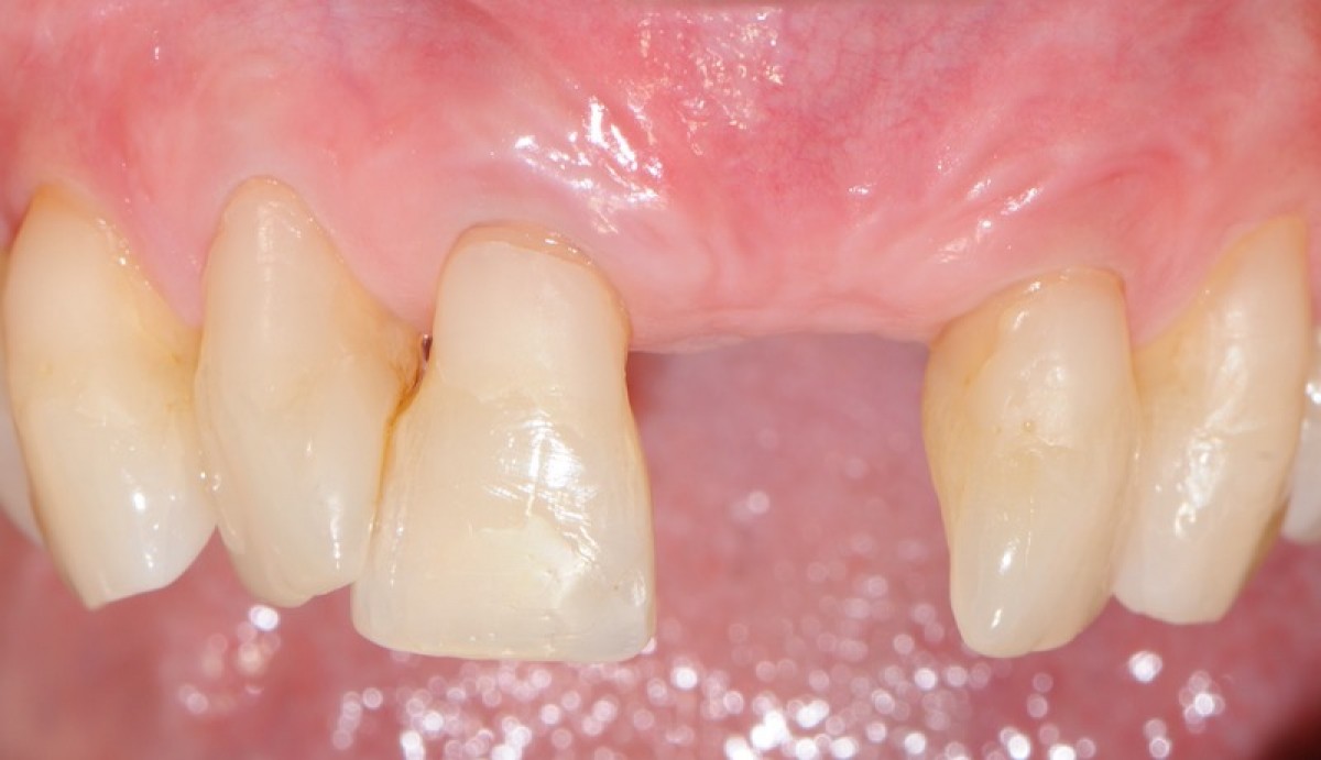
  • aesthetic performance provided by the socket sealing material (T4).     

RESULTS 
The results of the study showed that:

  • the mean post-operative exposure area of the matrix was 26.25 mm2 (14.2 to 38.84 mm2 );
  • 8 weeks after surgery, full wound closure was achieved in 9 out of 10 sites with healthy keratinized tissue;
  • the histological evaluation of gingiva sample revealed the presence of healthy keratinized gingival tissue, with no signs of aberrations or anomalies;
  • the mean colorimetric score ∆E between the regenerated site and the surrounding gingiva was 3.76 (3 to 6.55).

Seven out of 10 patients reported an excellent aesthetic integration of the matrix (∆E < 3.7). 

CONCLUSIONS 
Preliminary results from this study suggest that this new xenogenic porcine-derived collagen matrix could represent a valuable alternative to allow second intention healing of post-extractive sockets filled with a xenogenic bone substitute or with an immediate submerged implant. New randomized clinical trials are needed to confirm the preliminary results obtained in the study and evaluate the long-term benefits.  

CLINICAL SIGNIFICANCE 
The alveolar bone crest preservation techniques are used in clinical practice to reduce the volumetric bone contraction that occurs as a result of the avulsion of a dental element and, at the same time, to restore the correct profile of hard and soft tissues. In the present study, the use of the xenogenic matrix in collagen, in the coverage of a post-extraction site, seem to allow a correct regeneration and integration of the keratinized gingival tissue overlying the alveolus, both from a biological and an aesthetic point of view. However, the lack of consolidated scientific evidence regarding this technique requires the execution of new randomized clinical trials, aimed at confirming the results obtained, evaluating their long-term benefits. 


For additional information: 
Dental Cadmos n° 05/2018 - https://doi.org/10.19256/d.cadmos.05.2018.06

Related articles

Loss of teeth in children is commonly caused due to traumatic exposure or anodontia.


Background Periapical surgery is a critical intervention in the management of persistent periapical pathologies when conventional endodontic treatments fail. 


Antibiotic prophylaxis (AP) still represents a common but often misused procedure in dental practice, thus aggravating the risk for antimicrobial resistance and adverse effects occurrence.


The authors assessed the incidence of postoperative bleeding in patients who were highly anticoagulated and in patients who underwent extensive oral surgical procedures and who continued using oral...


Proper implant treatment planning remains the first priority for implant success. Dental imaging is an important tool to accomplish this task.


Read more

Patient perception research has failed to focus on burgeoning technology within the dental field.


Some admissions experiences can make an applicant feel like a statistic being analyzed or, as first-year Florida dental student Nate Fordham put it, like a “mushroom”: kept in the dark and fed...


Streamline your workflow with BioHorizons. Tapered Pro Conical offers a single, color-coded prosthetic platform for all full-arch cases.


Following AI Voice Perio, voice-driven charting expands to restorative exams, enabling single-provider clinical documentation in Denticon.


Cosmetic & Reconstructive Dentistry recently announced the creation of a new scholarship program supporting graduating seniors from Fairfield’s public high schools who plan to pursue studies in...


 
 
 
 

 
 
 
 

Most popular

 
 

Events