33-year-old male patient with negative medical history, who came for a visit many years after the last dental check-up. He reported pain on chewing of the first upper molar. The physical examination (fig 1) showed the presence of an old and extensive composite filling on 1.6 . The cold test performed on this tooth was negative and highlighted the presence of an irreversible pulp pathology. The percussion test was positive.
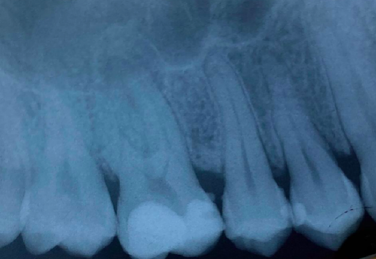
The radiographic examination (fig 2) showed the presence of periapical lesion on 1.6 and an extensive composite filling.
Diagnosis: irreversible pulp pathology of 1.6
Proposed treatment plan:
Endodontic treatment of 1.6
Indirect restoration of 1.6
1)Removal of old filling and endodontic treatment of 1.6
Isolation of the operating field with the rubber dam fixed at the level of element 1.7 with a W8A hook (Fig. 3). Subsequently, removal of the old filling on 1.6.
The removal of the resin composite filling and the access to the pulp chamber was performed by using a cutter cylindrical diamond bur and a ceramic rosette, for the removal of infected tissue at the dentin substrate level (fig 4).
The endodontic treatment was performed by using Protaper Gold instruments, from SX to F1 for MB1, MB2 and DB canals; from SX to F2 for P canal. The mechanical action of the instruments was assisted by the chemical action of root canal irrigants (NaCl and EDTA). The gutta-percha obturation was performed in each canals and the pulp chamber was cleaned of any gutta-percha and sealer.
The cavity margins were finished with red and yellow ring diamond cutters. The cervical steps of the cavities were also terminated with red and yellow grit diamond cutters mounted on the EVA handpiece and abrasive diamond strips (Fig.5).
2)Build-up and impression
After the application of an etch-and-rinse 3 steps adhesive system for 1.6 and a self-etch 2 steps adhesive system with pre-etching of the enamel, the composite build-up was carried out (Fig 6), which was subsequently prepared and finished with diamond burs with decreasing grain size.
Once the rubber dam was removed, the residual thicknesses for the future indirect restoration were assessed and the impression of the entire upper arch with PVS and the antagonist alginate arch were taken. In order to avoid problems related to the sensitivity of the prepared vital elements, a temporary restoration was used.
3)Overlay lithium disilicate cementation
At the next appointment, we proceeded by removing the temporary restorations and isolating the operating field with the rubber dam. The prepared elements were cleaned with prophylaxis brushes and glycine conveyed with air flow and then the adhesive procedures were carried out on 1.6: etched with 37% orthophosphoric acid, primer application and bonding, the latter uncured.
At the same time, the adhesive preparation of the lithium disilicate overlay (fig 7) took place: fluoridric acid 5% for 20 seconds, application of the silane for 60 seconds, bonding without proceeding with its polymerization.
A layer of heated nanohybrid composite, color A3, was placed on the bottom of the build-up of 1.6 (Fig 8) and the composite product was housed on the preparation with the help of an adhesive plastic stick. In order to correctly position the product, constant pressure was performed with the help of a ball burnisher and a dedicated ultrasound tip.
The polymerization phase was performed for 40 seconds per surfaces.
To finish the surfaces of the restored elements, diamond cutters with low particle size were used, followed by paper disks with different degrees of abrasiveness, by rubber pads and brushes. The interproximal area was further refined with low-grain diamond burs on the EVA handpiece and with low-abrasive metal strips, in order to maintain a correct contact point and emergence profile.
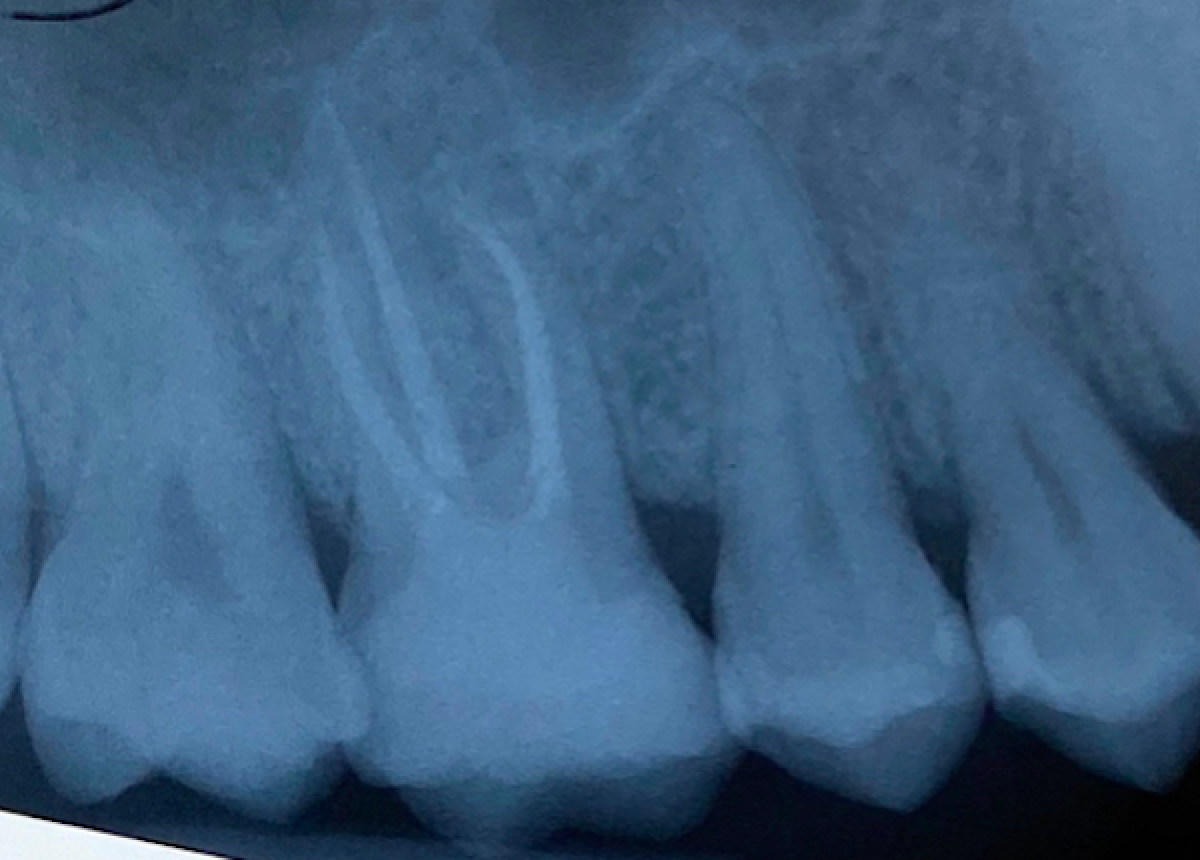
The reconstructed element were checked one week after the last appointment to check for any problems during the function (Fig.9 a-b ).
Restorative dentistry 16 September 2022
Deep Margin Relocation: flowable or traditional hybrid composite?
Co-authors: A. Comba, F. Del Bianco
In patients requiring an indirect restoration, the proximal box is often below the surrounding gingival margin and close, or even below, the cementoenamel junction (CEJ). Deep margins may...
Digital Dentistry 27 October 2021
Digital Procedures Compared to Conventional Gypsum Casts: an ex vivo study
Computer-assisted design/manufacturing (CAD/CAM) systems have made single tooth indirect restoration easier, faster, and more predictable. Intraoral scanning and milling devices allow simple and fast...
Restorative dentistry 08 September 2021
Authors: Giulia Caldara, Luisa Paternoster, Alessia Tasco, Dott. Salvatore Scolavino, Dott. Katia Greco, Prof. Giuseppe Cantatore, Dott. Gaetano Paolone
The aim of this article is to help the clinician refine the knowledge on the optical properties of dental elements, on composite shades and how to detect them from the teeth that have to be restored,...
Prosthodontics 12 February 2020
Which is the best adhesive cementation protocol for glass ceramic restoration?
Dentists must regularly determine the best adhesive cementation protocol for glass-ceramic restorations on posterior teeth. A few in vivo follow-up...
38-year-old male patient with negative medical history, who comes for a visit many years after the last dental check-up. He reports difficulty in removing food residues in the interproximal areas, in...
Oral pathology 25 November 2025
Virtual microscopy (VM) is a technology for showing microscope slides using computers and could be considered a progression of classic methodology using optical microscopes.
For every assist this season, the insurance provider will donate $25 to TUSDM Cares for Veterans
Products 25 November 2025
J. MORITA USA, a world leader in handpiece technology, has announced the Rotary Master+ Electric Motor. Compatible with Morita TorqTech electric attachments and most competing electric handpieces on...
News 25 November 2025
Let’s be honest: nothing kills the vibe quite like bad breath. However, while 85% of people prefer for someone to tell them if their breath needs some freshening up, only 15% are willing to break...
News 25 November 2025
Vitana Pediatric & Orthodontic Partners (Vitana), a dentist-led dental partnership organization (DPO) focused exclusively on elite pediatric dental and orthodontic practices with operations in...