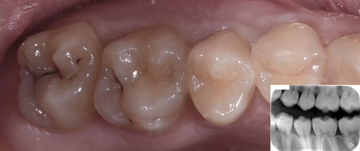
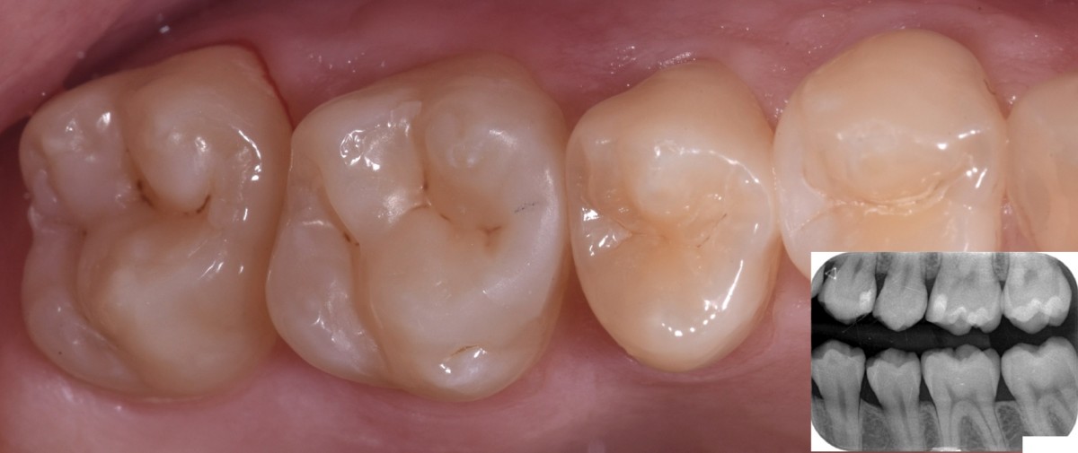
A 19-year-old female patient came to my attention reporting sensibility related to cold on the 2nd quadrant. The general medical history revealed nothing relevant. Clinical and rx bitwewing examination revealed primary interproximal decay of 2.6 mesial, with a possible involvement of 2.5 distal and an occlusal decay of 2.7. Vitality test was carried out and confirmed that all elements were vital. According to the young age of the patient and the good quantity of sound tissue structure, a minimally invasive approach with direct restorations was proposed.
CLINICAL PROCEDURES
Oral hygiene motivation was carried out, alongside with proper periodontal treatment (scaling, polishing) before taking initial photo and rx bitewing of the quadrant (Fig.1).
Isolation with rubber dam (Fig.2).
Cavity cleaning of all elements (Fig.3). I started with the cleaning of 2.6, in order to perform a direct inspection of 2.5 distal area. Since 2.5 distal presented a minor decay, without the involvement of the distal marginal crest, a slot approach was followed.
Detail of the prepared slot (Fig.4).
Adhesive procedures were carried out, after sandblasting, with a two-step self-etch adhesive system with selective enamel etching for 30s (Fig.5).
Detail of matrix adaptation on 2.6 after the competition of 2.5 slot restoration (Fig.7).
Restorations before polishing (Fig.8).
Restorations immediately after rubber dam removal with occlusal contacts (Fig.9).
3 years follow up and final rx bitewings (Fig.10).
Author: Andrea Baldi
A 24-year-old male patient came to my attention reporting sensibility related to sweet and cold on the 3rd quadrant. The general medical history revealed nothing relevant. Clinical examination...
Prosthodontics 25 October 2021
Authors: Antonio Gracco, Edoardo Conte, Alessandro Frezza, Sabina Saccomanno, Alberto De Stefani, Giovanni Bruno
Dental traumas frequently occur in young children and young adults. The maxillary incisors are the most commonly damaged teeth with a greater risk for central maxillary incisors, especially in...
Dental technology 12 April 2023
By Valentina Viganò, University of Milan
A study conducted by a team of researchers from the University of Medicine and Pharmacy of Cluj-Napoca in Romania aimed to compare the results of direct composite restorations, with and without the...
Restorative dentistry 16 September 2022
Deep Margin Relocation: flowable or traditional hybrid composite?
Co-authors: A. Comba, F. Del Bianco
In patients requiring an indirect restoration, the proximal box is often below the surrounding gingival margin and close, or even below, the cementoenamel junction (CEJ). Deep margins may...
Restorative dentistry 26 January 2021
Co-authors: A. Comba, F. Del Bianco
Direct composite restorations are considered an excellent solution for posterior teeth rehabilitation. However, in some cases, despite the evolution of adhesive systems and composite materials, a...
Implantology 03 February 2026
Bone Structure, Metabolism, and Physiology Its Impact on Dental Implantology
When placing implants in the mandible or maxilla, it is important for clinicians to understand the process of bone remodeling, the different types of bone, and how these factors can affect the...
Editorials 03 February 2026
Dr. Alireza Sadr of the Department of Restorative Dentistry has been appointed as the first-ever UW School of Dentistry Director of Digital Dentistry and Innovation, effective Jan. 1, 2026.
Products 03 February 2026
Families can now use SmileScan™, a free, AI-powered oral health scan offered by Dentistry.One, to identify potential areas of concern and receive an overall oral health score.
Investment supports professional growth for future oral health leaders and expands community outreach for underserved Oklahomans
News 03 February 2026
Henry Schein, Inc. (Nasdaq: HSIC), the world’s largest provider of health care solutions to office-based dental and medical practitioners, announced recently that it will release its fourth quarter...