A 24-year-old male patient came to my attention reporting sensibility related to sweet and cold on the 3rd quadrant. The general medical history revealed nothing relevant.
Clinical examination highlighted old direct restorations on 3.7 and 3.6, with irregular margins and initial signs of infiltration. Rx examination (orthopantomography and bitewings) revealed primary interproximal decays with dentinal involvement on 3.4, 3.5, 3.6 and 3.7. Vitality test was carried out and confirmed that all elements were vital.
According to the fact that the patient was young and all the teeth had a sufficient quantity of sound tissue structure, a minimally invasive approach with direct restorations was proposed.
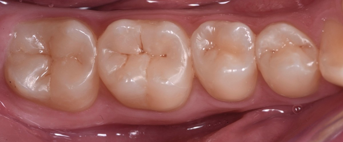
Oral hygiene motivation was carried out, alongside with proper periodontal treatment (scaling, polishing) before taking initial photo (Fig.1). Initial rx bitewing of the quadrant (Fig.2).
Isolation with rubber dam (Fig.3).
Initial cavity cleaning of all elements (Fig.4). 3.6 mesial and 3.5 mesial were not involved in first place, in order to evaluate them with direct view, since it was not clear if there was cavitation or just demineralization of the enamel. A horizontal slot approach was attempted on 3.4 mesial in order to preserve the marginal crest.
3.7 and 3.6 cavity cleaned. The mesial area of 3.6 presented soft tissue and cavitation, therefore it was opened and cleaned, revealing a dentinal involvement (Fig.5).
Adhesive procedures were carried out with a two-step self-etch adhesive system with selective enamel etching for 30s. An indirect pulp capping was performed on 3.6 with an MTA-based photo-curable material (Fig.6).
Detail of matrixes adaptation on 3.6 and 3.7 (Fig.7).
3.4 and 3.5 cavity cleaned. The mesial area of 3.5 was found to be only demineralized, and therefore not requiring restorative treatment. The horizontal slot approach on 3.4 failed, due to insufficient dentinal sustain to the cuspal crest, leading to a conventional vertical approach (Fig.8).
Detail of 3.5 mesial area, showing the demineralization without cavitation. In order to avoid further damage and to protect the demineralized enamel, a resin infiltration with a dedicated system was performed (Fig.9).
Detail of 3.4 and 3.5 walls built after the same steps reported before (Fig.10)
All the interproximal walls were finished and polished, then a universal adhesive system was placed to complete the occlusal part (Fig.11).
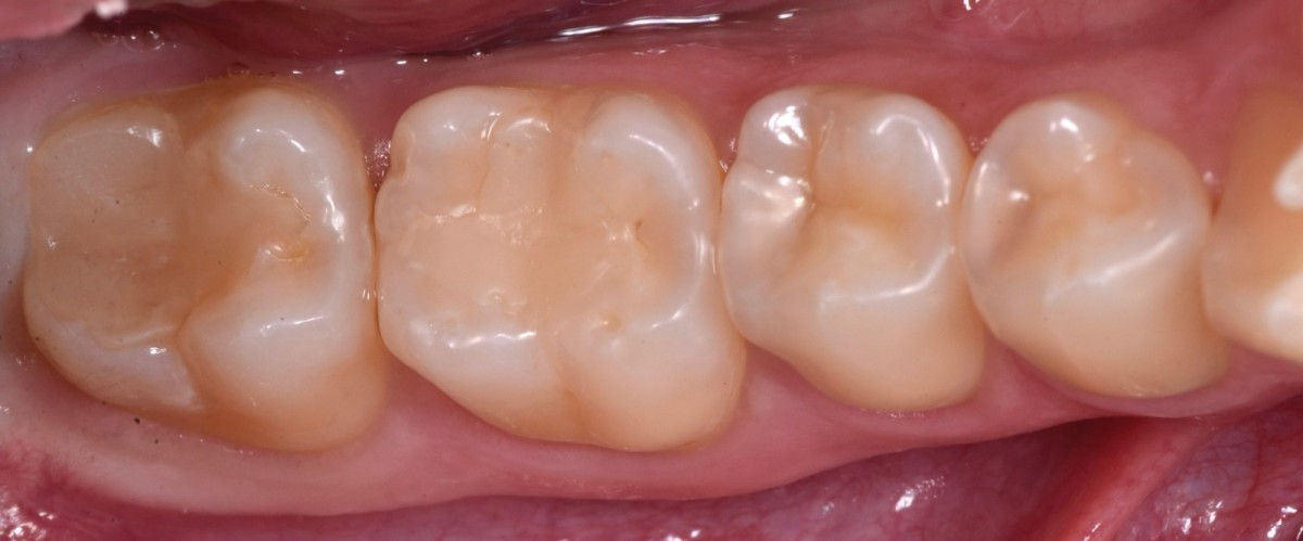
Final restorations before polishing (Fig.12).
Immediately after rubber dam removal (Fig.13).
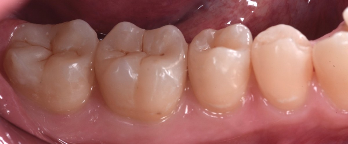
6-months follow up (after finishing and polishing) (Fig.14).
Detail of the vestibular part, showing good health of periodontal tissues. 3.8 element will be extracted as soon as possible to avoid probing distal to 3.7 (Fig.15).
Final rx bitewings (Fig.16).
Restorative dentistry 17 April 2026
Patient Perceptions of New Robotic Technologies in Clinical Restorative Dentistry
Patient perception research has failed to focus on burgeoning technology within the dental field.
Prosthodontics 16 April 2026
The use of orthodontics before fixed prosthodontics in restorative dentistry
For a variety of reasons, orthodontic intervention is often overlooked as a viable modality to correct occlusal, axial, rotational, and space discrepancies before undertaking fixed prosthetic...
Digital Dentistry 16 February 2026
An original procedure for the ovoid pontic technique in ortho-restorative cases
In the multidisciplinary treatments, especially in case of missing teeth in aesthetic area, the compliance of patient during retention time post orthodontic therapy is evidently very high, even among...
Restorative dentistry 29 January 2026
Current trends in restorative dentistry in the UK: a Delphi approach
The purpose of the study was to obtain insight into current trends in restorative dentistry in the UK by means of a Delphi technique.
Restorative dentistry 17 April 2026
Patient Perceptions of New Robotic Technologies in Clinical Restorative Dentistry
Patient perception research has failed to focus on burgeoning technology within the dental field.
Editorials 17 April 2026
Some admissions experiences can make an applicant feel like a statistic being analyzed or, as first-year Florida dental student Nate Fordham put it, like a “mushroom”: kept in the dark and fed...
Products 17 April 2026
BioHorizons’ Tapered Pro Conical Named to 16th Annual Readers’ Choice Top 25 Implant Products
Streamline your workflow with BioHorizons. Tapered Pro Conical offers a single, color-coded prosthetic platform for all full-arch cases.
News 17 April 2026
Following AI Voice Perio, voice-driven charting expands to restorative exams, enabling single-provider clinical documentation in Denticon.
Cosmetic & Reconstructive Dentistry recently announced the creation of a new scholarship program supporting graduating seniors from Fairfield’s public high schools who plan to pursue studies in...