HOME - Clinical cases - Periodontology
 
 
27 May 2021

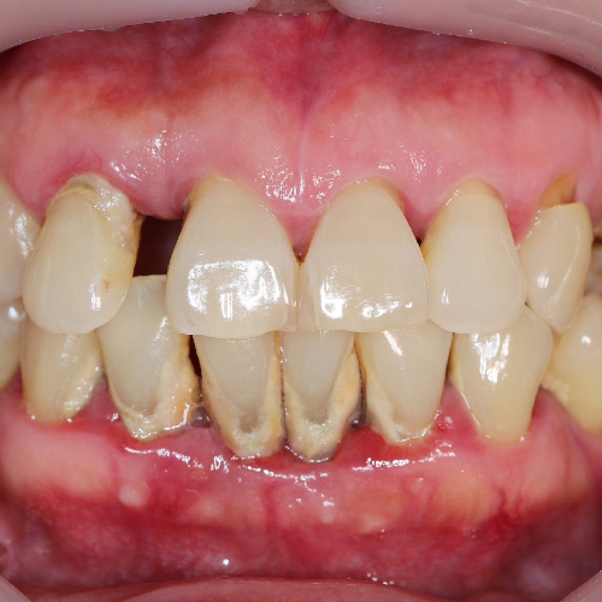
NEW PERIODONTAL CLASSIFICATION IN THE EVALUATION OF THE FUTURE PATIENT AT BRONJ RISK

Authors: Davide Scettri, Elisa Bardhi, Anna Chiara Frigo, Flippo Cavallari, Sergio Mazzoleni, Christian Bacci


The aim of this study is to evaluate the periodontal status of patients with indications to zoledronic acid therapy for oncological diseases through the application of the New 2017 Classification of periodontal and peri-implant disease.

Periodontal evaluations were assessed to patients at the Dental Clinic of Padua for the preventive odontostomatological visit to zoledronic acid therapy (Zometa®) (Casi Group). The first group was then compared with a second group comparable in age, gender, diabetes, smoking and systemic diseases not related to the pathology for which therapy with zoledronic acid (Zometa®) (Control Group) was indicated. The computerized periodontal file of the University of Bern was used to record the periodontal parameters. Each patient, during the visit in the presence of imaging, through the use of a Williams and Nabers periodontal probe, was assigned a periodontal status assessment referring to the new 2017 classification of periodontal and peri-implant diseases during the visit. In the Casi Group an average BoP (%) equal to 25.26 and an average percentage presence of plaque (%) equal to 35.53 was detected while in the Controls group an average BoP (%) was detected 35.73 and a percentage presence of plaque (%) average equal to 25.46. The difference in BoP (%) and Plaque percentage presence (%) is statistically significant. The results of the application of the new classification of periodontal and peri-implant disease showed that, in the Cases group, 6.67% of patients had a state of health, 16.67% was associated with stage 1, 3.3% is been associated with stage 2, 40% were associated with stage 3 and 33.33% with stage 4. Grade A was associated with 57.14% of patients in the Cases group, Grade B with 35.71% and 7.14% grade C. The extension of periodontal disease in the Cases group was generalized in 47.37% of patients and localized in the remaining 55.56%. The results of the application of the new classification of periodontal and peri-implant disease showed that 6.67% of patients in the Controls group were in a state of health, 3.33% were associated with stage 1, 16.67% were associated with stage 2, 43.33% was associated with stage 3 and 30.00% with stage 4. Grade A was associated with 35.71% of the Control group patients, grade B with 60.71% and 3.57% grade C. The extent of periodontal disease in the Controls group was generalized in 52.63% of patients and localized in the remaining 44.44%. The comparison between the results derived from the application of the new periodontal classification carried out through the Fisher's Test, showed that there is no statistically significant difference between the two groups (p> 0.05). This result shows how the periodontal status of patients with indications for zoledronic acid therapy for oncological diseases reflects that of the general population.

The new periodontal classification classify patients based on risk factors and periodontal status and the risk of progression of periodontal disease, this allows to obtain a univocal evaluation that facilitates the sharing of data between clinicians and allows a good management over time of patients.


Related articles

Continuous professional development (CPD) in Periodontology refers to the overall framework of opportunities that facilitate a life-long learning practice, driven by the learner-practitioner and...


Periodontology     25 September 2025

Haptics in periodontics

Throughout history, education has evolved, and new teaching/learning methods have been developed.


To update the findings of a systematic review from the year 2016 on the evidence for the accuracy and potential benefits of cone beam computed tomography (CBCT) in periodontal diagnostics.


The purpose of this study was to evaluate the views, knowledge and preferences of a large sample of practising dentists in periodontics, focusing specifically on the treatment of gingival recessions,...


Aggressive periodontitis is a destructive disease characterized by the following: the involvement of multiple teeth with a distinctive pattern of periodontal tissue loss; a high rate of disease...


Read more

Evidence-based dentistry (EBD) can help provide the best treatment option for every patient, however, its implementation in restorative dentistry is very limited.


Carol Kunzel, PhD, professor of Foundational Sciences in Dental Medicine and Sociomedical Sciences at CUMC has received an Innovative Course Design award from Columbia’s Office of Teaching,...


How oral health professionals can better support patients’ oral and systemic health with more microbiome-friendly oral care 


Oryx Dental, the leader in clinically focused, cloud-based dental practice management software (PMS) and the #75 fastest-growing private U.S. software company on the.


Planet DDS today introduced RCM Zero, an enterprise vision for revenue cycle management (RCM) designed to solve the biggest financial challenge facing dental.


 
 
 
 

 
 
 
 

Most popular

 
 

Events