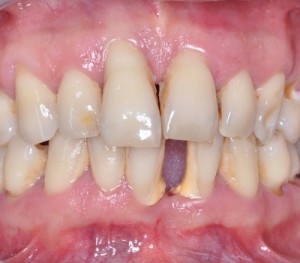
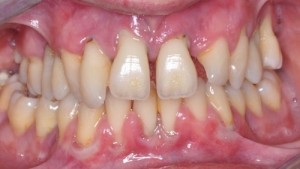
Aggressive periodontitis is a destructive disease characterized by the following: the involvement of multiple teeth with a distinctive pattern of periodontal tissue loss; a high rate of disease progression; an early age of onset; and the absence of systemic diseases.
In some patients periodontal tissue loss may commence before puberty, whereas in most patients the age of onset is during or somewhat after the circumpubertal period. Besides infection with specific microorganisms, a host predisposition seems to play a key role in the pathogenesis of aggressive periodontitis, as evidenced by the familial aggregation of the disease. In this article we review the historical background of the diagnostic criteria of aggressive periodontitis, present a contemporary case definition and describe the clinical parameters of the disease.
At present, the diagnosis of aggressive periodontitis is achieved using case history, clinical examination and radiographic evaluation. The data gathered using these methods are prone to relatively high measurement errors. Besides, this diagnostic approach measures past disease history and may not reliably measure existing disease activity or accurately predict future tissue loss.
A diagnosis is often made years after the onset of the disease, partly because current assessment methods detect established disease more readily and reliably than they detect incipient or initial lesions where the tissue loss is minimal and usually below the detection threshold of present examination methods.
Future advancements in understanding the pathogenesis of this disease may contribute to an earlier diagnosis. Insofar, future case definitions may involve the identification of key etiologic and risk factors, combined with high-precision methodologies that enable the early detection of initial lesions. This may significantly enhance the predictive value of these tests and detect cases of aggressive periodontitis before significant tissue loss develops.
Author: Jasim M. Albandar
Source: https://onlinelibrary.wiley.com/
Periodontology 17 November 2022
A new genetic approach to identify those at elevated risk of generalized aggressive periodontitis
Multi-locus genetic risk score, which aggregates information from multiple genetic variants, has been widely used in many complex diseases but not yet applied to generalized aggressive periodontitis.
Periodontology 07 December 2020
According to the new 2018 classification scheme, the diseases previously recognized as chronic (CP) or aggressive (AgP) periodontitis were grouped under a single category named periodontitis. A wide...
Periodontology 24 November 2020
A new genetic approach to identify those at high risk of generalized aggressive periodontitis
In this case-control study the authors selected some genes and loci which might be associated with generalized aggressive periodontitis (GAgP), to identify the susceptibility genes of GAgP in...
Aggressive periodontitis (AgP) is a periodontal disease characterized by loss of periodontal tissue, early onset and a relatively rapid progression in the ...
Periodontology 10 March 2020
Why classify the localized aggressive periodontitis as a separate sub-category of periodontitis
The aggressive localized periodontitis (LAgP) is localized and mainly affects the first molars and permanent incisors. It has an early onset in adolescents or young adults, often with rapid...
Digital Dentistry 30 January 2026
Digital dentistry may be defined in a broad scope as any dental technology or device that incorporates digital or computer-controlled components in contrast to that of mechanical or electrical alone.
Editorials 30 January 2026
Faculty Member’s Research Advances Link Between Gum Disease and Rheumatoid Arthritis
A University of Michigan School of Dentistry faculty member is part of a new study that advances understanding of the links between gum disease and rheumatoid arthritis.
Products 30 January 2026
PioCreat is exhibiting at AEEDC Dubai 2026, the world’s leading dental conference and exhibition, currently taking place from January 19–21, 2026, at the Dubai World Trade Centre.
News 30 January 2026
MB2 Dental, the nation’s first and largest dental partnership organization (DPO), closed out 2025 with notable achievements in growth, innovation, and impactful initiatives.
News 30 January 2026
uLab Systems recently announced the release of uDesign® Cloud 2.0, a major platform update that brings core clear aligner workflows—including segmentation, self-planning, and printing or exporting...