In orthodontics, the archform is considered to be important mainly for stability, occlusion, and esthetics. Archform tends to return toward the pretreatment shape after retention. The patient’s pretreatment archform appeared to be the best guide to future archform stability. Archform is the unique expression of individual development and probably no universal design will ever be able to account for the small, but significant, variations in the arch shape of individuals. Recently, there is a widespread use of preformed archwires with varied archforms in orthodontic practice. So, it is imperative to select the most suitable archforms according to the patient’s pretreatment archforms, ethnicity, and type of malocclusion. This is more important during the use of nickel titanium (NiTi) archwires, as these wires are not easily customizable and may contribute to arch form development during early stages of treatment.
There are various methods proposed for selecting the archwire with the suitable archform, but these remain to be topics of controversy. Archforms were first classified as square, ovoid, and tapered by Chuck in 1932. Such a three-archform approach allows for greater individualization than the single archform approach, especially in the early archwire stages. Early evaluations were subjective in nature, based largely on personal opinion and clinical observation. More recently, archform has been described with a variety of mathematical equations, such as orthogonal polynomials, cubic splines, parabolas, ellipses and catenary curves. In a clinical situation, orthodontists should select the most appropriate archwire for the patient arch form and treatment plan to align and level the teeth. This step is sometimes neglected as the orthodontists might assume that light NiTi archwires will not alter archwidth. Preserving the arch form also affects stability of the treatment results. The intercanine width of each patient is determined by muscular balance, and any unintended expansion in this region could cause instability.
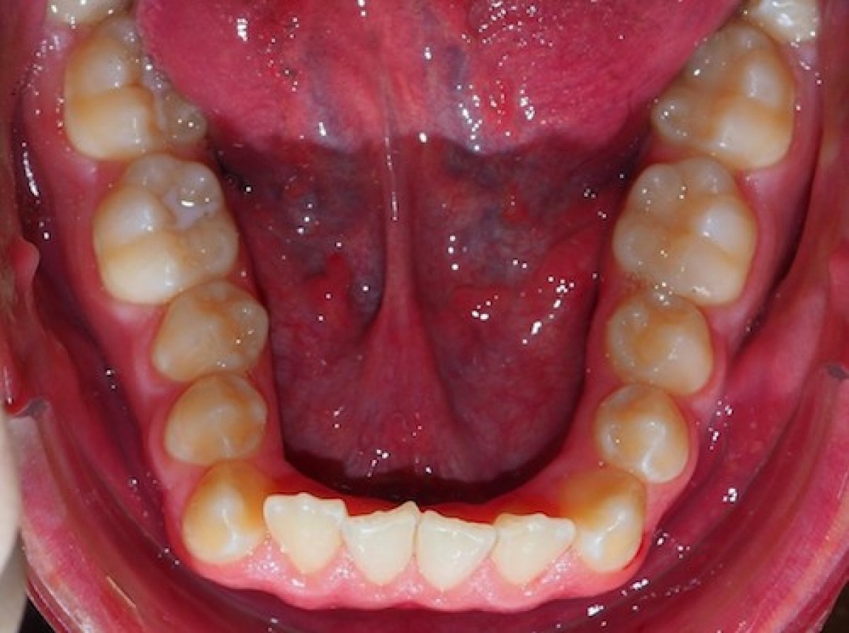
In the pictures below, a proper shape of the archwire was selected, so intermolar and intercanine width did not change during treatment and no roundtrip movement occurred, even using a NiTi archwire. Archwire selection had been made on virtual models (Insignia Approver, Ormco). A survey by McNamara et al. (McNamara C, Drage KJ, Sandy JR, Ireland AJ. An evaluation of clinicians’ choices when selecting archwires. Eur J Orthod. 2010;32:54–59.) revealed significant variation in archwire selection methods among orthodontists. Most orthodontists selected archwires subjectively by visual assessment of the adaptation of the archwires to the facial axis or facial surface of the teeth, incisal edges and cusp tips, or the facial portion of the proximal contacts. McNamara et al. then raised a question regarding the possibility of using digital models for accurate archwire selection, as Computer software could act as a decision support system to increase agreement in treatment results.
In the June 2019 issue of the journal The Angle Orthodontist an article was published concerning the agreement of the clinician's choice of archwire selection on conventional and virtual models. In the article they used a three-dimensional (3D) software program (OrthoAid) on the dental casts of 100 patients to compare archwire selection on dental casts, previously made using two approaches by three orthodontists. The software used in the study was a 3D cast analysis software, which performs several functions and measurements.
The authors found out that the use of 3D computer software for archwire selection in patients with malocclusion provided better adaptation and interexaminer reliability. Even with an objective method, which means archwire selection on a virtual image of the cast, orthodontists were able to choose an archwire with better fit than by visually determine it.
For additional informations:
Agreement of the clinician's choice of archwire selection on conventional and virtual models.
Orthodontics 21 May 2026
This peer-reviewed orthodontics article summarizes clinical evidence from PloS one (2026). It focuses on findings that may help dental professionals evaluate treatment decisions, patient outcomes, or...
Orthodontics 07 May 2026
This peer-reviewed orthodontics article summarizes clinical evidence from PloS one (2026). It focuses on findings that may help dental professionals evaluate treatment decisions, patient outcomes, or...
Orthodontics 28 April 2026
Esthetic outcomes in orthodontics through digital customization with a lingual appliance system
Contemporary fixed orthodontic appliances are shifting from non-customized pre-adjusted appliances to custom-designed and printed appliances with novel digital setup systems.
Prosthodontics 16 April 2026
The use of orthodontics before fixed prosthodontics in restorative dentistry
For a variety of reasons, orthodontic intervention is often overlooked as a viable modality to correct occlusal, axial, rotational, and space discrepancies before undertaking fixed prosthetic...
This manuscript describes strategies for assessment of precision of several diagnostic artificial intelligence (AI) tools in orthodontics
Smile Analysis is an Edra professional dentistry reference focused on clinical practice, education and treatment planning.
Following the total loss of its manufacturing facility in the 2025 Los Angeles fires, Wizard Wedges® are back in production and available through authorized dental dealers—the same
News 29 May 2026
News 29 May 2026
The American Association of Orthodontists (AAO) announced the successful conclusion of its 2026 Annual Session, held in Orlando, Florida, from May 1–3 and attended by more than 12
Editorials 29 May 2026
From California to Canada: CU Anschutz School of Dental Medicine at ADEA, GRC and IADR 2026
The CU Anschutz School of Dental Medicine will showcase a wide breadth of educational innovation, faculty development, clinical training and research at three major gatherings this