HOME - Clinical cases - Restorative dentistry
 
 
29 August 2022

Quadrant direct composite rehabilitation in a young patient.

Author: Andrea Baldi


A 21-year-old male patient came to my attention reporting sensibility related to sweet and cold on the 4th quadrant. The general medical history revealed that the patient spent many months in hospital due to leukemia, therefore neglecting oral hygiene. The patient was released from the hospital with a positive prognosis and asked for a complete, yet minimally invasive oral rehabilitation.

Clinical examination revealed enamel hypoplasia of 4.7 and irregular contact point between 4.6 and 4.7 that was causing food impact. Rx examination (orthopantomography and bitewings) and vitality test were carried out and all elements were confirmed to be vital. 

The diagnosis was the following: incongruous restoration of 4.7, primary caries on 4.6, 4.5 and 4.4. According to the fact that the patient was very young, a minimally invasive approach with only direct restorations was proposed and accepted by the patient.


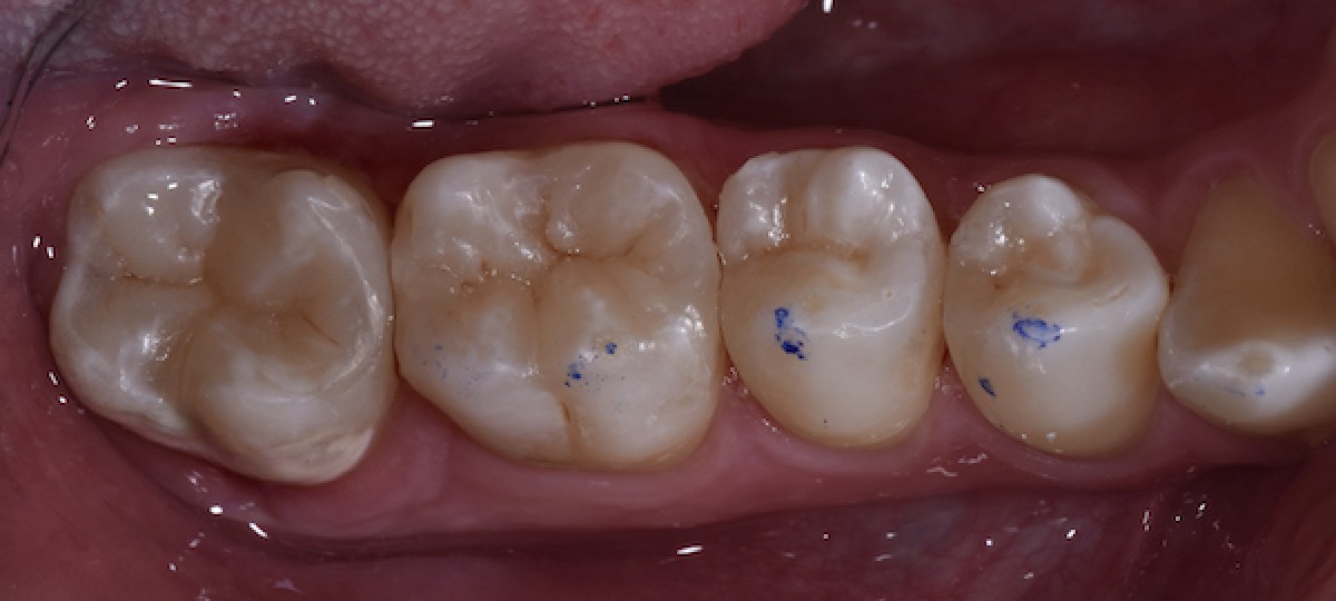
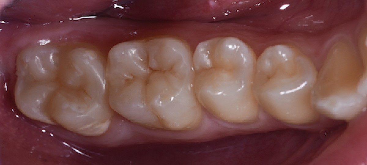
Oral hygiene motivation was carried out, alongside with proper periodontal treatment (scaling, polishing) before taking initial photo (Fig.1).

Isolation with rubber dam. Liquid dam was used on 4.7 to ensure a stable seal during the appointment (Fig.2)

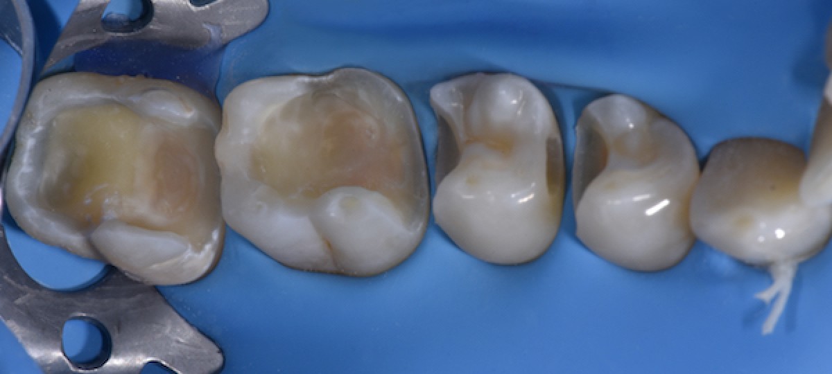
After initial cavity cleaning, it was possible to observe a crack of the mesio-lingual cusp of 4.6. (Fig.3)

The cracked cusp thickness was measured with a caliber. A thickness under 1.5mm was found in the upper third of the cusp, which was not supported by sound dentin (Fig.4)


Impression of the lingual cusps of 4.6 with a rigid silicon material (Fig.5)

Cavity finishing and sandblasting (50micron aluminium oxide powder) of the obtained cavities (Fig. 6)

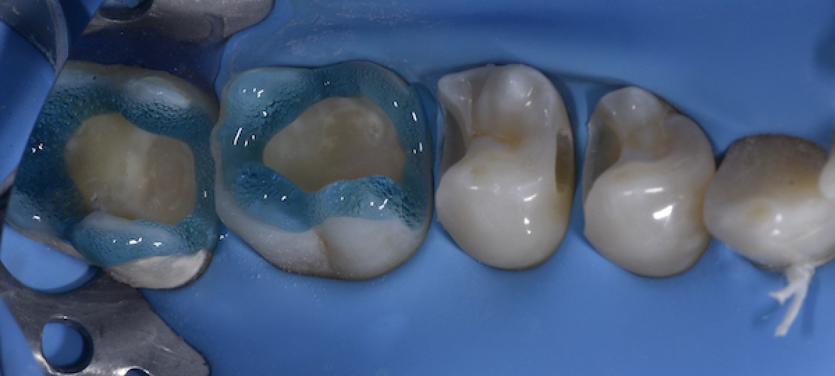
Selective enamel etching (37% orthophosphoric acid) for 30” on enamel. Etching was performed in two separate steps for better timing control (Fig. 7)

Universal adhesive system applied in self-etch mode (Fig.8)

Mesio-lingual cusp stamped (photo taken during index removal) (Fig.9)

Interproximal walls made with sectional matrices and dentin buildup (Fig.10)

Light curing of enamel layers (Fig.11)

Immediately after light curing under glycerin, before polishing (Fig.12)

Initial polishing, contact check. Patient should undergo orthodontic treatment, that was delayed due to restorative therapies. In particular 1.7 was positioned buccaly and with no occlusion with 4.7 (Fig.13)

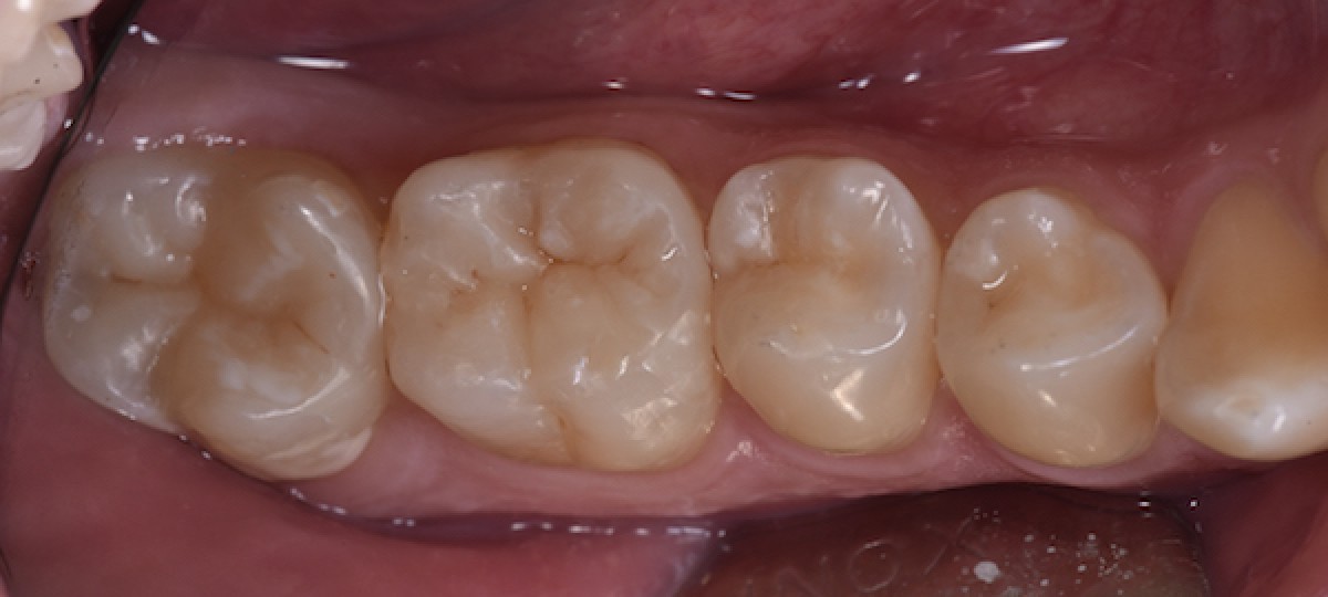
Seven days later, polishing and color check (Fig. 14)

Four months follow-up (Fig.15)

Baseline and post op bitewing rx (Fig.16)

Related articles

18-year-old patient with multiple carious lesions located in the first quadrant. After the radiographic examination, the surgical field was isolated with a...


Read more

With proud smiles and crisp white coats, ninety-three learners from the DDS Class of 2029 and the International Dentist Pathway Class of 2028 marked the start of their dental careers at the UCSF...


Continuous professional development (CPD) in Periodontology refers to the overall framework of opportunities that facilitate a life-long learning practice, driven by the learner-practitioner and...


TheraBreath, the #1 alcohol-free mouthwash brand in the U.S.*, has introduced a new line of dentist-formulated, clinically tested toothpastes designed to support professional oral care...


New officers and trustees were installed at the Minnesota Dental Association’s Leadership Conference on September 19 in Minneapolis.


Smartee Denti-Technology today announced that Professor Gang Shen, its Chief Scientist and Executive President of TaiKang ByBo Dental, has once again been named to the World’s Top 2% Scientists...


 
 
 
 

 
 
 
 

Most popular

 
 

Events