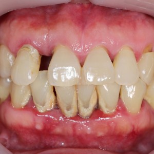
Background
A new classification of periodontal diseases aimed to identify periodontal disease based on a multidimensional staging and grading system has been recently proposed. However, up to date, its prognostic predictive capability has not been investigated. The aim of this study was to assess if parameters included in the new classification were predictive of tooth loss after a long-term follow-up (>10 years) in patients with periodontitis.
Methods
Patients presented with periodontitis at the University of Michigan between January 1966 and January 2004 were screened and categorized according to the new classification of periodontitis. Number/Reasons of teeth loss in patients who underwent at least one session/year of maintenance during the entire follow-up period were extracted and used to analyze the prognostic capabilities of variables (staging, grading, and Extent) included in the new classification.
Results
A total number of 292 patients with a mean follow-up of 289.7 ± 79.6 months were included. 31 (10.6%) patients were classified as Stage 1, 85 (29.1%) as Stage 2, 146 (50%) as Stage 3, and 30 (10.3%) as Stage 4. For grading, 34 (11.7%) were classified as Grade A, 193 (66.1%) as Grade B, and 65 (22.2%) as Grade C. Results of multilevel Cox regression analyses revealed a statistically significant association between stage (HR:3.73 between Stage 4 and Stage 1) and grade (HR: 4.83 between Grade C and Grade A) at baseline and periodontal related tooth loss, whereas no differences were detected for the extent of periodontitis.
Conclusion
This study provides the initial evidence regarding the predictive ability of the new classification of periodontitis. Patients in either Stage 4 or Grade C showed a significantly higher periodontal-related tooth loss.
Authors: Andrea Ravidà, Musa Qazi, Giuseppe Troiano, Muhammad H. A. Saleh, Henry Greenwell, Kenneth Kornman, Hom-Lay Wang
Source: https://aap.onlinelibrary.wiley.com/
Oral surgery 10 April 2026
A systematic literature search in MEDLINE, Embase, and the Guideline websites, from October 2007 to October 2012, produced articles that were critically evaluated.
Editorials 10 April 2026
Vining Lab Using Hydrogel System to Advance Understanding of Periodontal Disease
Penn Dental Medicine’s Kyle H. Vining and Hardik Makkar take a biomaterials approach to understanding periodontal disease, using a hydrogel system to investigate how the physical properties of the...
Prosthodontics 27 February 2026
Prosthetic implant rehabilitation using the scan-analog protocol: a clinical case
A digital workflow for prosthetic implant rehabilitation can start either from intraoral scans or from the scan of the patient cast models. However, the possibility of scanning oral impressions is...
Oral surgery 23 February 2026
Full-arch rehabilitation has always represented the most challenging work both from the surgical and from the prosthetic aspect. One of the challenges in the treatment of full-arch implant supported...
Endodontics 13 January 2026
Regenerative endodontic treatment has provided a treatment option that aims to allow root maturation.
Restorative dentistry 17 April 2026
Patient Perceptions of New Robotic Technologies in Clinical Restorative Dentistry
Patient perception research has failed to focus on burgeoning technology within the dental field.
Editorials 17 April 2026
Some admissions experiences can make an applicant feel like a statistic being analyzed or, as first-year Florida dental student Nate Fordham put it, like a “mushroom”: kept in the dark and fed...
Products 17 April 2026
BioHorizons’ Tapered Pro Conical Named to 16th Annual Readers’ Choice Top 25 Implant Products
Streamline your workflow with BioHorizons. Tapered Pro Conical offers a single, color-coded prosthetic platform for all full-arch cases.
News 17 April 2026
Following AI Voice Perio, voice-driven charting expands to restorative exams, enabling single-provider clinical documentation in Denticon.
Cosmetic & Reconstructive Dentistry recently announced the creation of a new scholarship program supporting graduating seniors from Fairfield’s public high schools who plan to pursue studies in...