Fibromyxoma is a benign locally aggressive odontogenic tumor with a mesenchymal origin, however its nature is controversial. The World Health Organization both in 2005 classification and 2017 describes it as odontogenic myxoma; at the same time, some authors classify fibromyxoma as a subtype of odontogenic myxoma comprising only a small percentage of it. Due to its rarity, this tumor is not well known and, especially, it is not well histologically described. The only physical examination does not allow performing a definitive diagnosis and, frequently, differential diagnoses are carried out in order to shed some light on the nature of neoplasms. Anyway, the surgical removal of this lesion is always recommended and this condition allows carrying out a histological examination. Referral of this case to our attention was surely due to difficulties in differential diagnosis because of complexities in recognize, classify and approach this kind of little-known lesion. Histological analysis plays a key role in diagnosis of this kind of lesions; actually it is likely to have several histological forms of this neoplasm. The aim of this work is to bring to the attention a rare histological aspect of a surgically treated odontogenic mandibular fibromyxoma, and to describe histological features in order to provide a more specific typing of lesion.
Material and methods
a 51 years-old white man was assessed at Section of Oral and Maxillo-facial Surgery of University of Verona, three months later of a swelling appearance in the vestibular fornix between lower left canine and premolar. Due to rarity of the disease and lack of clinical knowledge at the moment in this field, patient was referred to our attention after several inconclusive differential diagnoses. Physical examination showed a hard swelling in the vestibular fornix between left lower canine and first lower premolar for three months. An oral surgical intervention was carried out in order to remove the neoplasm entirely; therefore a histological analysis was performed. Physical and computed tomography examinations allowed assuming a fibromyxoma, histological analysis confirmed the diagnosis.
Results
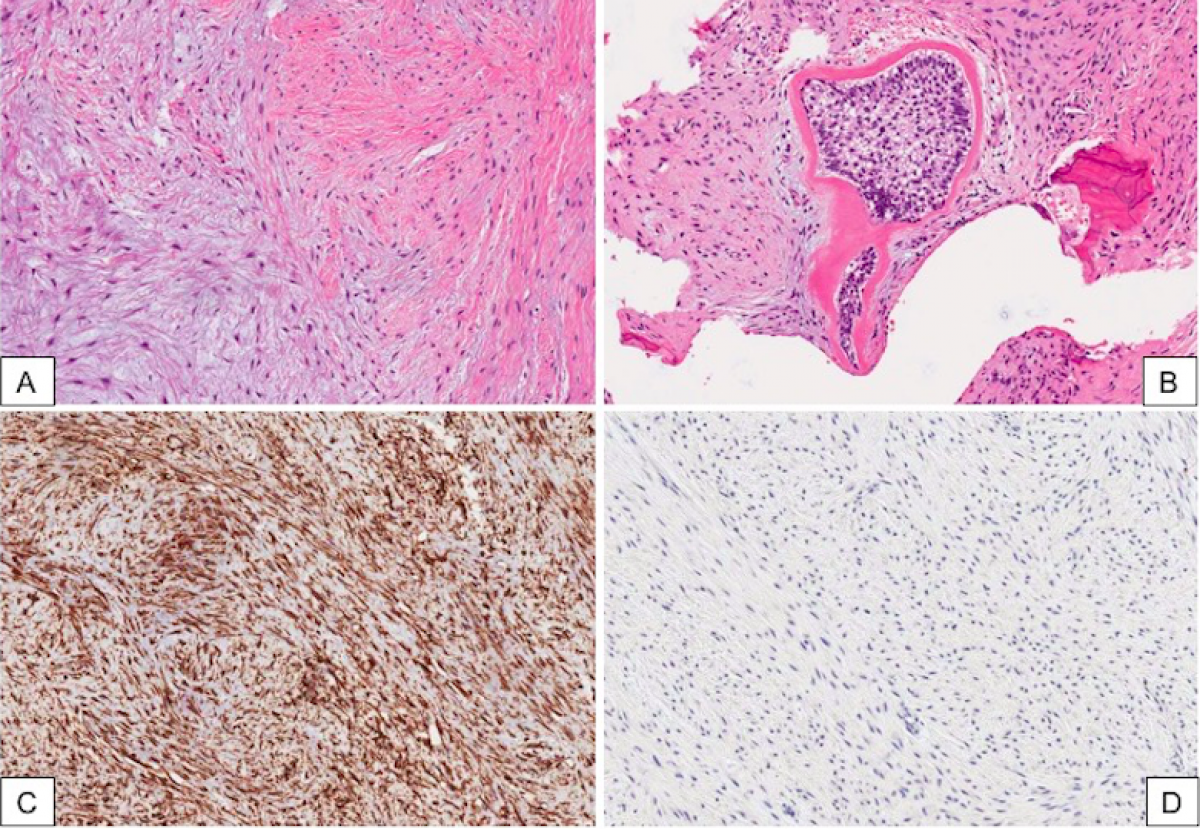
Histological analysis defined lesion as a fibrous-myxoid with discrete cellularity, without significant atypia, including bone chips. Bland stellate fibroblastic cells embedded in a myxoid-fibrous matrix were highlighted, proving the diagnosis of fibromyxoma.
Conclusion
There is reason to state that fibromyxoma is a very heterogeneous tumor therefore high accuracy in diagnosis is required, by using both instrumental and histological approaches. The clinical observation alone, both pre-surgery and post-surgery, is not a sufficiently reliable indicator to perform a firm diagnosis of this kind of neoplasm. The special circumstances of this clinical case seemed to state that confirmed diagnosis and typing are achievable exclusively by histological analysis.
Clinical significance
In view of the fact that fibromyxoma is a rare form of tumor, not yet well histologically described, the clinical case presented strongly suggests to perform, given the need to always remove the lesion, an histological examination to better characterize the tumor. Following these advices could be make possible to achieve a firm diagnosis and to increase knowledge in classifying several different forms of fibromixoma and, maybe, in approaching them.
Oral pathology 25 March 2026
Five years of experience teaching pathology to dental students using the WebMicroscope
There is an increasing tendency at medical universities to digitize whole microscope histopathological slides from teaching collections for web-based studies
Oral pathology 25 November 2025
Virtual microscopy (VM) is a technology for showing microscope slides using computers and could be considered a progression of classic methodology using optical microscopes.
Oral pathology 10 November 2025
Evolution of dental informatics as a major research tool in oral pathology
Bioinformatics is a relatively new field of science that incorporates the principles of biology and computer science.
Oral pathology 04 September 2025
The classic dental diseases, caries and periodontal disease, are commonly thought to have little effect on systemic health.
Prosthodontics 16 April 2026
The use of orthodontics before fixed prosthodontics in restorative dentistry
For a variety of reasons, orthodontic intervention is often overlooked as a viable modality to correct occlusal, axial, rotational, and space discrepancies before undertaking fixed prosthetic...
Editorials 16 April 2026
Congratulations to Ane Poly, D.D.S., M.Sc., Ph.D., a clinical assistant professor in the UF Department of Endodontics, who was recently chosen as the college’s representative to the Council of...
ONEDAYBIOTECH products garner honor as one of the 16th Annual Readers’ Choice Top 25 Implant Products
News 16 April 2026
National leader in oral health integration and equity joins CareQuest Institute executive team.
News 16 April 2026
Henry Schein, Inc. (Nasdaq: HSIC), the world’s largest provider of healthcare solutions to office-based dental and medical practitioners, today announced its plan to reduce the size of its Board of...