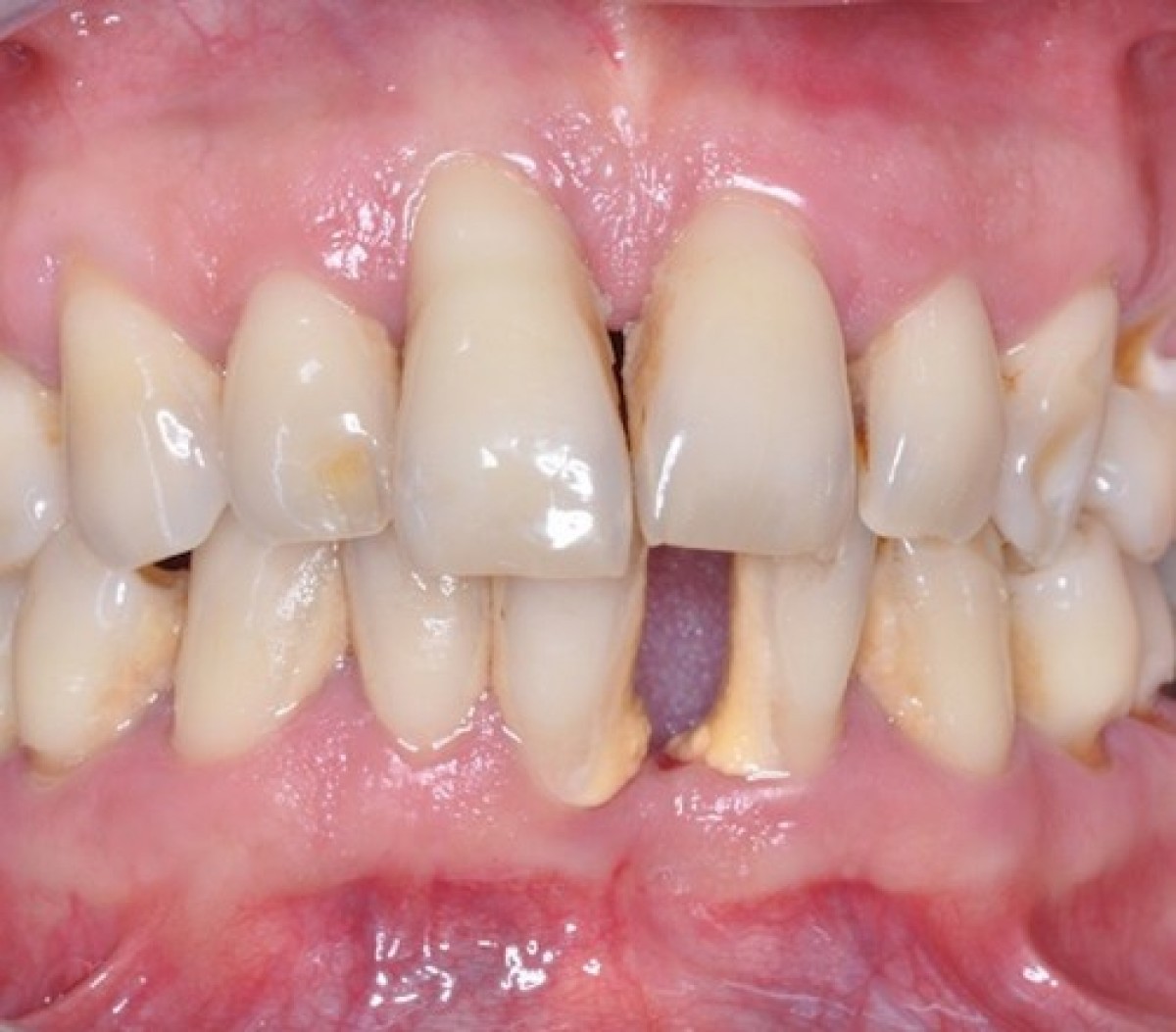
According to the new 2018 classification scheme, the diseases previously recognized as chronic (CP) or aggressive (AgP) periodontitis were grouped under a single category named periodontitis. A wide range of studies have been published over the past decades with the aim of investigating the specific differences between AgP and CP, and regarding host response a systematic review (Duarte 2015) reported insufficient evidence to support the existence of distinct cytokine profiles for patients with AgP and CP. In terms of microbiology, however, no recent reviews have compared the microbiota in these two clinical conditions (chronic periodontitis vs aggressive periodontitis), raising doubts that CP and AgP could be associated with specific periodontal microbial / pathogenic profiles.
Materials and methods
In a systematic review, published on Journal of Periodontology, November 2020, the authors wanted to investigate whether differences in the subgingival microbiota are present in patients with AgP aggressive periodontitis compared to patients with chronic periodontitis. This systematic review was conducted according to the PRISMA statement, using databases such as MEDLINE, EMBASE and Cochrane, conducting a literature search, according to a pre-established search strategy, up to June 2019 for studies (except case reports, case series and reviews ) comparing subgingival microbial data from CP and AgP patients.
Results
From 488 identified, and potentially suitable, studies, 56 were included in the final review. Thirteen studies found Aggregatibacter actinomycetemcomitans elevated in patients with AgP compared to those with CP, while few studies found Fusobacterium nucleatum, Parvimonas micra and Campylobacter rectus as elevated in AgP and none of these species were elevated in CP patients. However, the number of studies showing no statistically significant differences between CP and AgP are numerically higher than those showing differences.
Conclusions
From the data of this review, which need to be confirmed in other similar reviews, it can be concluded that there is an association between the presence of A. actinomycetemcomitans with AgP, but neither this species nor the other species studied to date are unique or could differentiate between CP and AgP.
Clinical implications
The main limitation of this systematic review is the lack of standardization of some methodological features of the included studies, such as the microbiological diagnostic tests used, the way the data were expressed, the number of individuals included per group, and the inclusion criteria used for select patients with AgP and CP. Furthermore, the severity of periodontitis and the way in which clinical data were reported differed markedly between the included studies.
Peri-implantitis is associated with bacterial plaque biofilms and with patients who have a history of periodontitis. Smoking is a risk factor for periodontitis, but the relationship between smoking...
Oral Hygiene & Prevention 09 February 2023
Scientists find link between oral microbiome, depression and anxiety
Researchers from Xi'an Jiaotong University conducted a case-control study and found a link between specific oral bacteria and the development of depression and anxiety.
Oral Hygiene & Prevention 23 February 2022
Focal infection theory: a new modernity in view of microbiota recent studies?
Authors: Carlo Fornaini, Francesco Di Pierro
The “Focal Infection Theory”, very popular in 1930s, hypothesized the possibility that an infection of a specific zone might migrate to other different organs, even not contiguous, causing...
Oral pathology 28 November 2021
Focal infection theory: a new modernity in view of microbiota recent studies?
Authors: Carlo Fornaini, Francesco Di Pierro
The “Focal Infection Theory”, which was very popular in the 1930s, hypothesized the possibility that an infection of a specific zone might migrate to other different organs, even not contiguous,...
Editorials 25 April 2025
New Drug Therapy with Natural Compound Shows Promise Against Periodontal Diseases
A translational study from the lab of Dr. Esra Sahingur shows “senotherapy” drug combination was effective in lab-dish and animal models.
Editorials 10 October 2025
With proud smiles and crisp white coats, ninety-three learners from the DDS Class of 2029 and the International Dentist Pathway Class of 2028 marked the start of their dental careers at the UCSF...
Periodontology 10 October 2025
Continuous professional development (CPD) in Periodontology refers to the overall framework of opportunities that facilitate a life-long learning practice, driven by the learner-practitioner and...
TheraBreath, the #1 alcohol-free mouthwash brand in the U.S.*, has introduced a new line of dentist-formulated, clinically tested toothpastes designed to support professional oral care...
News 10 October 2025
New officers and trustees were installed at the Minnesota Dental Association’s Leadership Conference on September 19 in Minneapolis.
News 10 October 2025
Smartee Denti-Technology today announced that Professor Gang Shen, its Chief Scientist and Executive President of TaiKang ByBo Dental, has once again been named to the World’s Top 2% Scientists...