The aim of this article is to estabilish that bicortically placed miniscrews can preserve bone density and morphology of the alveolar process, in a growing patient with agenesis of a lateral incisor.
According to international literature, we used a new method for temporary fixed replacement of missing teeth that allows the correct development of the alveolar process.
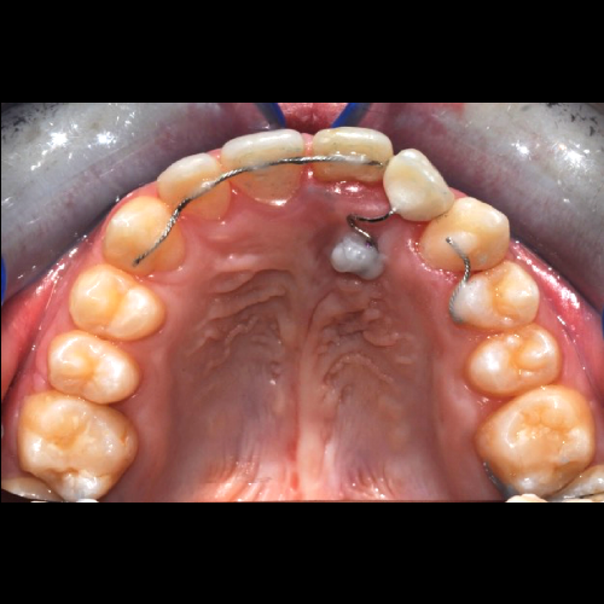
Material and Methods
A 16-year-old patient with agenesis of maxillary left lateral incisor (2.2), suffering from complete left unilateral cleft lip and palate (UCLP; the surgical protocol for the cleft closure included the gengivo-alveolo plasty), received a mini-implant that supported a temporary prosthetic tooth, after orthodontic treatment to open the agenesis space.
A Cone beam computed tomography (CBTC) was taken immediately before insertion of the mini- implant.
The miniscrew was placed in the site of agenesis, parallel to the occlusal plane, with a palatal to vestibular direction, under local anesthesia, mepivacaine 2% with vasoconstrictor (adrenalin).
A stainless steel sectional wire 0.021 x 0.025 was inserted into the slot of the miniscrew; the wire supported a temporary prosthetic tooth.
By means of a stailess steel ligature (0.012inch) the wire was ligated tightly to the bracket-like head of the miniscrew. The head was covered with flowable composite (Tetric EvoFlow, Ivoclear Vivadent, Casalecchio di Reno -Bologna-, Italia) for comfort reasons. The patient was instructed in using chloirexidine spray, three times a day for ten days after the miniscrew placement..
An upper fixed retainer was placed on elements 1.3-1.2-1.1 and on 2.3-2.4. The patient was instructed in daily flossing between the prosthetic tooth and the mucosa, to avoid gingival inflammation.
A clinical examination was performed after 6 months.
A clinical examination and a new CBCT control was performed after twelve months (T1) to evaluate the effectiveness of the study.
Results
The strain generated between the miniscrew and the surrounding bone resulted in increased bone turnover adjacent to the minisrew.
The patient is satisfied from the aesthetic point of view.
The patient is satisfied from the functional point of view.
The six month clinical follow-up demonstrates no mobility of the miniscrew and no inflammation of the surrounding soft tissues.
The twelve month clinical follow-up demonstrates no mobility of the miniscrew and no inflammation of the surrounding soft tissues.
The twelve month CBCT follow-up demonstrates also the maintenance of the height and the thickness of the alveolare bone.
Conclusions
The mechanical stimulation of the alveolar bone during the chewing processes is essential to maintain height and thickness; the lack of load determines an irreversible reabsorption of the bone.
It is likely that the strain generated between the mini- implant and the surrounding bone resulted in increased bone turnover adjacent to the mini-implants.
The method described in this case report is a concrete clinical solution that allows to rehabilitate the partially edentulous patient with a fixed prosthesis, maintaining bone density in the area adjacent to the orthodontic miniscrew while maintaining acceptable esthetics and function.
After twelve months the height and thickness of the alveolar bone was maintained.
Clinical significance: semipermanent replacement of missing teeth (agenesis) by orthodontic miniscrews, in growing patients, can guarantee a good aesthetic, can act as a space maintainer and can potentially counteract the reabsorption of the alveolar bone in a growing patient.
Orthodontics 28 October 2025
The relationship between odontogenic bacteraemia and orthodontic treatment procedures
The purpose of this research was to estimate the prevalence and intensity of bacteraemia associated with orthodontic treatment procedures.
Orthodontics 08 October 2025
The field of orthodontics in its new era is venturing ahead to more up-to-date technological point of view.
A systematic review was conducted to examine the evidence for the effectiveness and safety of corticotomy-facilitated orthodontics.
Orthodontics 08 September 2025
Records needed for orthodontic diagnosis and treatment planning: a systematic review
Traditionally, dental models, facial and intra-oral photographs and a set of two-dimensional radiographs are used for orthodontic diagnosis and treatment planning.
Orthodontics 25 August 2025
Much like EMTs rushing to the scene after an accident, stem cells hurry to the site of a skull fracture to start mending the damage. A new finding has uncovered the signaling mechanism that triggers...
Products 05 November 2025
SimplyTest has launched a groundbreaking saliva-based test to detect high-risk strains of oral human papillomavirus (HPV), a major cause of oropharyngeal cancers.
News 05 November 2025
Perimetrics, Inc., a dental technology company pioneering quantitative diagnostics, announced today that the U.S. Food and Drug Administration (FDA) has granted clearance for the InnerView...
News 05 November 2025
On October 15, open enrollment for Medicare began nationwide. Hundreds of thousands of seniors in New Jersey will once again face the challenge of finding the right Medicare coverage, including the...
Digital Dentistry 04 November 2025
Digitalisation is an expanding field in dentistry and implementation of digital teaching methods in dental education is an essential part of modern education.