Introduction
Growing health concerns of patients have led to increasing demand for metal-free restorations. The same is true for dental implants. As dental professionals it is our goal to fulfil this demand of our patients in the most predictable way. The two most crucial aspects regarding treatment success are the osseointegration of the implant and the prosthetic workflow.
The following case report outlines the replacement of two lower anterior teeth using a single monobloc AWI zirconia implant.
Case report
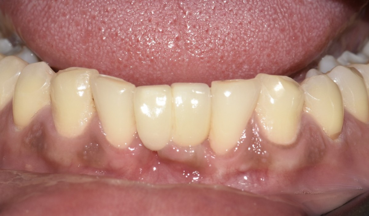
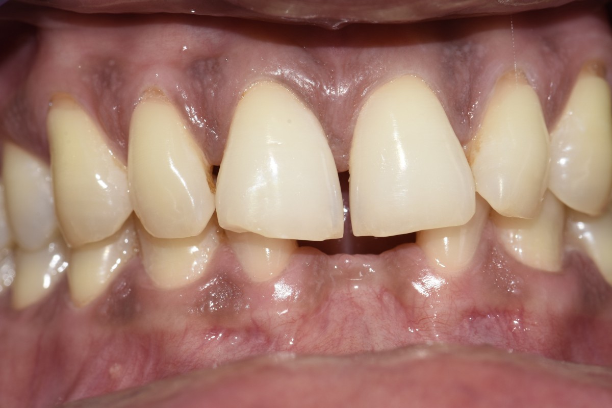
A 42-year-old male patient presented at our office, asking for a replacement for two lower anterior teeth which were extracted seven years ago. As a part of this case the missing lower anterior teeth with respect to #31 and #41 were replaced (Figures1a, 1b, 2). We planned to restore the site with an AWI one-piece ceramic implant and two joint crowns due to insufficient space for two implants.
Surgical phase
Following local anesthesia, the drilling protocol for bone was used, which includes a cortical drill and a screw tap, and the AWI monocloc implant was placed. Primary stability of 30 Ncm was achieved following the placement of implant (Figures 3, 4).
Sutures were removed 10 days post-surgery. Healing was uneventful.
Prosthetic phase
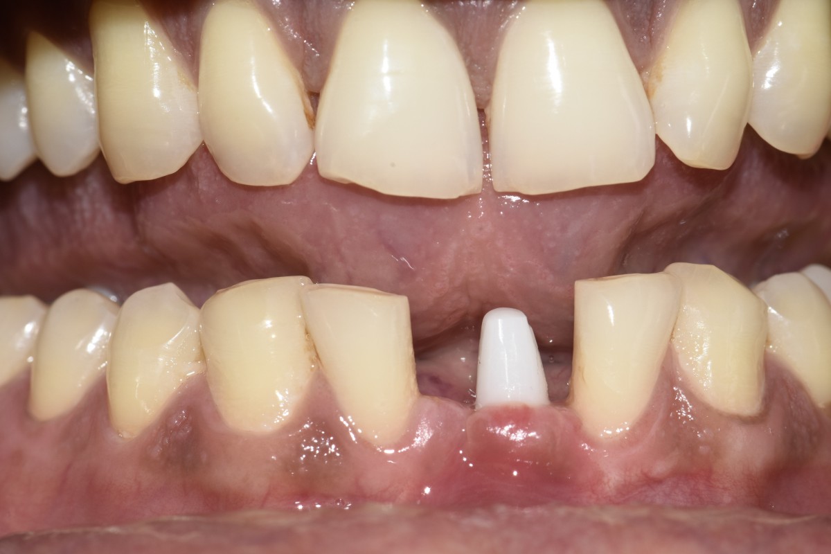
The prosthetic phase was started four months after the implant placement (Figures 5a, b). Silicon impression was taken, and two monolithic zirconia crowns were fabricated (Fig.6). The final restoration was cemented.
Clinical outcomes
The result was outstanding with excellent tissue healing, and the patient was highly satisfied. No inflammation or any prosthetic problems occurred during the follow-up time period (Fig.7). The result in this anterior replacement case was a 100% metal-free implant and crowns.
Conclusion
Due to rising complications observed in some clinical situations involving the use of titanium dental implants and the rising incidence of peri-implant mucositis and peri-implantitis affecting the short- and long-term survival rates of titanium dental implants, the use of zirconia has been shown to have similar integration success when compared with titanium. Zirconia offers a soft-tissue response that is superior to that of titanium, and has less of an affinity to collect plaque or biofilm when compared with titanium surfaces.
Also, the peri-implant soft tissue around titanium and zirconia abutments showed color differences when compared to the soft tissue around natural teeth. The peri-implant soft tissue around zirconia demonstrated a better color match to the soft tissue than titanium. This can be extrapolated to the esthetics of the color of the implant itself.
Zirconia implants can be used in these esthetic situations, with the white shade of the implant eliminating any potential for darkening of the gingival tissue and providing a more natural final esthetic result than possible with titanium implants. Long-term studies are necessary to continue to evaluate the effectiveness and success rates of two-piece zirconia implants.
Products 27 November 2025
Neocis Unveils Next-Generation AI-Powered Robotic System for Dental Implants
Neocis, the pioneer behind the first and only U.S. FDA-cleared robotic system for dental implant surgery, today announced the launch and FDA approval of its next-generation robotic platform: Yomi...
News 23 October 2025
The global dental implants market is projected to grow from USD 5.45 billion in 2024 to USD 15.41 billion by 2035, expanding at a CAGR of 9.95% from.
Endodontics 16 October 2025
Endodontic or dental implant therapy: The factors affecting treatment planning
Clinicians are confronted with difficult choices regarding whether a tooth with pulpal and/or periapical disease should be saved through endodontic treatment or be extracted and replaced with an...
Editorials 07 August 2025
Researchers are developing ‘smart’ implants that would provide a more natural feel while chewing or talking
Implantology 25 July 2025
Background: Cytokine–microbiology–virology monitoring after implant placement may help to develop profiles of variables that can help to explain interaction between the immune system and alveolar...
Endodontics 13 January 2026
Regenerative endodontic treatment has provided a treatment option that aims to allow root maturation.
Editorials 13 January 2026
Pitt’s New Digital Dentistry Labs to Provide State-of-the-Art Education and Patient Care
Three new dentistry labs at the University of Pittsburgh School of Dental Medicine will give students and residents hands-on experience with cutting edge digital dental technology while providing...
Products 13 January 2026
Revolutionizing Pediatric Dentistry with Dr. Josh Solomon: SDI Stela & Bioclear Insights
Join pediatric dentist Dr. Josh Solomon as he discusses the cutting-edge SDI Stela self-curing composite system and the Bioclear matrix system, and how these products are transforming Class II...
News 13 January 2026
Curve Dental, the leading cloud-native, all-in-one dental practice management platform, today announced its recognition as a market leader in The 2026 Dental Technology Landscape: Cloud, AI, and the...
News 13 January 2026
Patterson Companies Inc. has announced the appointment of Patrik Eriksson as Patterson Dental’s North American president. Eriksson brings a wealth of experience in the dental and medical technology...