The following case presenta- tion will present complex aes- thetic and functional case of sever deep bite with relapse of previous orthodontic treatment in childhood, combined with periodontic involvement. We used 3D technologies to scan, simulate, plan and treat the patient in very short time with predicted results and comfortable invisible ortho- dontic appliance (figs. 1, 2).
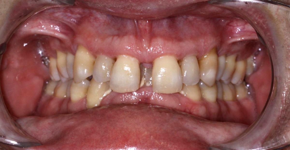
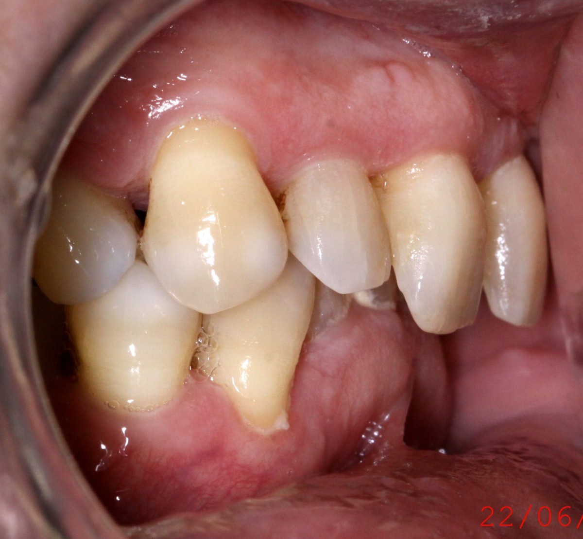
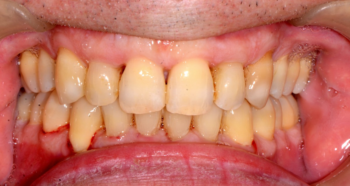
G.L., 51 years old patient, pre- sented to the clinic with Class I malocclusion, deep bite with complete coverage of lower in- cisors, big median diastema between teeth #11 and #21, lack of interdental papilla and poor oral hygiene (figs. 3, 4).
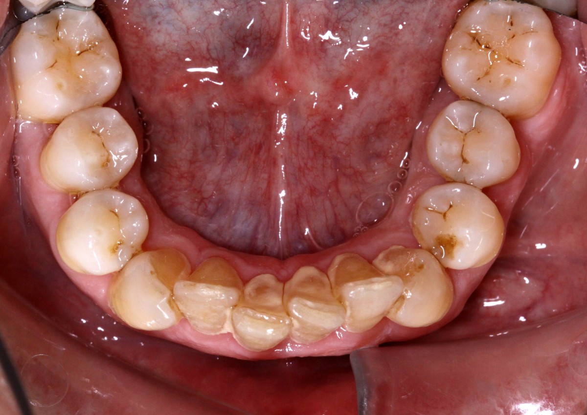
Lower incisors erupted verti- cally and created 2 planes of occlusion and exaggerated curve of spee in the lower arch. The upper lip “pushed” the an- terior incisors lingually and consequently the bite was deepened. Oral hygiene is poor mainly due to the crowding of the lower incisors. The upper diastema resulted in the loss of the interdental papilla between the central incisors (figs. 5, 6).
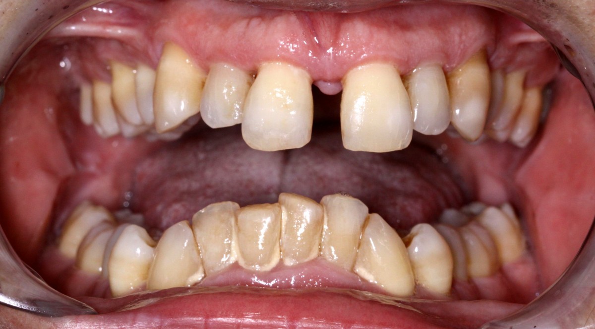
Patient had gone through pre- vious orthodontic treatment
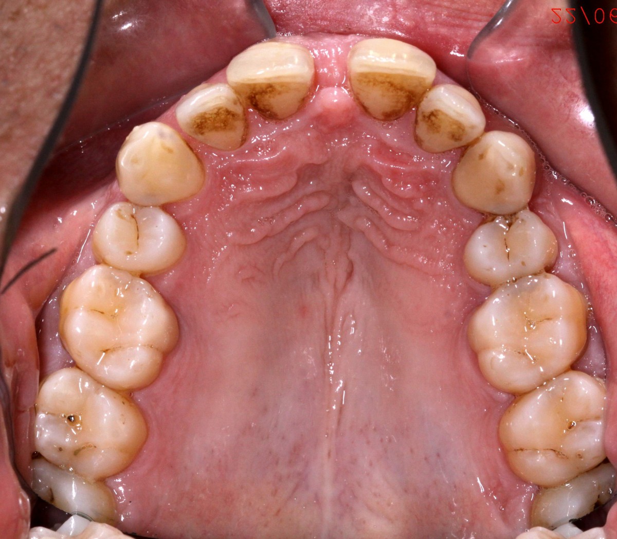
with extraction of upper first premolars (#14, #24). Space between #11-#21 is slowly opened during the years and space start to develop distally to the upper lateral incisors. Lower incisors are hitting traumatically the palate creat- ing proliferation of the epithe- lium and constant inflamma- tion. Lower anterior crowding is around 4.5 mm (#33-#43) (figs. 7, 8).
Treatment was planned with Clincheck® Software of Invis- align® (Milano, Italia). 36 aligners were prescribed for 40 weeks (9 months). Patient was monitored every 2 months with photos, oral hygiene mechani- cal cleaning and periodontic examination.
Lower teeth were proclined, upper and lower arches were slightly expanded and upper and lower anterior teeth were intruded to help opening the bite (fig. 9).
In this figure, patient during the Invisalign treatment. Note the perfect fit of the aligners due to correct planning and imple- mentation of biomechanics rules together with very com- pliant patient (figs. 10, 11).
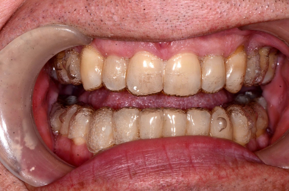
It is not every case that we con- sider a “life change”... this treatment for this patient was so important and the change we have achieved in his smile, function and aesthetics is dra- matic not to speak on the fact that we have probably saved his teeth from further destraction (figs. 12-16).
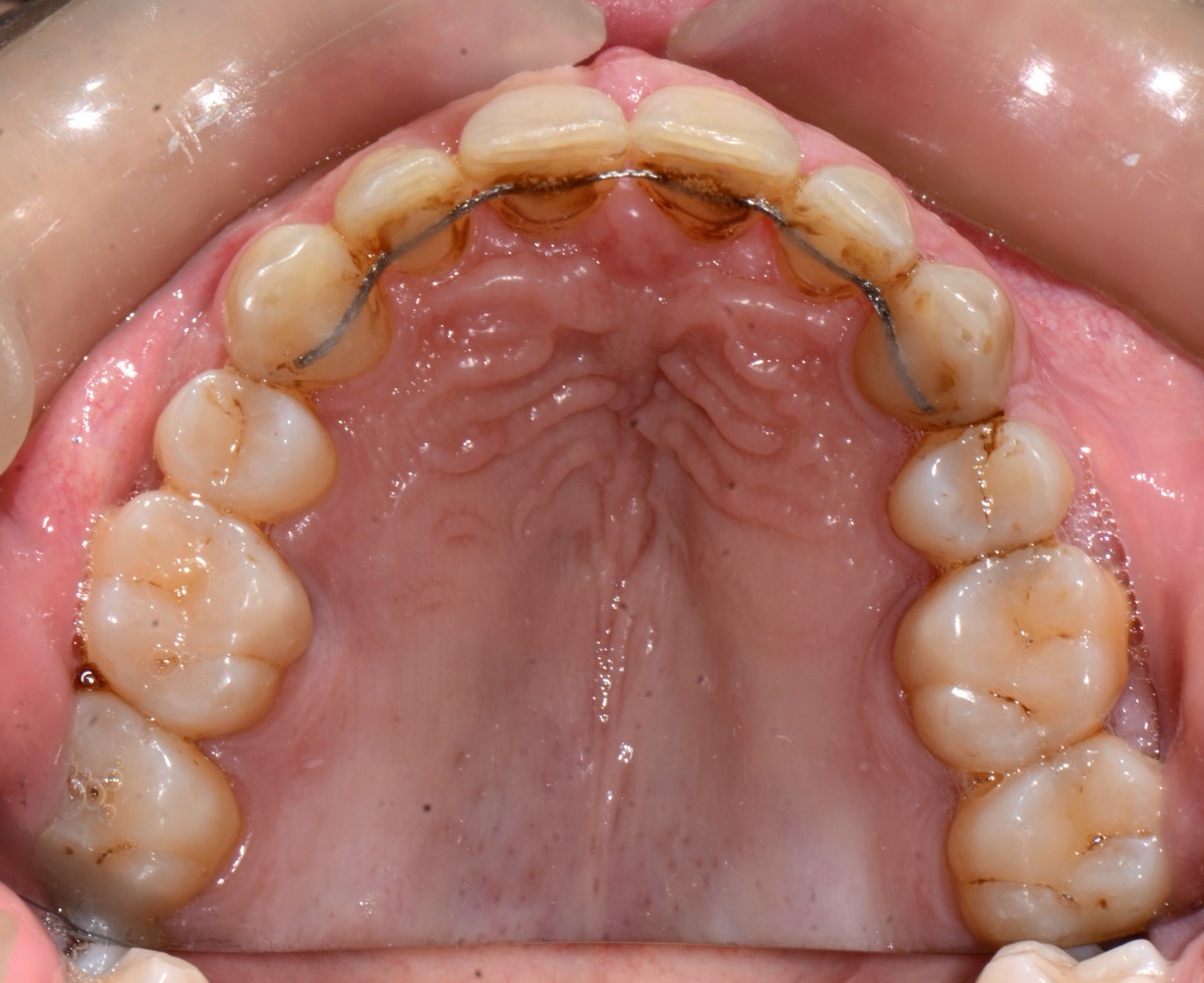
All treatments’ goals were achieved in very short time and with maximum aesthetics during the treatment with his clear aligners providing him perfect cleaning access with predictable and accurate technology. Patient received fixed retain- ers for anterior teeth and re- movable clear aligners for night wear (figs. 17, 18).
FINAL CONSIDERATIONS
In summary, careful treatment planning, with advanced ac- curate and predictable 3D clear aligners’ technology en- able us to bring this complex case into completion in less than 9 months.
Digital Dentistry 03 April 2026
The purpose of this review is to provide the readers with current information and state-of-the-art of digital scanning systems within the orthodontics.
Digital Dentistry 16 February 2026
An original procedure for the ovoid pontic technique in ortho-restorative cases
In the multidisciplinary treatments, especially in case of missing teeth in aesthetic area, the compliance of patient during retention time post orthodontic therapy is evidently very high, even among...
Editorials 03 February 2026
Dr. Alireza Sadr of the Department of Restorative Dentistry has been appointed as the first-ever UW School of Dentistry Director of Digital Dentistry and Innovation, effective Jan. 1, 2026.
Digital Dentistry 30 January 2026
Digital dentistry may be defined in a broad scope as any dental technology or device that incorporates digital or computer-controlled components in contrast to that of mechanical or electrical alone.
Editorials 13 January 2026
Pitt’s New Digital Dentistry Labs to Provide State-of-the-Art Education and Patient Care
Three new dentistry labs at the University of Pittsburgh School of Dental Medicine will give students and residents hands-on experience with cutting edge digital dental technology while providing...
Restorative dentistry 17 April 2026
Patient Perceptions of New Robotic Technologies in Clinical Restorative Dentistry
Patient perception research has failed to focus on burgeoning technology within the dental field.
Editorials 17 April 2026
Some admissions experiences can make an applicant feel like a statistic being analyzed or, as first-year Florida dental student Nate Fordham put it, like a “mushroom”: kept in the dark and fed...
Products 17 April 2026
BioHorizons’ Tapered Pro Conical Named to 16th Annual Readers’ Choice Top 25 Implant Products
Streamline your workflow with BioHorizons. Tapered Pro Conical offers a single, color-coded prosthetic platform for all full-arch cases.
News 17 April 2026
Following AI Voice Perio, voice-driven charting expands to restorative exams, enabling single-provider clinical documentation in Denticon.
Cosmetic & Reconstructive Dentistry recently announced the creation of a new scholarship program supporting graduating seniors from Fairfield’s public high schools who plan to pursue studies in...