The following clinical case presents complex aesthetic and functional case of sever deep bite with relapse of previous orthodontic treatment in childhood, combined with periodontic involvement. We used 3D technologies to scan, simulate, plan and treat the patient in very short time with predicted results and comfortable invisible orthodontic appliance (figs. 1, 2).
CLINICAL CASE
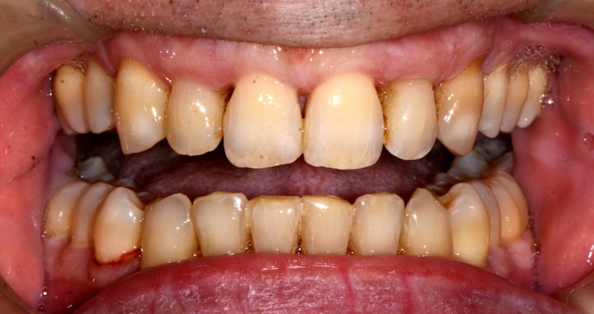
G.L., 51 years old patient, presented to the clinic with Class I malocclusion, deep bite with complete coverage of lower incisors, big median diastema between teeth #11 and #21, lack of interdental papilla and poor oral hygiene (figs. 3, 4).
Lower incisors erupted vertically and created 2 planes of occlusion and exaggerated curve of spee in the lower arch. The upper lip “pushed” the anterior incisors lingually and consequently the bite was deepened. Oral hygiene is poor mainly due to the crowding of the lower incisors. The upper diastema resulted in the loss of the interdental papilla between the central incisors (figs. 5, 6).
Patient had gone through previous orthodontic treatment with extraction of upper first premolars (#14, #24). Space between #11-#21 is slowly opened during the years and space start to develop distally to the upper lateral incisors. Lower incisors are hitting traumatically the palate creating proliferation of the epithelium and constant inflammation. Lower anterior crowding is around 4.5 mm (#33-#43) (figs. 7, 8).
Treatment was planned with Clincheck® Software of Invis- align® (Milano, Italia). 36 aligners were prescribed for 40 weeks (9 months). Patient was monitored every 2 months with photos, oral hygiene mechanical cleaning and periodontic examination. Lower teeth were proclined, upper and lower arches were slightly expanded and upper and lower anterior teeth were intruded to help opening the bite (fig. 9).
In this figure, patient during the Invisalign treatment. Note the perfect fit of the aligners due to correct planning and implementation of biomechanics rules together with very compliant patient (figs. 10, 11).
It is not every case that we consider a “life change”... this treatment for this patient was so important and the change we have achieved in his smile, function and aesthetics is dramatic not to speak on the fact that we have probably saved his teeth from further destraction (figs. 12-16).
Patient received fixed retainers for anterior teeth and re- movable clear aligners for night wear.
FINAL CONSIDERATIONS
In summary, careful treatment planning, with advanced accurate and predictable 3D clear aligners’ technology enable us to bring this complex case into completion in less than 9 months.
Editorials 02 October 2025
U-M School of Dentistry hosts national symposium on digital dentistry education
The University of Michigan School of Dentistry hosted a national Digital Dentistry Educators Symposium last week that drew faculty and leaders from 35 dental schools around the country.
Digital Dentistry 29 August 2025
Digital dentistry: The new state of the art — Is it disruptive or destructive?
Summarizing the new state of the art of digital dentistry, opens exploration of the type and extent of innovations and technological advances that have impacted – and improved – dentistry.
Endodontics 15 August 2025
Feasibility of Implementing Digital Dentistry Section in Dental Clinic of a Military Centre
Digital dentistry is not the wave of the future, it is happening now. Whether a dentist embraces the new technology determines the quality of treatment and possibly his future; for this reason,...
Digital Dentistry 23 July 2025
Contemporary Digital Dentistry for Complex Cases in the Anterior Maxilla
To demonstrate how contemporary digitally driven workflow can enhance outcomes for complex esthetic dental cases, focusing on three distinct clinical scenarios involving implant placement, esthetic...
Periodontology 30 October 2025
To update the competences and learning outcomes and their evaluation, educational methods and education quality assurance for the training of contemporary specialists in periodontology
Editorials 30 October 2025
New research explores the prevalence of dental fear and memories underlying it, underscoring the need for accessible treatment.
Products 30 October 2025
LuxCreo, a global innovator in personalized medical and dental devices, announced that it has received a strategic investment from Angelalign Technology Inc., a leading.
News 30 October 2025
GTCR, a leading private equity firm, announced the simultaneous signing and closing of a strategic, structured minority investment in Solmetex (the “company”).
News 30 October 2025
PDS Health, a leading integrated healthcare support organization, has announced the launch of PDS Health Medical, a new business unit that connects medical care to dental practices through connected...