The patient is a woman and she is 24 years old. She arrived in my office for a first visit.
From a medical point of view she has nothing to report if not a mild allergy related to the latex.
The remote stomatognathic history tells of a fixed orthodontic treatment, scaling once a year, and some fillings received during adolescence.
From a dental point of view, the young patient is in first skeletal and dental class, has no symp-toms or signs of periodontal disease and plaque control, even if not perfect, is very good.
The patient reports slight discomfort during ingestion of sweet foods or drinks and during chew-ing on the 4th quadrant.
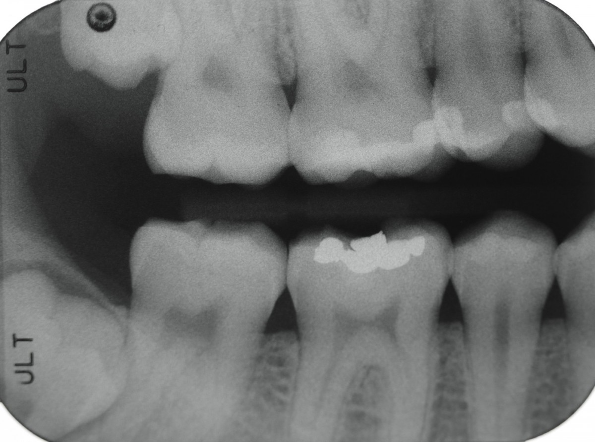
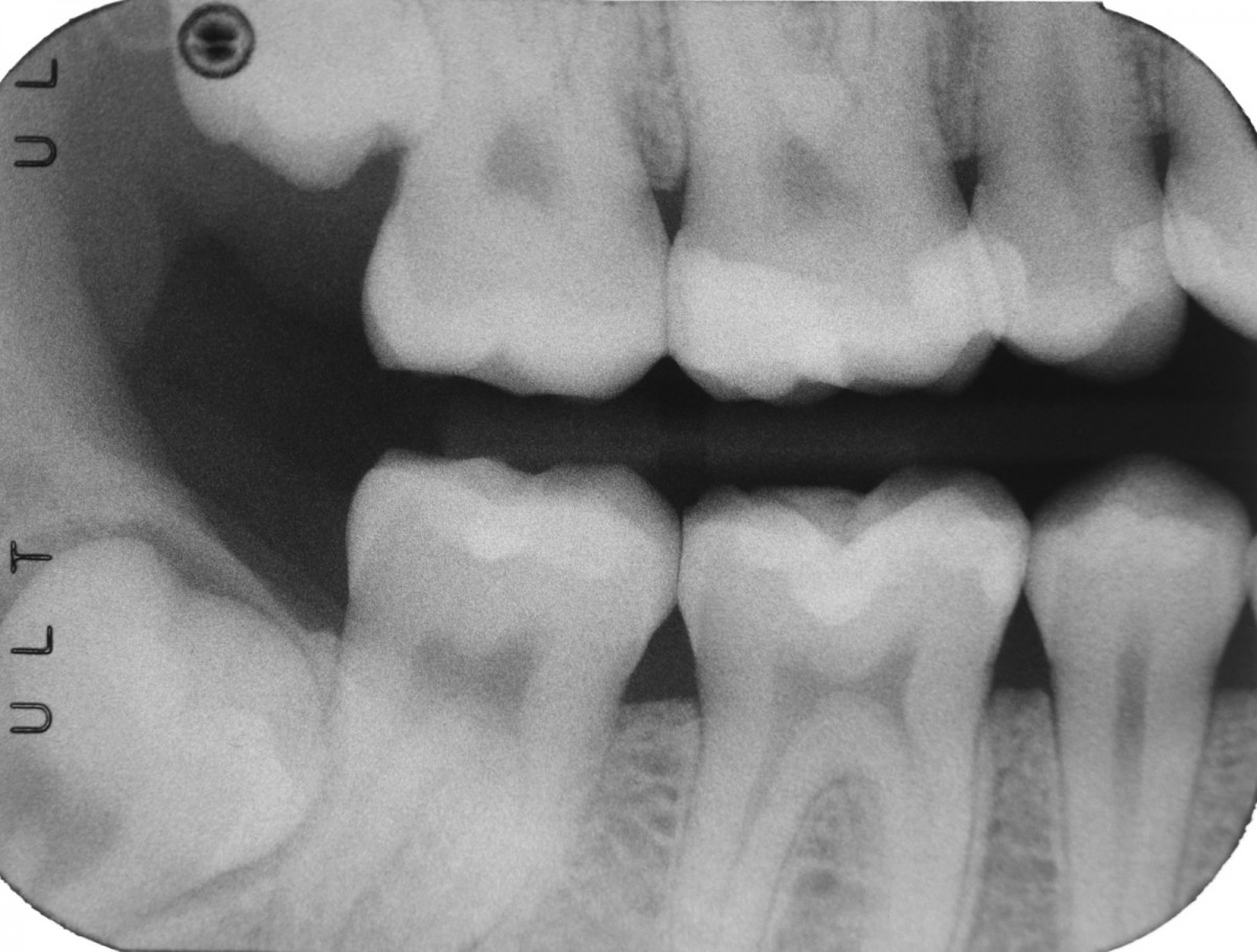
During the visit, consisting of the physical examination and instrumental examinations such as radiographs bitewings, thermal tests and compression tests (to exclude the presence of typical symptoms of a crack) at the level of the fourth quadrant, she has: amalgam restoration on dental element 4.6 associated with primary mesial caries and primary occlusal caries on 4.7.
The symptoms are not clearly identifiable by the patient but they can be traced back to dental elements 4.6 through diagnostic tests.
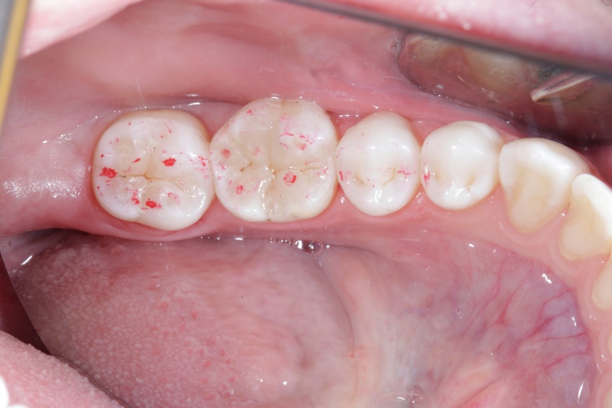
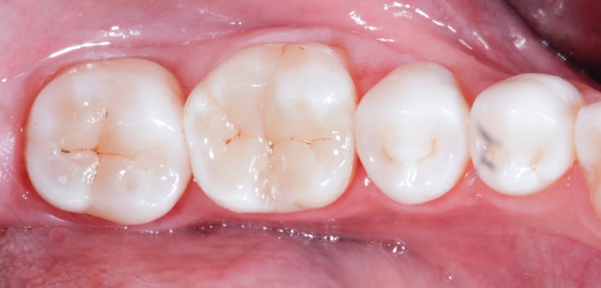
The quadrant is rehabilitated through direct composite procedures.
Restorative dentistry 03 November 2025
The worldwide interest of both dentists and patients in esthetic dentistry has affected decision-making in dental practice.
Restorative dentistry 12 September 2025
Traumatic tooth injuries involve function and aesthetics and cause damage that range from minimal enamel loss to complex fractures involving the pulp tissue and even loss of the tooth crown.
The purpose of restorative dentistry is to restore and maintain health and functional comfort of the natural dentition combined with satisfactory aesthetic appearance.
Oral surgery 15 July 2025
The influence of patients' decisions on treatment planning in restorative dentistry
As part of treatment planning, options are presented to patients by dentists. An informal discussion takes place involving a cost-benefit analysis and a treatment plan is agreed.
Restorative dentistry 01 July 2025
Advances in CAD/CAM Technology for Chairside Restorative Dentistry: A Workflow Analysis
Chairside CAD/CAM technology has revolutionized restorative dentistry, offering streamlined workflows and improved patient outcomes.
Much like EMTs rushing to the scene after an accident, stem cells hurry to the site of a skull fracture to start mending the damage. A new finding has uncovered the signaling mechanism that triggers...
Products 05 November 2025
SimplyTest has launched a groundbreaking saliva-based test to detect high-risk strains of oral human papillomavirus (HPV), a major cause of oropharyngeal cancers.
News 05 November 2025
Perimetrics, Inc., a dental technology company pioneering quantitative diagnostics, announced today that the U.S. Food and Drug Administration (FDA) has granted clearance for the InnerView...
News 05 November 2025
On October 15, open enrollment for Medicare began nationwide. Hundreds of thousands of seniors in New Jersey will once again face the challenge of finding the right Medicare coverage, including the...
Digital Dentistry 04 November 2025
Digitalisation is an expanding field in dentistry and implementation of digital teaching methods in dental education is an essential part of modern education.