Introduction
Immediate implant placement and provisionalization has become a staple of implant dentistry. Competent clinicians are routinely extracting hopeless teeth and immediately replacing them with dental implants and implant-borne fixed restorations. In today's fast paced world, where patients want results yesterday, staying abreast with advancements in dental science and technology is imperative. Some of the first ceramic dental implants were made in one-piece body design, which limited the treatment options for the clinician. As both the material science and the production methods advanced, two-piece tissue level and bone level ceramic implants were produced, which gave the clinician more prosthetic flexibility. Nowadays ceramic implants are not made of pure zirconia; they are modified by adding yttria, ceria or alumina. This improves the properties of the ceramic implants and also allows for the production of more tapered and aggressive implants, designed for immediate stability and provisionalization. This case study showcases the use of a two-piece ceramic dental implant for an immediate replacement of a failing maxillary central incisor.
Clinical case
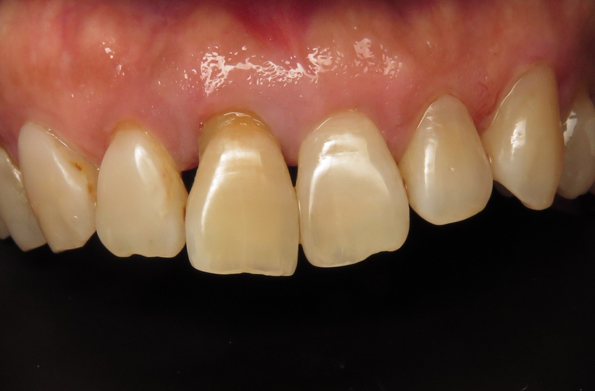
A 55-year-old male patient presented to our clinic seeking a solution for his failing anterior tooth (Figure 1). The tooth had been previously endodontically treated; currently it protruded coronally 1-2mm, had vertical bone loss in the mesial and grade II-III mobility (Figure 2).
An existing CT scan taken pre-RCT showed favorable bone volume, and the presence of a buccal wall. Along with the buccal plate, the health of the patient, absence of systemic diseases and presence of all other natural dentitions made this a favorable case for immediate implantation and provisionalization. The final deciding factor would be the final insertion torque of the implant (measured by a torque wrench) and the stability of the implant (measured by resonance frequency analysis).
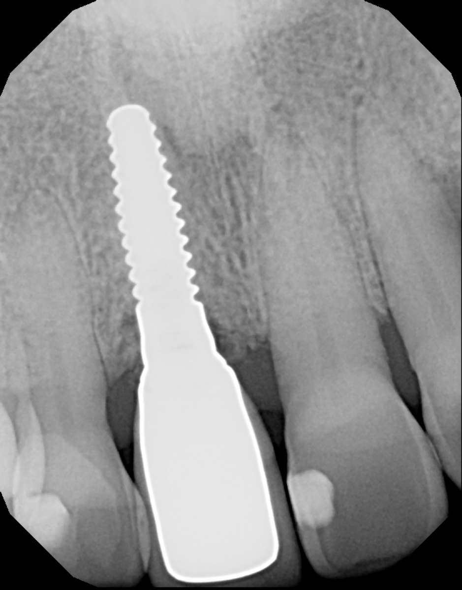
After administering local anesthesia, the tooth was atraumatically extracted, the socket was curetted clean and the presence of a complete buccal wall was confirmed. Osteotomy was done according to manufacturer protocols, with copious irrigation and a 3.5 x 12mm Zeramex XT ceramic implant was placed (Figure 4) at 50 N/cm2 final torque.
The gap was filled with a 50/50 mixture of allograft and xenograft sticky bone prepared with PRF. Implant stability was also measured with Osstell Beacon device to 61 mesio-distally and 61 bucco-lingually. Even though the preferred RFA values for immediate loading are 70 and higher, due to high insertion torque value and other positive contributing factors, immediate provisionalization was chosen.
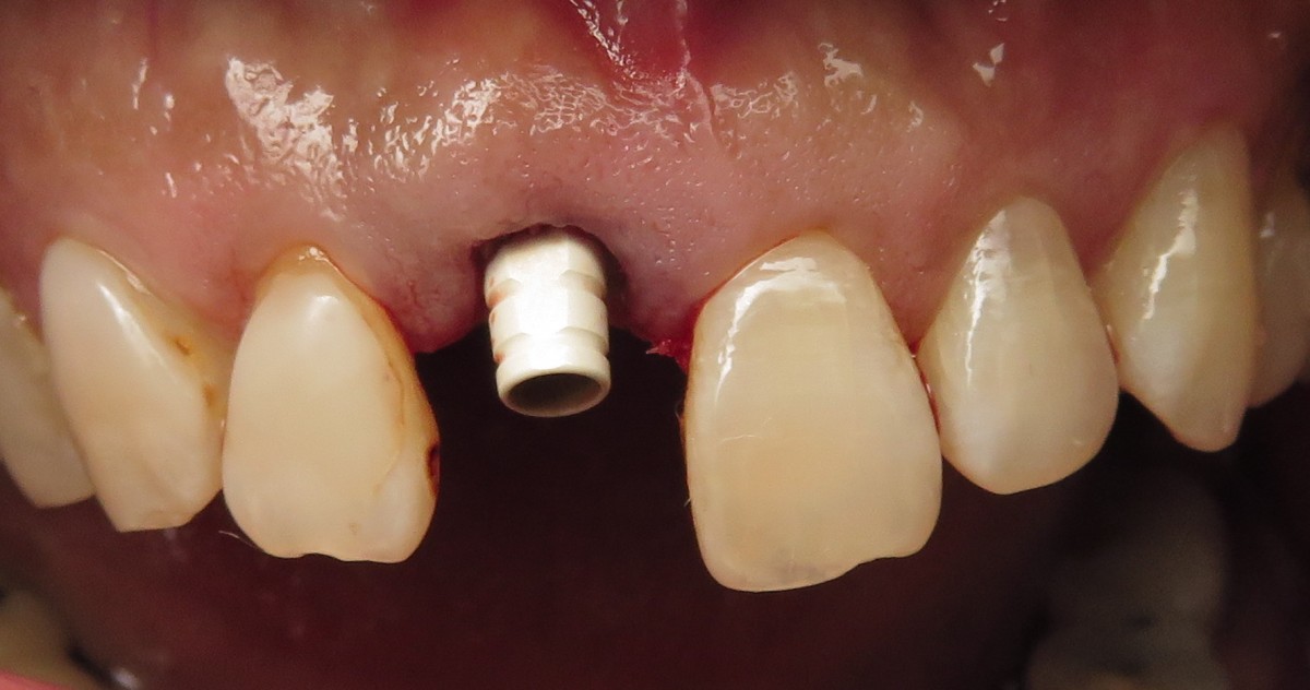
A PEEK provisional abutment was connected to the implant and trimmed (Figure 5) as necessary to allow for a properly positioned and contoured temporary tooth. The screw access was sealed with PTFE, and an acrylic provisional was fabricated using a pre-operative impression and cemented to the abutment using temporary cement. Caution was taken to relieve all centric and excursive/protrusive contacts in order to prevent the premature loading of the implant. The patient was instructed to stay on a soft diet and not to bite with their front teeth.
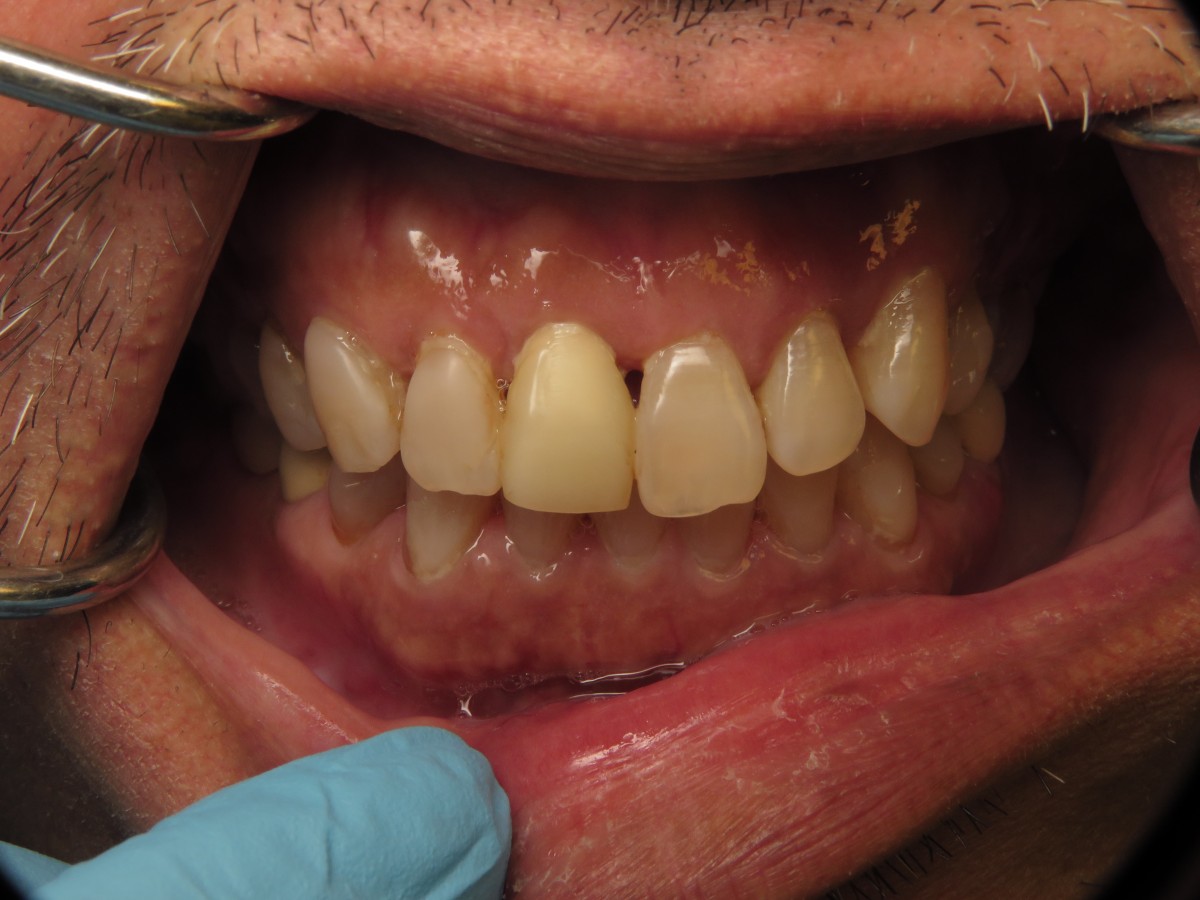
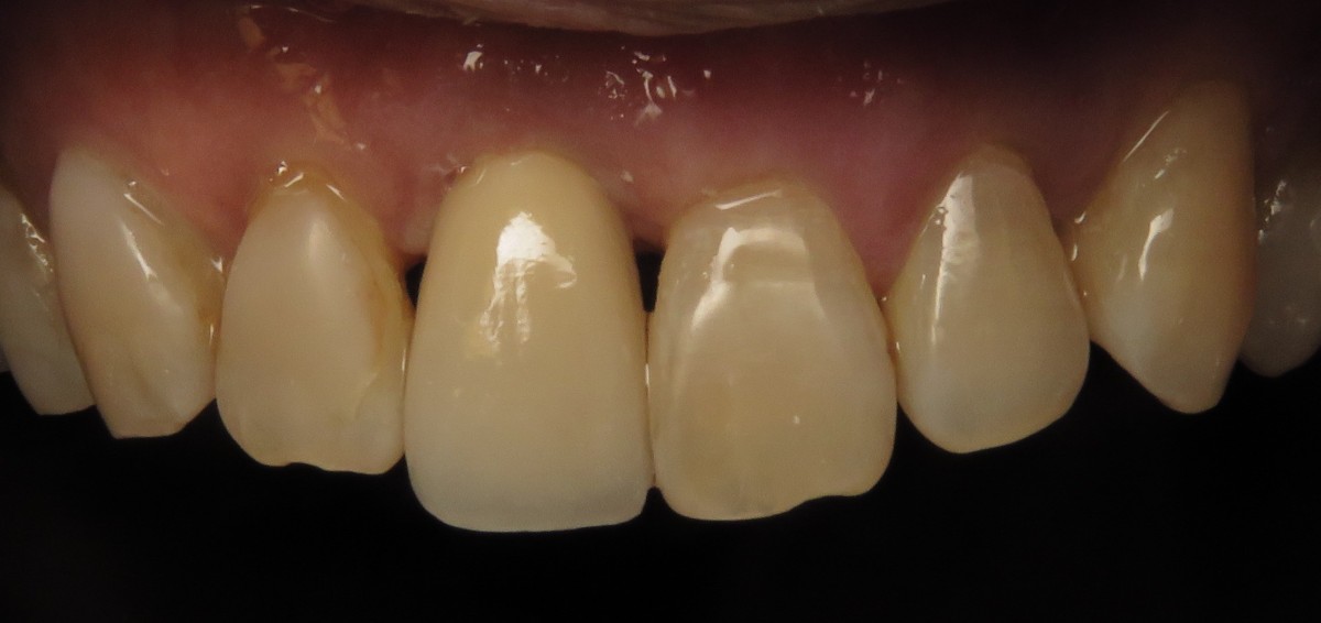
Four months after implant placement the patient returned for evaluation of the implant and final prosthetic procedures. Clinically the soft tissues looked healthy and pink, despite the poor oral hygiene (Figure 7). Bone levels were also stable and improved since placement. RFA measurements were at 69 bucco-lingually and 66 mesio-distally, showing an increase since placement. A closed tray impression coping was used to capture the position of the implant and surrounding structures. To fabricate the final restoration, a prefabricated zirconia abutment was used with 15-degree angle correction (Figure 9). The lab modified the abutment as needed and fabricated a cement retained final layered zirconia crown. Caution was taken to minimize excess cement (Figure 10) and deliver a well-fitting all-ceramic restoration over a ceramic implant (Figure 11).
Discussion
The aesthetic zone is a challenge for any dentist and implantologist. Ceramic implants present an opportunity to alleviate a main concern for titanium implants in the anterior region — the dark metallic hug of the gingivae. Ceramic implants are the solution to this problem; however, prosthetic flexibility has been a limiting factor. Having a zirconia abutment with different gingival heights and straight or 15-degree option gives any clinician the ability to use ceramic implants even in most complex cases. Zirconia dental implants have many advantages over their titanium counterparts. However, basic biological principles still must be respected to achieve success in dental implantology.
USA 08 December 2023 - 09 December 2023
Ceramic Implants: Two-day hands-on and live patient training course – December 2023
The macroscopic and microscopic differences between ceramic implants and titanium implants.
Dental materials 09 August 2023
Featured dentist: Dr. Alexandre Marques, a father, dentist, professor and student
A member of the International Academy of Ceramic Implantology, Marques was awarded third place in a poster competition at the organization’s 2023 congress.
USA 13 April 2023 - 15 April 2023
The Congress will highlight an impressive roster of expert speakers and researchers in the field of bio ceramics and metal-free implant dentistry. Lectures and workshops have been selected with the...
USA 13 April 2023 - 15 April 2023
April 13 - 15, Atlanta
This is the twelfth year for the event, which will feature some of the world’s foremost biomaterials experts, bioceramics industry leaders and experienced clinicians in the field of ceramic...
Implantology 24 March 2023
By André Zétola and Isabela Zago Zétola
The aim of this case report was to share results of a clinician installing metal-free implant associated with simultaneous GBR in anterior upper jaw. ...
Oral Hygiene & Prevention 03 October 2025
Dental treatment planning and management for the mouth cancer patient
The need to deliver cancer treatment promptly often requires modification of ideal dental treatment plans.
Editorials 03 October 2025
To help stock the Filling Station, a food pantry open to anyone in our ASOD family who is experiencing food insecurity or needs help making ends meet, Adams School of Dentistry is holding a food...
Products 03 October 2025
From Scan to Smile: Aidite’s EZPRINT-P1 and Rapid 3 Deliver a Complete Digital Workflow
Digital dentistry thrives on precision, efficiency, and integration. Aidite has long been a leader in advancing these principles. With the introduction of the EZPRINT-P1 3D Printer, the company now...
Products 03 October 2025
Dentalhitec Americas recently announced the official U.S. launch of QuickSleeper5, following FDA clearance. Even prior to its American debut, demand from dentists for the QuickSleeper5.
News 03 October 2025
Excel Endodontics, a new specialty dental practice founded by endodontist Dr. Rachel Halpern, is proud to announce its official opening in Marlboro, New Jersey, along with the launch of its new...