Introduction
The prerequisites of implant placement are more than just replacing missing teeth or stabilizing dentures. Patients' and experts' demand, particularly in the aesthetic zones, can lead to changes in treatment protocols and choices over implant materials. When compared to conventional implants, zirconia dental implants have emerged as a more aesthetic option because they also present great biocompatibility, high fracture toughness, increased flexural strength, enhanced hardness, lack of metal and good corrosion resistance. Also, there is reduced bacterial biofilm deposition, which means there are fewer chances of peri-implantitis and bone loss.
In dental implant therapy, it is crucial to obtain an adequate volume of bone and keratinized mucosa to maintain the health of the peri-implant tissues. The guided bone regeneration (GBR) procedure is routinely performed to reestablish missing hard tissue, and to increase bone volume before implant placement. However, there is no clinical study with zirconia dental implants placed in conjunction with GBR reported in the literature.
The aim of this case report was to share results of a clinician installing metal-free implant associated with simultaneous GBR in anterior upper jaw.
Clinical case
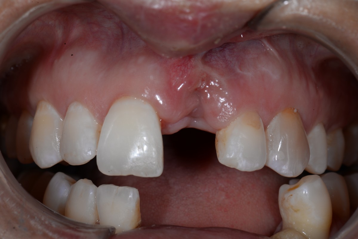
A healthy 30-year-old female patient, non-smoker, was involved in an accident that resulted in the traumatization of tooth #9. This trauma resulted in a huge buccal bone loss as well the tooth loss. During the dental examination, it was observed that an absence of keratinized mucosa and a thin gingival phenotype, combined with a buccal bone defect in tooth #9 area (Figure 1).
The treatment plan suggested by the dental team and accepted by the patient consisted of a zirconia dental implant installation associated with simultaneous GBR and provisional restoration. After extra oral asepsis procedure with 2% chlorhexidine soap and mouth rinse with 0.12% chlorhexidine, the infraorbital nerves bilaterally were blocked under local anesthesia with articaine 1:100,000 (Articaina. DFL. Rio de Janeiro. Brazil).
A mid-crestal incision was made from the region of the distal aspect of the right maxillary central incisor to the distal aspect to the left lateral incisor, with a vertical releasing incision in each extremity, elevating a full thickness mucoperiosteal flap exposing the bone bed (Figure 2).
The bone drilling was performed according to the manufacturer's instructions, achieving the best three-dimensional implant position. The implant (Pure Ceramic. Straumann. Basel. Switzerland) 4.1 mm monotype with a 12 mm length and a 5.5 mm transmucosal body was inserted into the surgical site with 15N/cm2 torque. After implant installation a great bone defect in the buccal area (Figure 3) was filled in with bovine bone substitute (Cerabone. Botiss. Germany) mixed with autogenous bone chips covered by a resorbable collagen membrane (Jason. Botiss. Germany) (Figure 4).
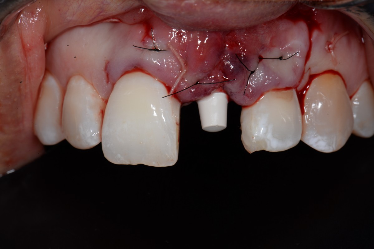
The resorbable suture 5-0 was used to stabilize the collagen membrane, followed by an interrupted nylon 5-0 suture, used for primary wound closure (Figure 5). A provisional adhesive crown was splinted to the adjacent teeth, positioned at the buccal aspect of the implant to avoid any implant load. An implant-supported provisional crown was inserted 90 days after surgery, and soft tissue conditioning was initiated to improve the emergency profile for the final restoration.
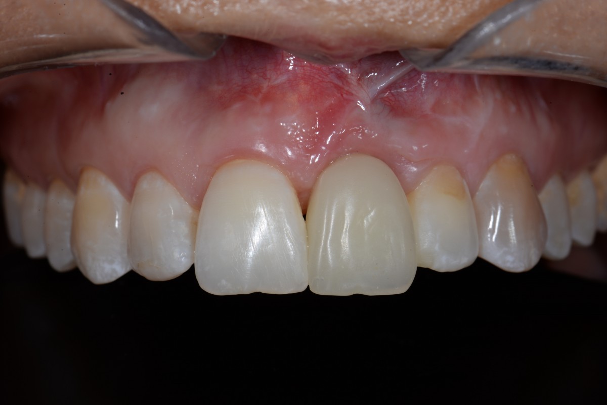
A CBCT scan revealed an increased bone volume in the buccal area after one year follow-up (Figure 6a). Twenty-seven months after the surgery the final porcelain crown was delivered and a new CBCT scan revealed a stable bone formation at the buccal aspect of the implant (Figure 6b). A clinical examination didn’t note any signal of peri-implant infection (Figure 7).
Conclusion
This case report demonstrates what is possible to obtain a stable result in the long term by applying GBR combined with ceramic implant placement in an aesthetic area. However, more long-term clinical trials are required to establish any further conclusions.
Dr. André Zétola is a specialist in oral and maxillofacial surgery and dental implantology, with a focus on implant surgery, bone augmentation using bone substitutes and growth factors, and correcting oral and maxillofacial deformities. He has been working with ceramic implants over the last eight years, particularly in extremely resorbed bone sites.
Zetola obtained his degree in dentistry from the Federal University of Paraná, Brazil. Later, he completed a fellowship in oral and maxillofacial surgery and dental implants at Northwestern University in Chicago. He obtained his master's degree in head and neck surgery from Heliopolis Hospital in São Paulo, and his doctoral degree in dental implantology from the Federal University of Santa Catarina in Brazil.
He is the founder of the Zetola Dental Institute and chairman of the Oral and Maxillofacial Department of Positivo University, Curitiba, Brazil. Zetola is the former president of the Brazilian Academy of Osseointegration, and an author and coauthor of several books and scientific articles on dental implants, bone regeneration and oral and maxillofacial surgery. He has also lectured on these topics around the world.
USA 08 December 2023 - 09 December 2023
Ceramic Implants: Two-day hands-on and live patient training course – December 2023
The macroscopic and microscopic differences between ceramic implants and titanium implants.
Dental materials 09 August 2023
Featured dentist: Dr. Alexandre Marques, a father, dentist, professor and student
A member of the International Academy of Ceramic Implantology, Marques was awarded third place in a poster competition at the organization’s 2023 congress.
USA 13 April 2023 - 15 April 2023
The Congress will highlight an impressive roster of expert speakers and researchers in the field of bio ceramics and metal-free implant dentistry. Lectures and workshops have been selected with the...
USA 13 April 2023 - 15 April 2023
April 13 - 15, Atlanta
This is the twelfth year for the event, which will feature some of the world’s foremost biomaterials experts, bioceramics industry leaders and experienced clinicians in the field of ceramic...
Implantology 12 March 2023
Early bird registration rates end March 15: 12th Annual Ceramic Implantology Congress
World class clinicians will conduct workshops on clinical skills and attendees will learn more about the implementation and business aspects of promoting ceramic implants in dental practices.
Endodontics 13 January 2026
Regenerative endodontic treatment has provided a treatment option that aims to allow root maturation.
Editorials 13 January 2026
Pitt’s New Digital Dentistry Labs to Provide State-of-the-Art Education and Patient Care
Three new dentistry labs at the University of Pittsburgh School of Dental Medicine will give students and residents hands-on experience with cutting edge digital dental technology while providing...
Products 13 January 2026
Revolutionizing Pediatric Dentistry with Dr. Josh Solomon: SDI Stela & Bioclear Insights
Join pediatric dentist Dr. Josh Solomon as he discusses the cutting-edge SDI Stela self-curing composite system and the Bioclear matrix system, and how these products are transforming Class II...
News 13 January 2026
Curve Dental, the leading cloud-native, all-in-one dental practice management platform, today announced its recognition as a market leader in The 2026 Dental Technology Landscape: Cloud, AI, and the...
News 13 January 2026
Patterson Companies Inc. has announced the appointment of Patrik Eriksson as Patterson Dental’s North American president. Eriksson brings a wealth of experience in the dental and medical technology...