The role of bioactive cements in endodontics has been widely debated since the last few years; some of the data are still uncertain and most of them are related to: the clinical applications of MTA and other BECs for apexification, regenerative endodontics, perforation repair, root canal filling, root-end filling, restorative procedures, periodontal defects and treatment of vertical and horizontal root fractures.
Root canal fillings have been investigated mostly on “in vitro” models, leading to a summary of features: the ability to set and to seal in moist and blood-contaminated environments, biocompatibility, adequate mechanical properties.
Antibacterial role is still to be demonstrated but it could be derived from the one demonstrated by Mineral Trioxide Aggregate studies.
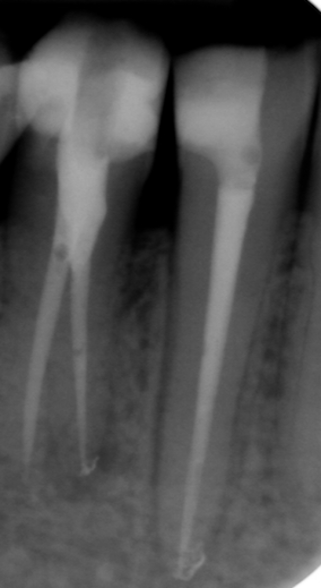
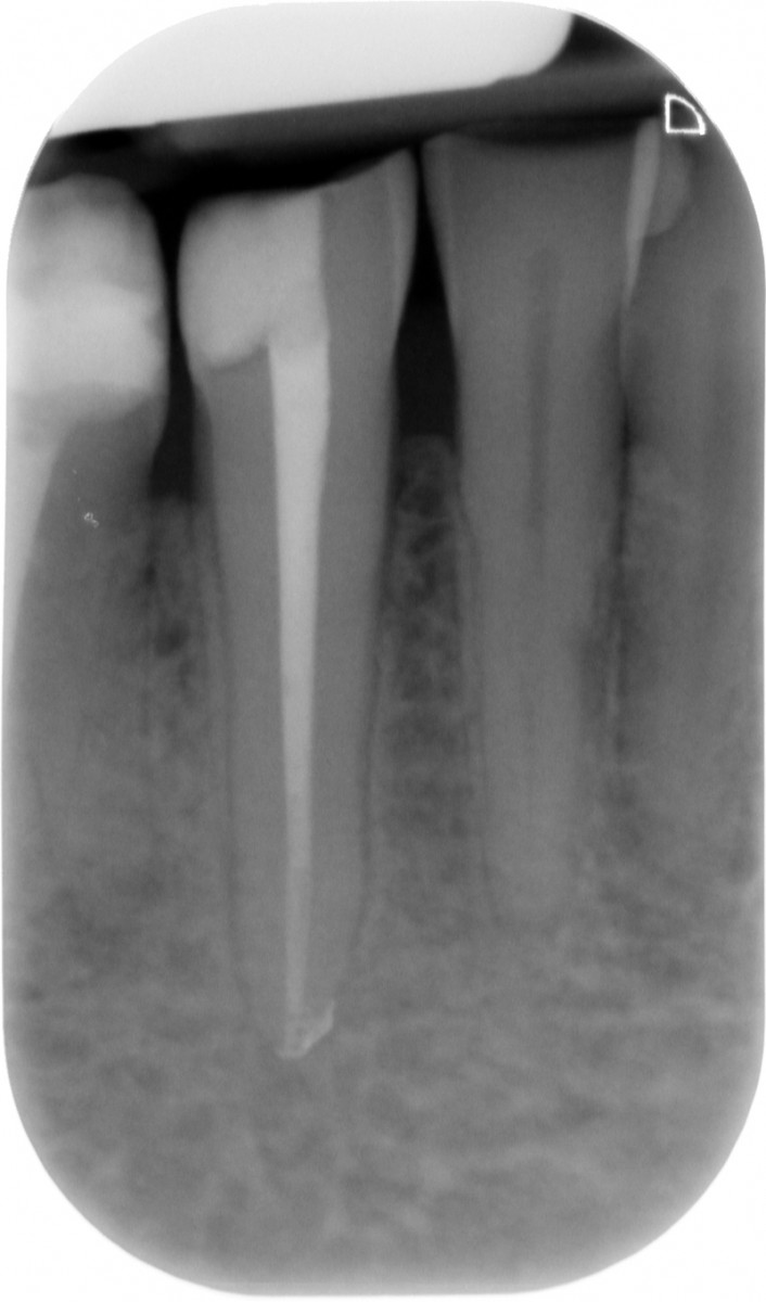
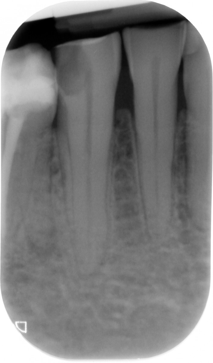
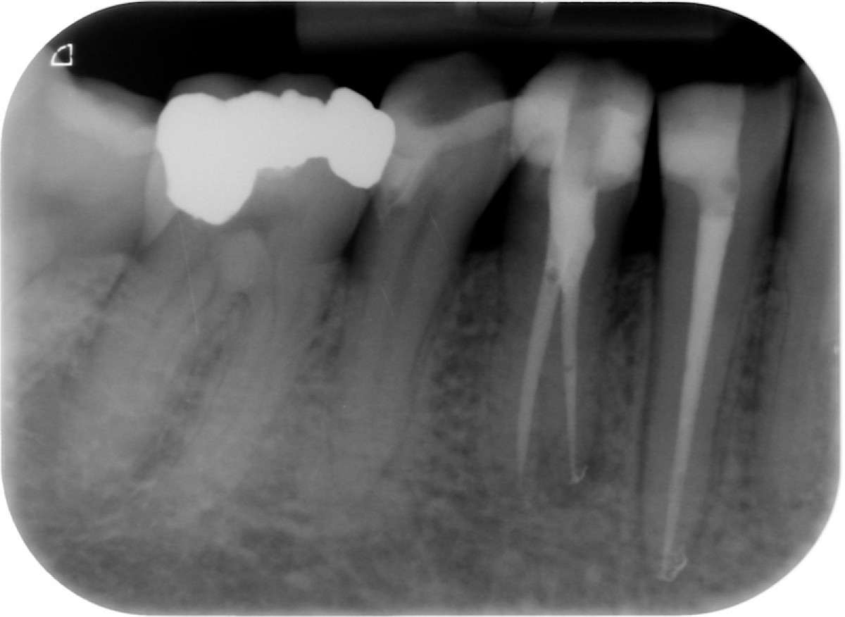
The opportunity to seal root canal after shaping is strongly related to the quality of the seal achieved in the whole root canal; a technique might be to mix the liquid/powder component in capsule and to inject into the root canal by micro-syringe provided by a 30 to 27 gauge metal tip.
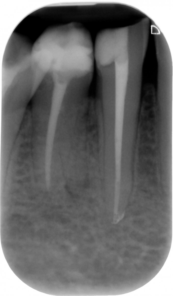
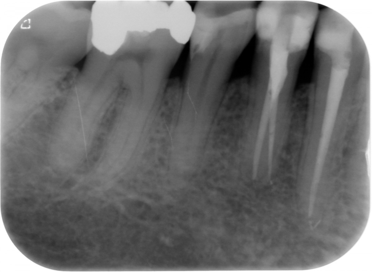
The gutta-percha point inserted into the root canal properly, adapting it to a size almost equal to the one employed to shape the apical terminus. Not wider, not smaller. Here are exposed a couple of cases made by shaping the root canal with a NiTi instrumentation technique and followed up for 9 to 12 months (Fig. 1-6).
It’s encouraging its easy handling and quite precise adaptation to the apical part of the root canal. The periapical healing, assessed by 2D-Rx, is considered satisfactory but further analysis and clinical studies related to these particular cements should be performed to confirm the first encouraging results.
News 03 October 2025
Excel Endodontics, a new specialty dental practice founded by endodontist Dr. Rachel Halpern, is proud to announce its official opening in Marlboro, New Jersey, along with the launch of its new...
Endodontics 01 October 2025
Obliteration of the root canal system due to accelerated dentinogenesis and dystrophic calcification can challenge the achievement of root canal treatment goals.
Products 17 September 2025
Modern Micro Endodontics is pleased to announce the opening of its newest location at 356 Broadway in Bayonne, New Jersey. This expansion strengthens the practice’s.
A new dual-cured resin sealer has recently been proposed as an innovative endodontic filling material.
News 04 September 2025
Forest Lake Endodontics in Forest Lake, Minnesota, announced today that endodontist Dr. Linda Liu has joined its team, bringing advanced training in root canal treatment and a strong commitment to...
Oral Hygiene & Prevention 03 October 2025
Dental treatment planning and management for the mouth cancer patient
The need to deliver cancer treatment promptly often requires modification of ideal dental treatment plans.
Editorials 03 October 2025
To help stock the Filling Station, a food pantry open to anyone in our ASOD family who is experiencing food insecurity or needs help making ends meet, Adams School of Dentistry is holding a food...
Products 03 October 2025
From Scan to Smile: Aidite’s EZPRINT-P1 and Rapid 3 Deliver a Complete Digital Workflow
Digital dentistry thrives on precision, efficiency, and integration. Aidite has long been a leader in advancing these principles. With the introduction of the EZPRINT-P1 3D Printer, the company now...
Products 03 October 2025
Dentalhitec Americas recently announced the official U.S. launch of QuickSleeper5, following FDA clearance. Even prior to its American debut, demand from dentists for the QuickSleeper5.
News 03 October 2025
Excel Endodontics, a new specialty dental practice founded by endodontist Dr. Rachel Halpern, is proud to announce its official opening in Marlboro, New Jersey, along with the launch of its new...