HOME - Clinical cases - Endodontics
 
 
08 April 2020

Heat treated Ni-ti Alloys and modern Endodontics: a clinical case with Coltene instruments

Author: G. Fumei


The objective of an Endodontic treatment is to prevent a periradicular disease or promoting the healing, if the disease is already present. Since 70’s (Schilder 1974), endodontists know that, in order to achieve this purpose, a correct mechanical instrumentation and an appropriate chemical disinfection should be obtained prior to a complete obturation of the root canal system.
The introduction of Ni-Ti rotary files in the 90’s opened a new era in endodontic treatment. Shaping procedures became easier and faster, raising the level of the endodontic treatment, not only among specialists but also among general dentists. Unfortunately, clinicians must face different root canal anatomies that can make it quite challenging to perform the right treatment also with the new Ni-ti rotary instruments. Straight canals can be shaped and cleaned with almost all the endodontic rotary systems available today.
The Endodontic treatment with a correct biomechanical instrumentation becomes more difficult when the internal anatomy of human teeth is severely curved and according to Shafer (2002) 84% of the canals are curved. Moreover, he showed in his study that almost the 75% of all curved canals had a curvature of less than 27 degrees, 10% had a curvature with an angle between 27 and 35 degrees and 15% had curvature of more than 35 degrees. Shaping curve canals can be very tricky and clinicians usually tend to increase flaring in the coronal portion of the canal and reduce the apical instrumentation size. This tendency can affect the chemio-mechanical disinfection of the apical third (Boutsioukis 2010). The modern concept of Minimally Invasive Endodontics, that is based on dentin preservation during all the endodontic phases, must link to the mechanical instrumentation of the apex to reduce the bacterial Load beneath a subcritical threshold, inside the canal. This means no over-flaring at the orifice of the canals, less taper of the shape and bigger apical diameter to increase disinfection. 
Moreover, the possibility to have a separation of the rotary Nickel-Titanium files increases inside a curved canal because of the increased cyclic fatigue.  The manufacturer focused their effort to realize instruments with different shape, blades, cutting angles, tips and tapers to allow clinicians perform better treatment reducing the risk of separation of the file caused by cyclic fatigue. Throughout the years also heat treatments to the files were introduced to increase flexibility and resistance to fracture.

In 2010 Coltene proposed a heat-treated rotary file named Hyflex-cm (cm=controlled memory) that had no memory shape at room temperature and an evident increase in the cyclic fatigue resistance as many studies demonstrate (Shen 2011).
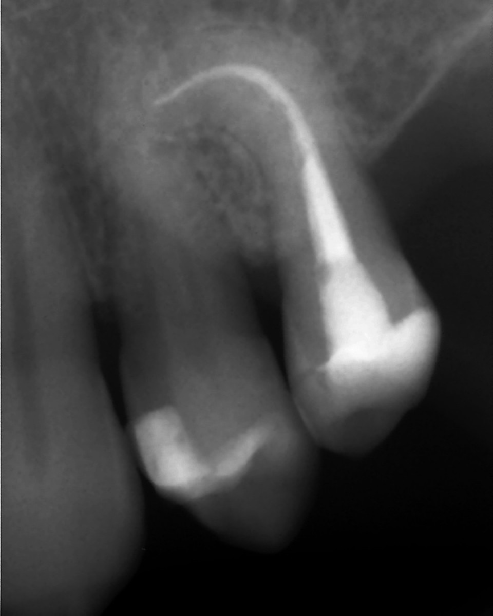
These files are, in fact, mainly in the martensite phase in body temperature (Shen et al, 2011). When the material is in its martensite form, it is soft, ductile, without shape memory and more favourable fatigue resistance than an austenitic microstructure (fig 1, 2, 3).

In 2015 Coltene introduced the new generation of Hyflex files called EDM, referring to the specific design of the file obtained by using an innovative manufacturing process called Electrical Discharge Machining. The EDM process results in a file that has an increased surface hardness cutting efficiency, is extremely flexible, fracture resistant and thanks to controlled memory properties, can follow the anatomy of the canal reducing the risk of ledging, transportation and perforation (Pedullà et al 2015). The sequence is very simple. There is an Orifice Opener #25 in diameter and 12% taper (25.12), used to relocate and enlarge the orifices of the canals. The glide path file (10.5) is used to create a smooth path for the OneFile (#25 variable taper from 8 to 4%) used as the last file (figure 4). 

Most of the cases can be completed with this simple sequence but for a better adaptability to the clinician’s needs the system is completed with 3 more Finishing files 40.4, 50.3 and 60.2 taper. The sequence was enlarged introducing two more file: 20.5 and 15.3.
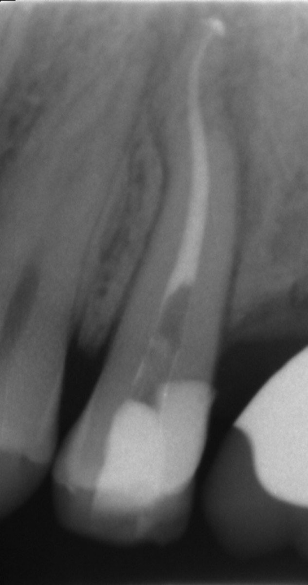
The extreme flexibility  and fatigue resistance of these files, combined with the lack of restoring force, render them ideal to be used for the instrumentation of highly curved and complicated canals (figure 5).

Case description
54 ys old male patient came with the complaint of pain and sensitivity in mandibular right first molar and endo-treatment was advised.
After accessing the pulp chamber and locating all the canal orifices, patency to length is confirmed with a stainless-steel manual file (0.10-0.15) and the Hyflex file sequence is selected in relation to the anatomical challenge encountered during manual scouting and the analysis of the preoperative x-ray  showed a complex and highly curved anatomy of the roots. The canal orifices were relocated using the Orifice Opener EDM In this case a 15.3 and a 20.5 were used to create a smooth mechanical glide path thanks to the great flexibility and cutting efficiency of the file. The distal canal was completed with the OneFile while in the palatal and mesio-buccal was not possible to reach WL with 25.8 EDM because of the curvature. Thus the sequence was completed with 25.4, 30.4, 35.4 from cm files sequence and 40.4 EDM file in both canals, according to the apical diameter gouging. Cold 5 % sodium hypochlorite was used throughout the procedure as the irrigant. Canals were dried with paper point and obturation was done by using single cones of taper and size corresponding to the ones of the last file used for shaping plus Gutta Flow Bioseal as cement. The tooth was restored with a composite overlay (figure 6,7).

Conclusion
Controlled Memory files have no shape memory effect, increased flexibility and  outstanding fatigue resistance.
The extreme flexibility and different taper of these files make them very advantageous in curved canal cases
avoiding procedural errors such as ledge formation, transportation, perforations.
Moreover, the combination of Cm and EDM sequence can help clinicians to shape almost all the root canal anatomies.  


Bibliography  
-Boutsioukis C, Gogos C, Verhaagen B, Versluis M, Kastrinakis E, Van Der Sluis LW. The effect of apical preparation size on irrigant flow in root canals evaluated using an unsteady Computational Fluid Dynamic Model.  IEJ  2010 43: 874-81
-Pedullà E, Lo Savio F, Boninelli S, Plotino G, Grande N, La Rosa G, Rapisarda E. Torsional and cyclic fatigue resistance of a new Nickel-Titanium Instrument Manufactured by Electrical Discharge machining. JOE  2015 42(1) :156-9
-Peters OA, Gluskin AK, Weiss RA, Han JT. An in vitro assessment of the physical properties of novel Hyflex nickel-titanium rotary instruments. Int Endod J. 2012 Apr 17
-Pirani C, Iacono F, Generali L, Sassatelli P, Nucci L, Lusvarghi M, Gandolfi G, Prati C. HyFlex EDM: superficial features, metallurgical analysis and fatigue resistance of innovative electro discharge machined NiTi rotary instruments.  2015 International Endodontic Journal
-Schafer e, Diez c, Hoppe W, tepel J. Roentgenographic investigation of frequency and degree of canal curvatures in human permanent teeth. JOE 2002 28: 211-6
-Shen Y, Qian W, Abtin H, Gao Y, Haapa- salo M. Fatigue testing of controlled memory wire nickeltitanium rotary instruments. J Endod. 2011; 37(7):997- 1001
-Shen Y, Zhou HM, Zheng YF, Campbell L, Peng B, Haapasalo M. Metallurgical characterization of controlled memory wire nickel-titanium rotary instru- ments. Journal of endodontics. 2011; 37(11): 1566-71
-Shilder H. Cleaning and shaping the root canal. Dental clinic of North America. 1974 18: 289-96    

Read more

Simvastatin, a cholesterol-lowering drug, has been reported to show anabolic effects on bone metabolism. 


News     15 April 2026

Planning for Perfection

Whether I’m planning dinner parties or fixing smiles, my organizational skills make me stronger


Latest advancements in DEXIS intraoral scanning technology earn top industry recognition


Oryx Dental, the leader in clinically focused, cloud-based dental practice management software (DPMS), and Seattle Study Club, the nation’s top dental education network, recently announced a new...


Bridge Dental Group is proud to announce its newest partnership with Foothill Family Dental Group and Peak Dental Specialists, two respected practices in Glendora, California, led by Dr. Mariam...


 
 
 
 

 
 
 
 

Most popular

 
 

Events