Female patient, 65 years old, requested a visit for widespread pain in the second quadrant, particularly localized in the molar area.
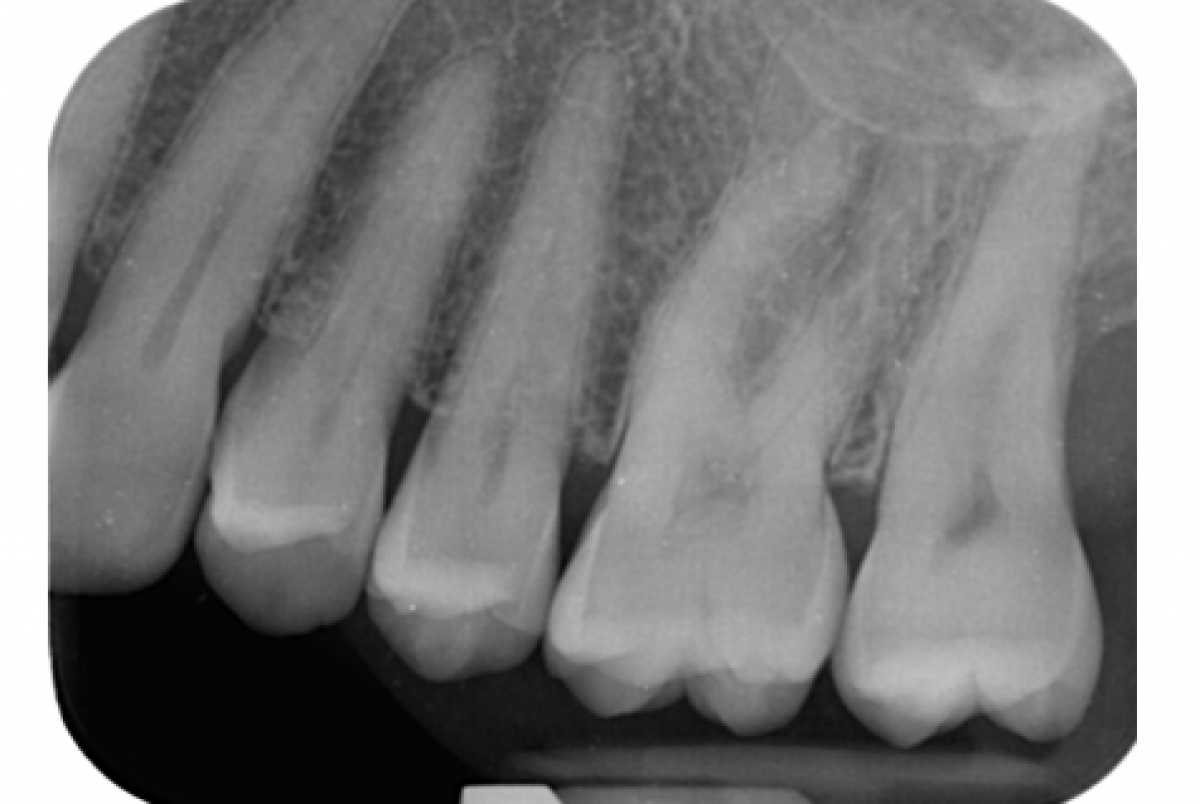
The intraoral periapical examination (Fig. 1) reveals bone resorption at the distal root of element 2.7. The periodontal examination shows probing on the distal side and the vestibular side, with exudate.
We proceed with the causal therapy through subgingival instrumentation of the pockets.
Upon re-evaluation after one month, the patient reports that she has not benefited from the therapy, persisting the symptoms that have even spread to the subzygomatic area. Furthermore, even at the periodontal examination, the probing has not decreased despite sufficient plaque control. . It was then decided to proceed with a second level X-ray examination justified by the diagnostic insufficiency of a two-dimensional X-ray. Accordingly, we opt for an 8x6 FOV with a "Regular" program to bilaterally investigate the maxillary sinuses and the entire maxillary arch to search for periradicular bone resorption.
The CBCT performed showed a patent and well-ventilated right maxillary sinus. In contrast, the left maxillary sinus was full of beacon material compatible with the presence of an infectious-inflammatory pathology. In addition, the sagittal cuts made it possible to highlight the presence of a bucco-sinus communication at the level of element 2.7, the cause of the patient's symptoms. In particular, the communication has created a path that runs along the buccal surface of the tooth in question. At this point, the case will be managed in an interdisciplinary way together with the otolaryngologist colleague.
Products 23 February 2026
Next Generation Trident X-View 3D CBCT Product Line Now Available Through Mid America Dental Sales
The next generation Trident X-View 3D CBCT product line is now available through Mid America Dental Sales, a master distributor of dental technology. These advanced imaging systems from Italy are...
Products 22 December 2025
AI dental company announces 510(k) clearance from the U.S. Food and Drug Administration for Overjet CBCT Assist.
Products 24 September 2025
With top-of-the-line 3D imaging technology and all the essential dental imaging programs, Planmeca’s latest offering easily meets the everyday needs of general dentistry, endodontics, and...
Periodontology 10 September 2025
To update the findings of a systematic review from the year 2016 on the evidence for the accuracy and potential benefits of cone beam computed tomography (CBCT) in periodontal diagnostics.
Restorative dentistry 17 April 2026
Patient Perceptions of New Robotic Technologies in Clinical Restorative Dentistry
Patient perception research has failed to focus on burgeoning technology within the dental field.
Editorials 17 April 2026
Some admissions experiences can make an applicant feel like a statistic being analyzed or, as first-year Florida dental student Nate Fordham put it, like a “mushroom”: kept in the dark and fed...
Products 17 April 2026
BioHorizons’ Tapered Pro Conical Named to 16th Annual Readers’ Choice Top 25 Implant Products
Streamline your workflow with BioHorizons. Tapered Pro Conical offers a single, color-coded prosthetic platform for all full-arch cases.
News 17 April 2026
Following AI Voice Perio, voice-driven charting expands to restorative exams, enabling single-provider clinical documentation in Denticon.
Cosmetic & Reconstructive Dentistry recently announced the creation of a new scholarship program supporting graduating seniors from Fairfield’s public high schools who plan to pursue studies in...