HOME - Clinical cases - Restorative dentistry
 
 
06 July 2020

A clinical case of First class direct restorations on 4.6 and 4.7

Simona Chirico


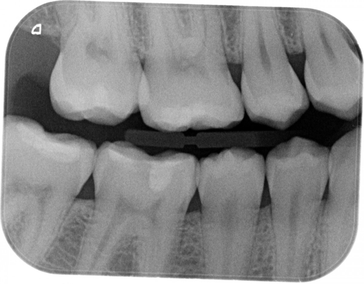
A female 32-year-old patient came to my attention for a visit at the Master of Restorative and Aesthetic Dentistry in University of Bologna, because she perceived the presence of a cavity at the level of the first right lower molar.  The general medical history was negative. The oral examination revealed the presence of a carious lesion on element 4.6 and an old incongruous restoration on 4.7. Everything was also confirmed by the radiographic examination. In addition, both elements were positive for the pulp viability test, thus finding the absence of an irreversible pulpitis.
The percussion test was negative.  

TREATMENT PLAN
 -Professional oral hygiene session, 
 - First class direct restorations of 4.6 and 4.7  

The clinical case is illustrated below.

Detail of the two elements (Figure 1)

Bitewing of the first and fourth quadrants to evaluate elements 4.6 and 4.7 (Figure 2)

The two elements after application of the rubber dam in order to isolate the operating field (Figure 3)

Final cavities of both elements (Figure 4)

Application of 35% orthophosphoric acid for 30 seconds on enamel and 15 seconds on dentine (Figures 5 and 6)

Application of primer for 15 seconds on 4.6 and 4.7 (Figure 7)

Application of bonding for 20 seconds on 4.6 and 4.7 (Figure 8)

Direct restorations completed on 4.6 and 4.7 (Figure 9)

Clinical control of the restorations on 4.6 and 4.7 after 1 month (Figure 10)

Radiographic control of the restorations on 4.6 and 4.7 after 1 month (Figure 11)

Read more

Virtual microscopy (VM) is a technology for showing microscope slides using computers and could be considered a progression of classic methodology using optical microscopes.


For every assist this season, the insurance provider will donate $25 to TUSDM Cares for Veterans


J. MORITA USA, a world leader in handpiece technology, has announced the Rotary Master+ Electric Motor. Compatible with Morita TorqTech electric attachments and most competing electric handpieces on...


Let’s be honest: nothing kills the vibe quite like bad breath. However, while 85% of people prefer for someone to tell them if their breath needs some freshening up, only 15% are willing to break...


Vitana Pediatric & Orthodontic Partners (Vitana), a dentist-led dental partnership organization (DPO) focused exclusively on elite pediatric dental and orthodontic practices with operations in...


 
 
 
 

 
 
 
 

Most popular

 
 

Events