HOME - Clinical cases - Orthodontics
 
 
21 February 2021

The digital workflow for personalised braces

Authors: Marco Pironi


The progressive introduction of digital technology into dentistry nowadays makes it possible to create personalised braces, that is, devices designed and built for a specific patient according to the goals of an individual treatment plan. In this article we presented the clinical case of a 14-year-old boy who came to us with a request for orthodontic treatment to improve his smile, particularly the alignment of the upper incisors. This case study thus involved, in addition to the clinical examination, obtaining a series of photographs of face and teeth, making digital impressions of the dental arches via an optical scan, and acquiring a set of digital X-rays that included a panoramic X-ray and lateral-frontal teleradiography images. Digital X-rays are particularly important since the entire workflow originates from this diagnostic element via the cephalometric examination. In fact, they allow us to define the exact position of the teeth and therefore plan the orthodontic shifts necessary to achieve the desired goals. The facial photos show a retrognathic profile and the patient's reluctance to smile (fig. 1).

  The intraoral examination shows a class 2 occlusion on the right and class 1 occlusion on the left, with consequent rightward deviation of the lower midline. There is also some modest crowding in both arches (fig. 2).

The panoramic X-ray performed with the Hyperion (MyRay) equipment highlighted the good condition of the teeth and mandibular condyles and showed the presence of the molar buds (fig. 3).

The lateral and frontal teleradiography images (MyRay Hyperion), allowed us to clearly identify all the anatomical structures - skeleton, teeth and soft tissues - essential for the execution of correct cephalometric analysis, which constitutes the cornerstone of the diagnosis and treatment plan (fig. 4).

In this particular case, the computerized cephalometric analysis performed using the Nemoceph (Nemotec) software, highlighted on the lateral projection a skeletal class 1, a brachyfacial type and pathological positioning of the upper and lower incisors; the latter appeared retro-positioned compared to their respective skeletal bases (incisive overbite) and linguo-inclined (insufficient torque). This situation gave rise to the so-called "incisor wall" which could compromise correct occlusal contact and proper functioning of the temporomandibular joints. It also influences the aesthetics of the smile. Cephalometric analysis on the frontal plane showed a good transverse relationship between the upper and lower jaws and confirmed the rightward deviation of the lower midline. To plan the orthodontic treatment, we performed a cephalometric VTO to simulate the correct positions that the incisors should reach at the end of the course of treatment (fig. 5).

The cephalometric VTO allowed us to identify the exact movements the incisors need to make in the sagittal and vertical planes. To complete the three-dimensional treatment planning, the virtual set-up was used. The dental arches were further scanned using the Trios (3Shape) scanner (fig. 6).

The intraoral scan file was then uploaded to the Insigna (Ormco) web application where the arches were segmented (i.e. the teeth were separated from each other) and an initial virtual set-up was performed by Insigna technicians. Subsequently - again on the Insigna web application - we perfected and completed the virtual set-up. The settings for the position and the angle of the upper and lower incisors were based on the cephalometric VTO values (fig. 7).

Once the virtual set-up was completed, we asked the Insigna laboratory to produce personalised braces with the aim of increasing the clinical reproducibility of our 3D planning (fig. 8).

The personalised braces consist of a series of brackets and a sequence of fully customised arches. Additionally, transparent jigs were created to make gluing of the brackets to the teeth as precise as possible (gluing therefore takes place indirectly) (fig. 9).

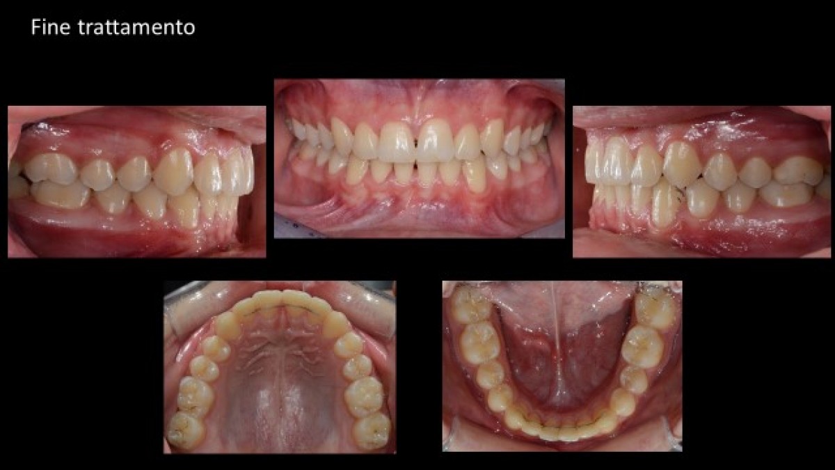
Figures 10-15 show the clinical application of the personalised braces.

Final cephalometric analysis and treatment start-end image overlap show that, in this case at least, the personalised braces were effective in correctly positioning and angling the upper and lower incisors (fig. 16).

With the impartial contribution of myray. For information and contacts go to this link : https://www.myray.it/it/contatti/requests/

Read more

FDI World Dental Congress - non-Europe edition - image: Valery Tenevoy / Unsplash

The FDI World Dental Congress - non-Europe edition 2026 will take place from September 10, 2026 to September 13, 2026 in TBD, Global rotating, offering dental professionals a focused environment for...


Smile Analysis - Edra Publishing book cover

Smile Analysis is an Edra professional dentistry reference focused on clinical practice, education and treatment planning.


Following the total loss of its manufacturing facility in the 2025 Los Angeles fires, Wizard Wedges® are back in production and available through authorized dental dealers—the same


Endodontists Share Tips to Save a Tooth in an Emergency During Save Your Tooth Month


The American Association of Orthodontists (AAO) announced the successful conclusion of its 2026 Annual Session, held in Orlando, Florida, from May 1–3 and attended by more than 12


 
 
 
 

 
 
 
 

Most popular

 
 

Events