Irrigation of root canals is key to improve the removal of bacteria, pulp tissue, smear layer and debris from the root canal system (1), reducing the risk of post-treatment disease. In fact, it is well known that mechanical instrumentation leaves untreated canal areas for individual canals ranging from 10 % to 50 % (2-6) : in these areas there is the possibility for bacteria to replicate and lead to the failure of the treatment (7). A recent article showed that the bacterial persistence at the time of filling has a significant influence of the outcome of the treatment, regardless of the irrigating solution and the medication used(8), thus stressing the importance of eradicating as many microorganisms as possible from the root canal system.
The synergy between mechanical preparation and irrigation is influenced by several factors, such as the fluid properties and the volume of the irrigant, the irrigant delivery system and its depth of placement, the anatomy of the root canal system (9). Conventional needle irrigation is not enough to provide a good disinfection (10) because of the risk of vapor lock effect (11) and because needles can have difficulties in penetrating into narrow spaces (12); as a consequence, the difficulty in reaching the most apical region of the canal with large volumes of fresh irrigant may result in insufficient replacement and fluid exchange beyond the tip of the needle (13). In order to increase the efficiency of the irrigation, the Literature suggested to use pre-heated solutions (14) or to activate irrigants (1) by means of ultrasonic/sonic devices (15) or negative pressure devices (16).
The more the needle is close to the working length, the more perform- ing the irrigation is: for this reason, using products that follow the anat- omy of the prepared root canal can help in this clinical step. On the other hand, the flux has not to be violent in order to decrease the risk of extruding debris into the periapical tissues (17).
Several articles described the use of a novel polypropylene needle (IrriFlex, Produits Dentaires SA, Swit- zerland) characterized by a back-to-back side vent design that help the clinician irrigating efficiently and safely the root canal space. This product, with his 30G tip, has the plus of reaching effortlessly the working length and to bring a high volume of irrigant close to the apex. The product has been shown effective in curved canals, but what about challenging cases? The following case reports show the use of IrriFlex in two different scenarios: a retreatment and a primary treatment of a calcified canal.
Case 1
A 62 years old patient was referred to our clinic for endodontic retreatment: the patient reported swelling to the upper left part of the gum. The radiographic examination showed the presence of an existing endodontic therapy and of periapical radiolucencies (Fig. 1). Since the existing therapy could be improved, we decided to retreat the tooth passing through the existing crown. After positioning the rubber dam (Fig. 2), the existing composite filling in the centre of the crown was removed by using a diamond-coated bur driven by a high-speed handpiece. In this way, the access cavity was executed and refined in order to see the pulp chamber(Fig. 3). The existing root canal filling was removed thanks to the use of rotary instruments specifically designed for retreatment, then ultrasonic tips were used to remove the remnants of the pull chamber floor. The chamber was filled with 5 % sodium hypochlorite (Fig. 4) and the MB2 canal, that had not been shaped-cleaned-filled during the initial treatment, was found and it underwent the standard protocol for shaping.
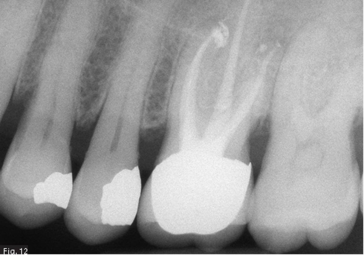
Considering the presence of an endodontic lesion and swelling, a lot of time was dedicated to decontamination of the root canal system (Fig. 5) (18). The device chosen to deliver the irrigating solution right to the working length was IrriFlex (Produits Dentaires SA, Switzerland) (Fig. 6) because, thanks to its flexibility, it was able to deliver the irrigant to the apical third of each root, without any effort, without stopping in case of curvatures. The irrigant was then activated by means of ultrasonic inserts (19) according to the indications given by Tonini et al. (12). After ensuring that the root canals were dry, they were filled according to the warm gutta percha compaction technique (Fig. 8-10). After that, the access cavity was filled by means of a direct composite restoration (Fig. 11) and a post operative x-ray was taken in order to check the final result (Fig. 12).
Case 2
A 50 years old patient came to our office because of an emergency: while eating he broke the tooth 2.2 and he was not able to find the fragment (Fig. 13).
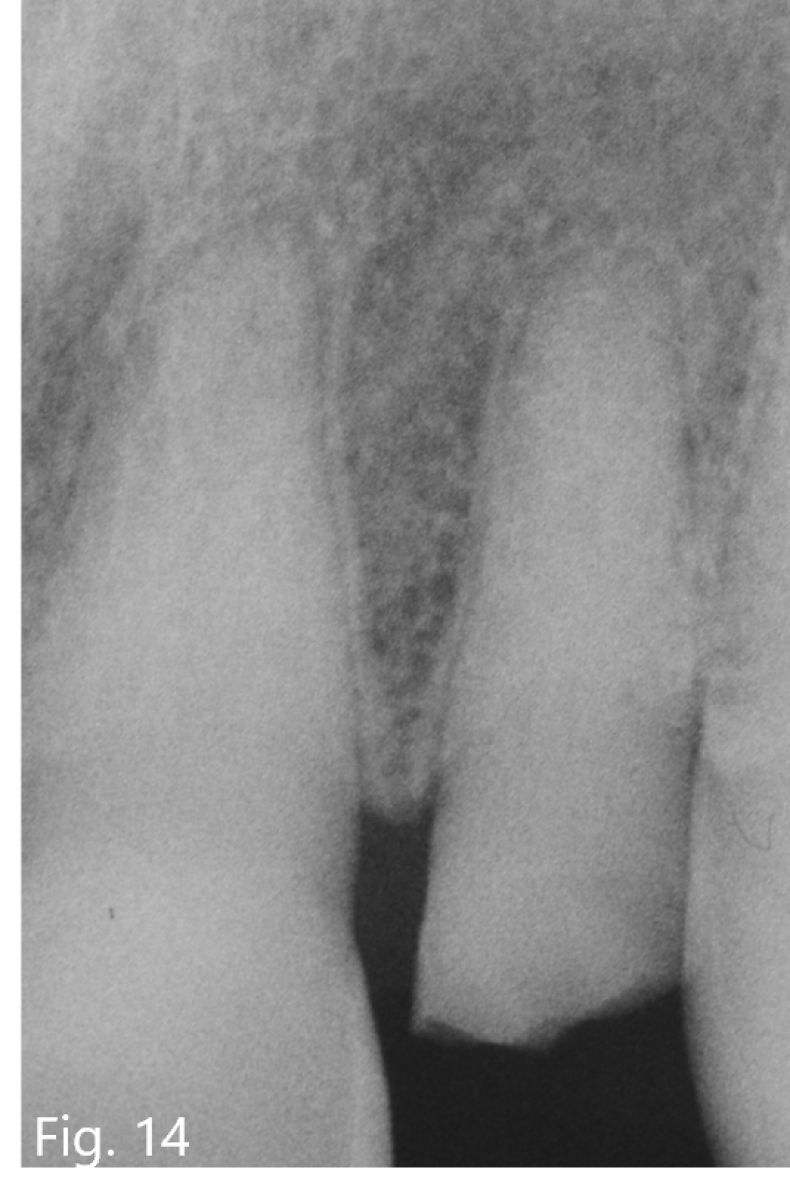
The fracture had exposed the pulp and the patient referred spontaneous and acute pain. The pre-operative x-ray showed that the tooth had a very thin canal lumen (Fig. 14) and a sufficient bone support, then it was decided to do an endodontic treatment followed by restoration and prosthetic crown.
As a first step of the therapy, rubber dam was positioned directly on the remaining tooth structure and the root canal treatment was started : the access cavity was designed and the root canal opening was found and enlarged with the help of ultrasonic tips. Then NiTi rotary instruments were used to complete the shaping of this narrow root canal space (Fig. 15). Multiple irrigation sequences were repeated using IrriFlex and ultrasonic activation of the sodium hypochlorite, both for making the endodontic instruments work in presence of an irrigating solution and to decrease the count of bacteria (20). The great advantage of using a polypropylene irrigation cannula was that, once the last shaping instrument reached the working length, also the cannula reached smoothly the working length (Fig. 16, 17), allowing to bring the irrigant as close as possible to the apical constriction of the root (1).
When the root canal walls looked sufficiently clean and shiny, obturation with warm gutta percha was executed. As a last step of the end- odontic treatment, a build up was done with composite (Fig. 18) and a periapical x-ray was taken (Fig. 19).
Comment
The same experienced practitioner executed the two root canal treatments considered in this article.
Cases were extremely different, a single-rooted tooth initial treatment and multi-rooted tooth retreatment, but both of them were challenging. The instruments and the sequences used for shaping the root canal system changed from case to case, since the root canal taper was different and the apical size of the lateral incisor was sensibly smaller than that of the molar.
The thing that did not change in the approach to these cases was the attention paid to the irrigation step: in the retreatment, the eradication of bacteria is the key to succeed in a tooth that has already received an endodontic treatment that failed, while in the lateral incisor the presence of a narrow canal makes it harder to clean the complexity of the root canal system (21).
In both cases, the use of a flexible irrigation cannula that follows precisely the path designed by the endodontic instruments was a plus that made the treatment easier and reduced operative times, because it was possible to deliver a large volume of irrigating solution where it was needed the most. The presence of length marks on the cannula helped the clinician having an idea of the needle penetration inside of the root canal; the yellow stop was put on the cannula just to emphasize the correspondence between working length and IrriFlex depth of penetration inside of the prepared canal. The obturation with warm gutta-percha was executed in order to seal tridimensionally the root canal space and the choice to restore both teeth in the same appointment of the root canal treatment was meant to prevent coronal leakage often related to provisional restorations.
BIBLIOGRAPHY
1. Basrani B, Haapasalo M. Update on endodontic irrigating solutions. Endo Topics. 2012;27:74-102.
2. Paqué F, Ganahl D, Peters OA. Effects of root canal preparation on apical geometry assessed by microcomputed tomography. J Endod. 2009;35(7):1056-9.
3. Paque F, Zehnder M, De-Deus G. Micro- tomography-based comparison of reciprocating single-file F2 ProTaper technique versus rotary full sequence. J Endod. 2011;37(10):1394-7.
4. Markvart M, Darvann TA, Larsen P, Dalstra M, Kreiborg S, Bjorndal L. Micro- CT analyses of apical enlargement and molar root canal complexity. Int Endod J. 2012;45(3):273-81.
5. Peters OA, Arias A, Paque F. A Micro-com- puted Tomographic Assessment of Root Canal Preparation with a Novel Instrument, TRUShape, in Mesial Roots of Mandibular Molars. J Endod. 2015;41(9):1545-50.
6. Siqueira JF, Jr., Perez AR, Marceliano- Alves MF, Provenzano JC, Silva SG, Pires FR, et al. What happens to unprepared root canal walls: a correlative analysis using micro-computed tomography and histology/ scanning electron microscopy. Int Endod J. 2018;51(5):501-8.
7. Siqueira JF, Jr., Alves FR, Versiani MA, Rocas IN, Almeida BM, Neves MA, et al. Correlative bacteriologic and micro-computed tomographic analysis of mandibular molar mesial canals prepared by self-adjusting file, reciproc, and twisted file systems. J Endod. 2013;39(8):1044-50.
8. Zandi H, Petronijevic N, Mdala I, Kris- toffersen AK, Enersen M, Rôcas IN, et al. Outcome of Endodontic Retreatment using 2 root canal irrigants and influence of infection on healing as determined by a molecular method: a randomized clinical trial. J Endod. 2019;45(9):1089-98.
9. Konstantinidi E, Psimma Z, Chavez de Paz LE, Boutsioukis C. Apical negative pressure irrigation versus syringe irrigation: a systematic review of cleaning and disinfection of the root canal system. Int Endod J. 2016.
10. Siqueira JF, Jr., Perez AR, Marceliano-Alves MF, Provenzano JC, Silva SG, Pires FR, et al. What happens to unprepared root canal walls: a correlative analysis using microcomputed tomography and histology/scanning electron microscopy. Int Endod J. 2017.
11. Plotino G, Ozyurek T, Grande NM, Gundo- gar M. Influence of size and taper of basic root canal preparation on root canal cleanli- ness: a scanning electron microscopy study. Int Endod J. 2018.
12. Tonini R, Cerutti F. Disinfezione e protocolli clinici nei ritrattamenti. 1. 1 ed. Ritrattamen- ti. Soluzioni per patologie apicali di origine endodontica: EDRA; 2019. p. 215-44.
13. Haapasalo M, Endal U, Zandi H, Coil JM. Eradication of endodontic infection by instrumentation and irrigation solutions. Endo Topics. 2005;10:77-102.
14. Cunningham W, Joseph SW. Effect of temperature on the bactericidal action of sodium hypochlorite endodontic irrigant. Oral Surg Oral Med Oral Pathol. 1980;50:569-71.
15. Conde AJ, Estevez R, Lorono G, Valencia de Pablo O, Rossi-Fedele G, Cisneros R. Effect of sonic and ultrasonic activation on organic tissue dissolution from simulated grooves in root canals using sodium hypochlorite and EDTA. Int Endod J. 2017;50(10):976-82.
16. Topcuoglu HS, Topcuoglu G, Arslan H. The Effect of Apical Positive and Negative Pressure Irrigation Methods on Postoperative Pain in Mandibular Molar Teeth with Symptomatic Irreversible Pulpitis: A Randomized Clinical Trial. J Endod. 2018;44(8):1210-5.
17. Boutsioukis C, Psimma Z, Kastrinakis E. The effect of flow rate and agitation technique on irrigant extrusion ex vivo. Int Endod J. 2014;47(5):487-96.
18. de Chevigny C, Dao TT, Basrani BR, Marquis V, Farzaneh M, Abitbol S, et al. Treatment outcome in endodontics: the Toronto study--phases 3 and 4: orthograde retreatment. J Endod. 2008;34(2):131-7.
19. Blank-Goncalves LM, Nabeshima CK, Martins GH, Machado ME. Qualitative analysis of the removal of the smear layer in the apical third of curved roots: conventio- nal irrigation versus activation systems. J Endod. 2011;37(9):1268-71.
20. Aksel H, Kucukkaya Eren S, Cakar A, Ser- per A, Ozkuyumcu C, Azim AA. Effect of Instrumentation Techniques and Preparation Taper on Apical Extrusion of Bacteria. J Endod. 2017;43(6):1008-10.
21. Aziz A, Chandler NP, Hauman CH, Leichter JW, McNaughton A, Tompkins GR. Infec- tion of apical dentin and root-end
Endodontics 08 December 2025
Evolution of Endodontics Innovations in Instrumentation, Irrigation and Filling
Endodontic treatment underwent a remarkable evolution from its beginnings, moving from rudimentary and painful techniques in the 18th and 19th centuries to advanced and specialised procedures in the...
Endodontics 20 June 2023
Literature studies have demonstrated that mechanical instrumentation alone cannot completely engraft microbes present in accessory canals, anastomoses and deep dentinal tubules. Approximately 35-53%...
Dental technology 06 May 2023
UTHealth Houston professor provides GentleWave research overview at AAE ‘23
Dr. David Jaramillo, a professor at UTHealth Houston School of Dentistry, provided an overview of the latest research using the GentleWave System.
Endodontics 10 February 2023
Innovative root canal irrigation strategy in minimally invasive endodontics
Study evaluated antimicrobial efficacy
Current irrigation techniques are based on the use of sodium hypochlorite but do not guarantee success in eliminating microorganisms from the root canal.
Endodontics 20 June 2022
Regenerative endodontic therapy and the benefit of dentinal conditioning with maleic acid.
The main purpose of regenerative endodontic therapy (RET) is the eradication of root canal infections and the stimulation of bone healing, with the aim of obtaining an increase in root wall thickness...
A survey among orthodontists to assess clinical procedures of overweight screening and nutrition intervention among youth was conducted.
Editorials 23 January 2026
Indiana University School of Dentistry (IUSD) has a long history of producing qualified dental hygienists, and this year was no different.
Products 23 January 2026
Buffalo Dental Manufacturing (BDM), a leading dental company with the industry’s widest range of handpieces, lab products, lab equipment, and vacuum forming materials and accessories, recently...
News 23 January 2026
COCOLAB, the cult-favorite oral wellness brand founded by sisters Dr. Chrystle Cu and Catherine Cu, is expanding its national retail presence with a new in-store rollout at Target.
News 23 January 2026
JW Practice Advisory announced today that Dave Dahler has joined the firm as Co-Managing Partner, alongside founder John Wlodarek, marking a significant milestone in the firm’s continued national...