The aim of this paper is to perform a literature review of Gnathodiaphyseal Dysplasia (GDD) and to describe in detail two new clinical cases of GDD.
A literature search on PubMed and Scopus was carried out using the following keywords (“gnathodiaphyseal dysplasia”, “anoctamin 5”, “jawbone disease”, “fibro-osseous lesion”, “bone fragility”). Every article describing GDD was considered eligible for this review for two reasons: (1) GDD is a rare disease and (2) there are few studies about GDD. Two clinical cases of GDD patients (mother and son) are also presented: both patients attended Santi Paolo and Carlo hospital dental clinic for the surgical treatment of jaw exostosis caused by the syndrome, and for the extraction of the symptomatic mandibular right third molar.
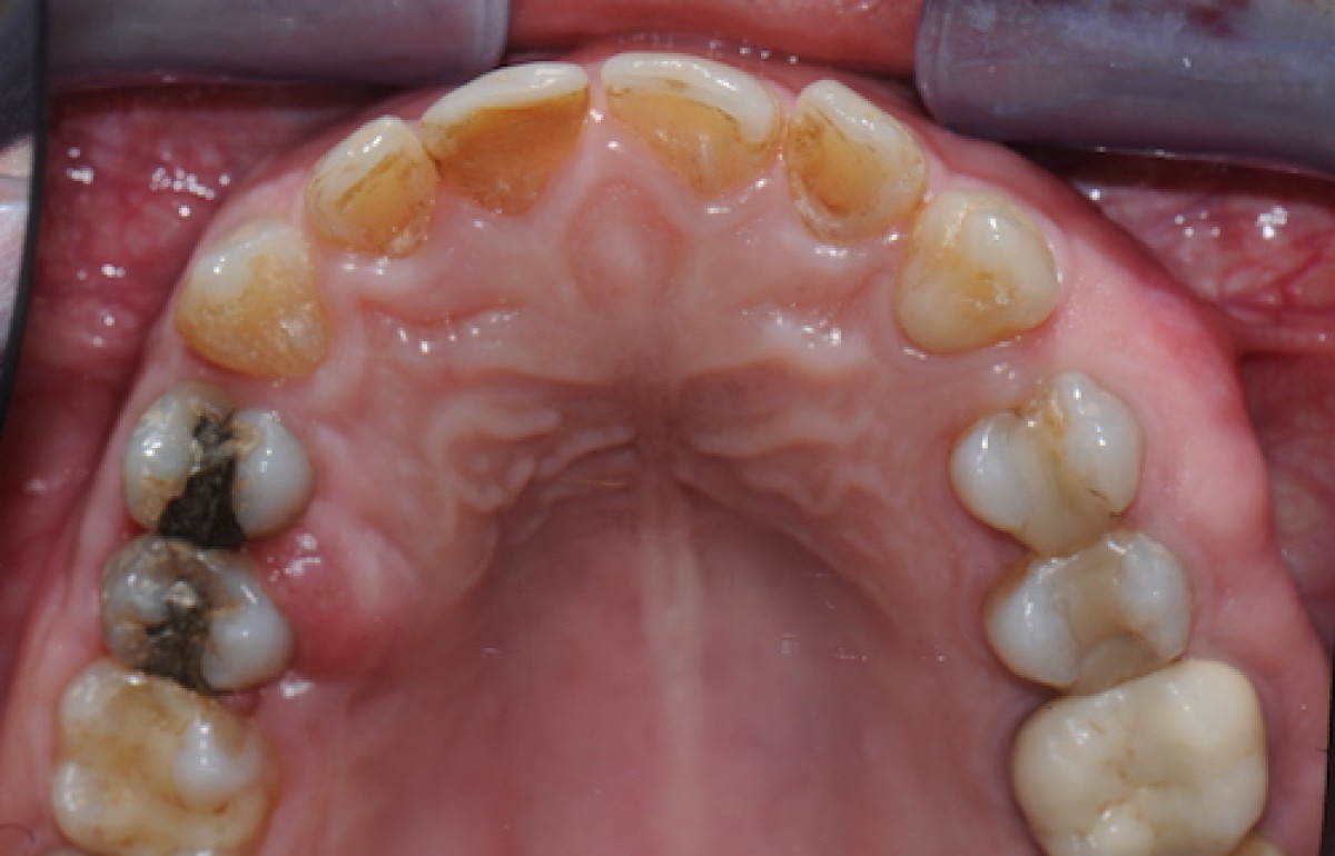
GDD is a rare autosomal dominant syndrome caused by mutations of the ANO 5 gene, which is located on chromosome 11. The most frequent clinical signs are: maxillary fibro-osseous lesions, bone fragility, diaphyseal cortical thickening and bowing of long bones. The syndrome was described for the first time in literature by Akasaka in 1969, however the etiopathogenesis and the clinical features remain largely undescribed. There is great variability between patients and the genetic screening is at present the only reliable diagnostic tool. The patients described in this paper were diagnosed with GDD on the basis of bone alterations and genomic analysis showing a heterozygous missense mutation of the ANO 5 gene (ANO 5 can also be called TMEM16E). We decided to use a conservative treatment: patient 1 underwent the surgical removal of jaw exostosis as a result of the disabling effect of the malformation and the mandibular right third molar of patient 2 was extracted because it was symptomatic. Neither of the patients experienced complications during either the surgery or the postoperative period.
Studying GDD requires a multidisciplinary team, due to the multifaceted nature of this disease. At least four specialists are necessary: a geneticist to make the diagnosis of GDD, a maxillofacial surgeon and a dentist to carry out alterations of the cranial facial area which is the most affected by the pathology, an orthopedic to treat the frequent bone fractures. The knowledge of GDD is limited to few scientific studies: further articles are necessary to study different aspects of the disease, such as genetic and dental characterizations of GDD.
Another reason why there are few studies on GDD is that GDD patients are often undiagnosed. This may be caused by the lack of awareness of GDD in the scientific community and increase the spread of information on this rare disease will help improve diagnosis.
While it is not possible to establish an ideal treatment protocol for every GDD patient, we believe this study can help treat patients with similar clinical characteristics. The review of published works on and the detailed description of two GDD patients and their dental treatment, provide essential novel information on GDD.
Oral pathology 09 April 2026
The comparison of various oral hygiene strategies in neuromusculary disabled individuals
This study aims to investigate the effect of various oral hygiene strategies on the symptoms of inflammation in neuromuscularly disabled patients and to define the optimum hygiene method.
Oral pathology 25 March 2026
Five years of experience teaching pathology to dental students using the WebMicroscope
There is an increasing tendency at medical universities to digitize whole microscope histopathological slides from teaching collections for web-based studies
Bulimia nervosa is a multifactorial health disorder characterized by a disturbed self-perception of body weight and shape and therefore by cycles of binge eating followed by compensatory behaviours...
Oral pathology 20 February 2026
HPV is one of the most common sexually transmitted diseases in adults, but the overall prevalence of infection with specific HPV types in children is not well known.
Bulimia nervosa is a multifactorial health disorder characterized by a disturbed self-perception of body weight and shape and therefore by cycles of binge eating followed by compensatory behaviours...
Prosthodontics 16 April 2026
The use of orthodontics before fixed prosthodontics in restorative dentistry
For a variety of reasons, orthodontic intervention is often overlooked as a viable modality to correct occlusal, axial, rotational, and space discrepancies before undertaking fixed prosthetic...
Editorials 16 April 2026
Congratulations to Ane Poly, D.D.S., M.Sc., Ph.D., a clinical assistant professor in the UF Department of Endodontics, who was recently chosen as the college’s representative to the Council of...
ONEDAYBIOTECH products garner honor as one of the 16th Annual Readers’ Choice Top 25 Implant Products
News 16 April 2026
National leader in oral health integration and equity joins CareQuest Institute executive team.
News 16 April 2026
Henry Schein, Inc. (Nasdaq: HSIC), the world’s largest provider of healthcare solutions to office-based dental and medical practitioners, today announced its plan to reduce the size of its Board of...