HOME - Clinical cases - Oral pathology
 
 
04 December 2019

Angiomatous lesion, of progressive growth, on the dorsum of the tongue in an elderly patient

Authors: D. Migliari, N. Sugaya, M. Trieveiler.


Reported by his dentist, a 76-year-old patient turns to our observation and has noticed for about a month the appearance of a lesion on the back of the tongue. The clinical examination reveals the presence of a sessile exophytic neoformation, rounded, with well delimited margins, of vermilion red (fig. 1). The patient reports that the lesion has grown rapidly and is concerned that it may be a malignant disease. The medical anamnesis reveals a diagnosis of multiple myeloma dating back to about 18 months ago for which the patient was treated with unspecified chemoterapics, corticosteroids and antibiotics. At the moment, the patient only takes antihypertensive therapy.

DIAGNOSIS AND CARE
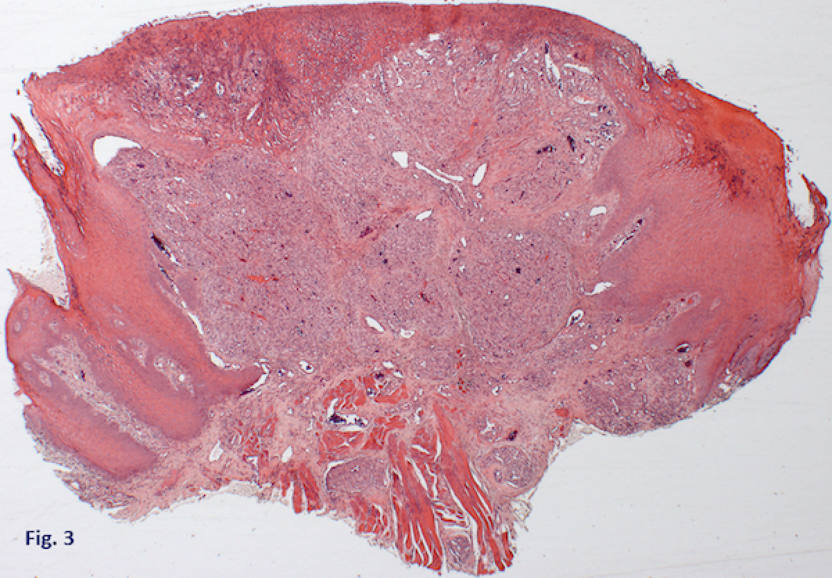
The clinical aspect suggested a lesion of a predominantly vascular nature. Equally important is the fact that the lesion presented a fibrous consistency on palpation and no signs of ischemia with digital compression were evident. Despite the absence of obvious local factors, and the absence of anamnestic data that could indicate a previous trauma, the differential diagnosis included traumatic hemangioma and pyogenic granuloma. The benignity of both injuries was reported to the patient with the aim of reassuring her. Subsequently, having obtained informed consent, the patient was subjected to an excisional biopsy operation. The technique used was the conventional one, which involves two incisions that meet to form a lozenge at the edge of the lesion (figs. 2a, b). This technique allows the connection of the surgical wound margins very efficiently. The tissue sample underwent a histopathological examination which showed a hyperkeratotic epithelium, with acanthosis, and an area of ​​ulceration. In the connective tissue there were lobular structures consisting of cells of endothelial origin, in which small vascular spaces were evident (fig. 3). 

The clinical aspect of the pyogenic granuloma can sometimes recall that of a senile capillary hemangioma (also known as "venous lake"), which is a type of lesion most common in the elderly, often located at the vermilion of the lower lip . In the venous lake there is no evidence of traumatic factors, while there may be some familiarity. The best procedure to make a distinction is to exert a compression on the lesion: the capillary hemangioma tends to ischemic and discolor, while in the pyogenic granuloma this effect does not occur.

In the case of pyogenic granuloma it is necessary to intervene surgically, preferentially using a conventional cold-blade technique, this because it is always necessary to proceed with the histological examination of the lesion. For hemangioma, on the other hand, the intervention is indicated only if the lesion is causing an aesthetic or (more rarely) functional problem. In order to treat capillary and cavernous eczema, it is preferable to use surgical lasers, which allow better bleeding control, rather than conventional excision. This intervention, however, must be carried out preferentially by the specialist, who has the knowledge of the differential diagnosis and the skill needed to perform the surgery.

Related articles

There is an increasing tendency at medical universities to digitize whole microscope histopathological slides from teaching collections for web-based studies 


Virtual microscopy (VM) is a technology for showing microscope slides using computers and could be considered a progression of classic methodology using optical microscopes.


Bioinformatics is a relatively new field of science that incorporates the principles of biology and computer science.


Many coeliac disease patients with atypical symptoms remain undiagnosed.


The classic dental diseases, caries and periodontal disease, are commonly thought to have little effect on systemic health.


Read more

Simvastatin, a cholesterol-lowering drug, has been reported to show anabolic effects on bone metabolism. 


News     15 April 2026

Planning for Perfection

Whether I’m planning dinner parties or fixing smiles, my organizational skills make me stronger


Latest advancements in DEXIS intraoral scanning technology earn top industry recognition


Oryx Dental, the leader in clinically focused, cloud-based dental practice management software (DPMS), and Seattle Study Club, the nation’s top dental education network, recently announced a new...


Bridge Dental Group is proud to announce its newest partnership with Foothill Family Dental Group and Peak Dental Specialists, two respected practices in Glendora, California, led by Dr. Mariam...


 
 
 
 

 
 
 
 

Most popular

 
 

Events