The endodontic treatment of teeth with curved canals is always challenging for the practitioner in terms of shaping, cleaning and filling of the endodontic system.
It is well known that advancements have been made in the flexibility and performance of root canal shaping NiTi instruments, that are able to follow the anatomy of the tooth and remove pulp tissue and bacteria, even in difficult anatomies. On the other hand, in vitro and ex vivo studies proved that the apical third is the zone in which eradicating bacteria is the most difficult goal to achieve since untreated areas after instrumentation can range from 10% to 50% 1: then, the action of irrigating solutions is of primary importance for the success of the therapy. Safely bringing an adequate volume of irrigant as close as possible to the working length has been the target of the irrigation tips available on the market: several designs and materials have been tested in order to give the clinician the best feeling in terms of cleaning efficacy and easiness of use 2.
Case 1
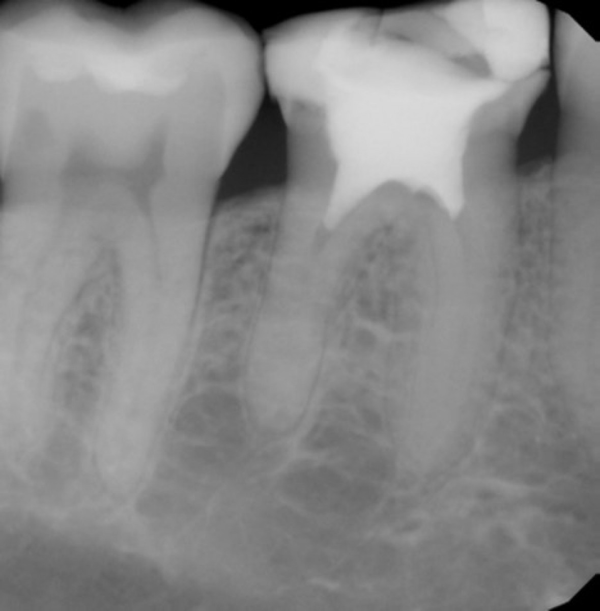
A 40 years-old patient was referred to our clinic for endodontic retreatment: the patient felt pain while chewing on a lower right first molar. The pre-operative x-ray showed that the root canal lumen was visibly diminished and the pulp chamber had been filled with flowable composite (Fig. 1), while the clinical exam showed a large and abraded composite restoration.
Rubber dam was placed on the tooth in order to isolate the operative field 3 (Fig. 2) and the root canal treatment was began. The first step of a correct shaping of the root canal system is the access cavity 4: it ideally has to be the coronal projection of the root canals and it is meant to be as small as practical. The coronal composite was carefully removed with a diamond-coated bur as soon as the pulp chamber floor was reached (Fig. 3). After designing the access cavity, the carboxy cement that had been placed in the root canals in the primary treatment was removed, and the root canal openings were sought and found with the help of the operative microscope (Fig. 4). Subsequently, it was managed to remove the cement from the root canals. Since the primary treatment had not respected the basic principles of shaping, cleaning and filling tridimensionally the root canal system, it was necessary to consider as the pulp was still present in the root canals. The scouting phase was executed, first with thin stainless steel manual instruments and NiTi rotary files (Fig. 5), then NiTi reciprocating files were used to shape the root canal system 5 (Fig. 6).
After root canal enlargement, irrigation was performed by means of 5 % sodium hypochlorite carried by a 0,3 mm stainless steel side-vented needle (Fig. 7), trying to bring the needle tip as close as possible to the working length 6. The fluid was then activated with sonic inserts according to the indications by Tonini et al. 8(Fig. 8). The root canals were then dried with aspiration(Fig. 9, 10) and paper cones (Fig. 11).
The obturation phase was carried out with warm guttapercha according to the continuous wave technique (Fig. 12, 13), then a provisional obturation was placed and the patient was sent back to the referring dentist for the final indirect restoration (Fig. 14).
Case 2
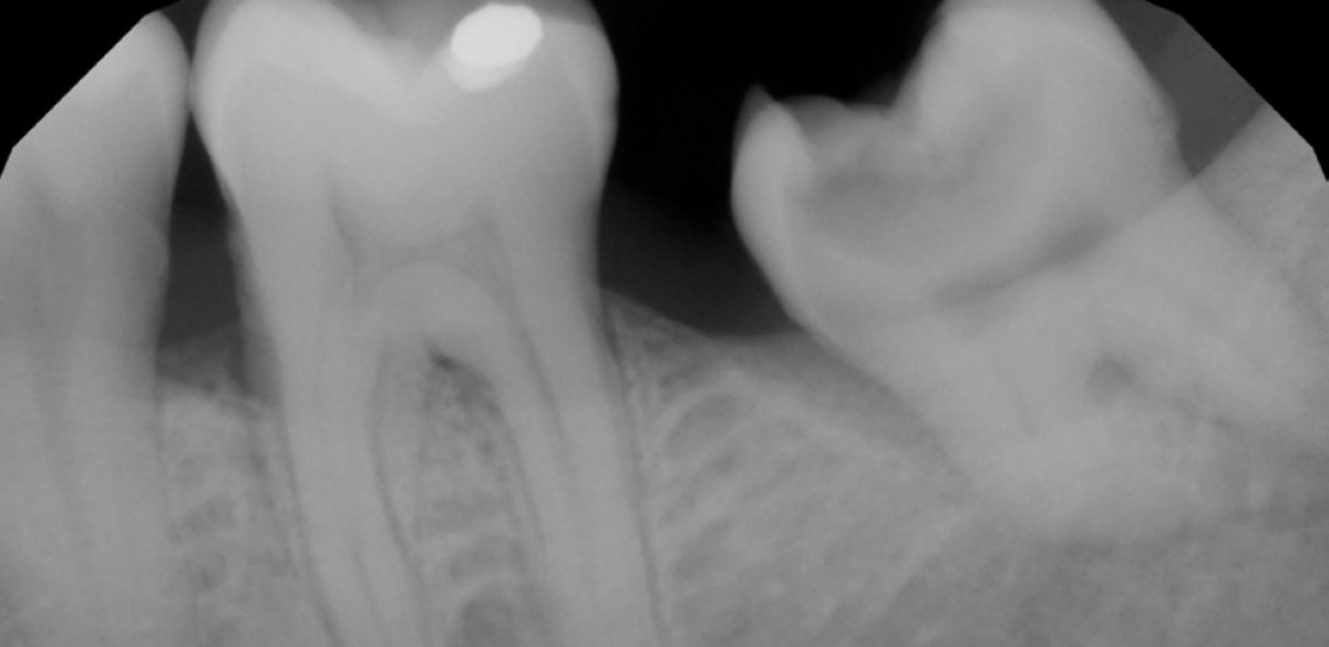
A 56 years-old patient came to our office complaining of an intense pain on tooth 3.8. The elements how next ended carious lesion (Fig. 15) and the x-rays confirmed that the decay was in proximity to the pulp chamber (Fig. 16). A lower alveolar nerve block was executed, then rubber dam was placed and the decay was removed with the help of a microscope (Fig. 17-19). After removing all the decayed tissue, the access cavity was completed trying to be extremely conservative and the root canal openings were found and enlarged with the help of ultrasonic tips (Fig. 20). The scouting of the root canal was executed with thin hand files (Fig. 21, 22), then the shaping procedure was carried out by means of reciprocating NiTi files (Fig. 23, 24) 9. The irrigation phase was executed with IrriFlex, a novel polypropylene irrigation tip that has a 2-side vented exits (Fig. 25-27), then the irrigant activation was done with sonic tips. Shaping and irrigation were alternated until the root canals were looking clean and appropriately tapered (Fig. 28-32) 10, 11. Paper cones were then used to dry the root canals (Fig. 33, 34) then, in this case, the obturation was done with single cone and bioceramic sealer (Fig. 35, 36). The access cavity was sealed with composite material, then an indirect restoration was booked.
Comment
The clinical cases were executed by the same experienced practitioner and both had a favorable outcome.
The choice relative to the clinical protocol were led by the clinical scenario. If there were no difference in the shaping system selected (since the combination between manual scouting and reciprocating NiTi files permitted to shape the root canals decreasing the risk of instrument fracture, even in presence of strong curvatures), the irrigation tip and the obturation method selected were different.
The different choice of irrigation tips was due to the availability of the products and to the anatomy of the root canals. Since it was rational to suppose that mechanical shaping was not able alone to remove in toto pulp remnants, smear layer and bacteria, irrigation played an important role in both cases.
In the first case, a thin metal side-vented tip was used. The root canals were quite straight, so this kind of tip permitted a good penetration of sodium hypochlorite into the root canal and the presence of a lateral exit for the irrigant prevented its extrusion in the peridontium. In the second case, where the curvature of the roots was more pronounced, a metal tip (even if pre-bent) would not have permitted to bring the irrigant close to the working length. This happens because metal needles tend to block towards the walls of the canal, diminishing the volume of irrigant reaching the apex, with a less effective fluid dynamics 12. Considering this statement, a soft body polypropylene irrigation tip, IrriFlex (Produits Dentaires SA, Vevey, Switzerland), was chosen for this case. IrriFlex smoothly reached the working length, without showing any problem of penetration into the prepared root canal, thanks to the capability of its body to follow the shape of the root, and allowed bringing to the apex a high irrigant volume. The presence of length marks on the body of the tip helped the clinician knowing effortlessly the position of the needle with respect to the working length. The solution delivery was remarkably effortless as a soft pressure on the syringe plunger was enough to irrigate. IrriFlex was effective and safe, because of the back-to-back two side vent design of the tip that prevented the irrigating solution from extruding into the periapical tissues and helped achieving clean canal walls (that appeared glossy when watched with the operative microscope) in a short time.
As regards the obturation technique, the warm gutta percha obturation permits to fill tridimensionally the root canal system, whereas the bioceramic sealer finds its major indication when the complex anatomy of the tooth requires a sealer with antibacterial activity and high biocompatibility.
BIBLIOGRAPHY
1. Paqué F, Ganahl D, Peters OA. Effects of root canal preparation on apical geometry assessed by micro-computed tomography. J Endod. 2009 ; 35(7) :1056-9.
2. Basrani B, Haapasalo M. Update on endodontic irrigating solutions. Endo Topics. 2012;27:74-102.
3. Ahmed H, Cohen S, Lévy G, Steier L, Bukiet F. Rubber dam application in endodontic practice: an update on critical educational and ethical dilemmas. Austr Dent J. 2014 ; 59:457-63.03
4. Corsentino G, Pedulla E, Castelli L, Liguori M, Spicciarelli V, Martignoni M, et al. Influence of Access Cavity Preparation and Remaining Tooth Substance on Fracture Strength of Endodontically Treated Teeth. J Endod. 2018;44(9) : 1416-21.
5. Burklein S, Benten S, Schafer E. Shaping ability of different single-file systems in severely curved root canals of extracted teeth. Int Endod J. 2013;46(6) : 590-7.
6. Bronnec F, Bouillaguet S, Machtou P. Ex vivo assessment of irrigant penetration and renewal during the cleaning and shaping of root canals: a digital subtraction radiographic study. Int Endod J. 2010;43(4) : 275-82.
7. Blank-Goncalves LM, Nabeshima CK, Martins GH, Machado ME. Qualitative analysis of the removal of the smear layer in the apical third of curved roots: conventional irrigation versus activation systems. J Endod. 2011; 37(9) : 1268-71.
8. Tonini R, Cerutti F. Disinfezione e protocolli clinici nei ritrattamenti. 1. 1 ed. Ritrattamenti. Soluzioni per patologie apicali di origine endodontica : EDRA; 2019. p. 215-44.
9. Gunes B, Yesildal Yeter K. Effects of Different Glide Path Files on Apical Debris Extrusion in Curved Root Canals. J Endod. 2018 ; 44(7) : 1191-4.
10. Boutsioukis C, Lambrianidis T, Verhaagen B, Versluis M, Kastrinakis E, Wesselink PR, et al. The effect of needle- insertion depth on the irrigant flow in the root canal: evaluation using an unsteady computational fluid dynamics model. J Endod. 2010;36(10) : 1664-8.
11. Psimma Z, Boutsioukis C, Kastrinakis E, Vasiliadis L. Effect of needle insertion depth and root canal curvature on irrigant extrusion ex vivo. J Endod. 2013;39(4) : 521-4.
12. Boutsioukis C, Lambrianidis T, Kastrinakis E. Irrigant flow within a prepared root canal using various flow rates: a Computational Fluid Dynamics study. Int Endod J. 2009;42 : 144-55.
Digital Dentistry 20 April 2026
To report a fully digital and guided immediate-load All-on-4 protocol conducted in Brazil on a 59-year-old male patient with an edentulous maxilla and a history of oropharyngeal cancer surgery,...
Endodontics 13 January 2026
Regenerative endodontic treatment has provided a treatment option that aims to allow root maturation.
Oral surgery 22 December 2025
A very uncommon kind of ameloblastoma that combines a traditional follicular or plexiform subtype with solid-type ameloblastoma and desmoplastic features is emerging as a distinct entity.
Endodontics 05 October 2025
Regenerative endodontic procedures (REPs) associated with apical surgery could represent an alternative treatment strategy for patients whose teeth present incomplete root formation and extensive...
Editorials 24 April 2026
Students, Faculty Turn Spotlight on Penn Dental Research at 2026 IADR/AADOCR/CADR General Session
Penn Dental Medicine students and faculty were featured prominently at the 2026 IADR/AADOCR/CADR General Session & Exhibition, held March 25-28 in San Diego, California.
When patients brush their teeth before heading to bed, many assume their manual brush removes enough plaque.
News 24 April 2026
35-year healthcare veteran who scaled dental and Medicaid programs to over $1 billion in revenue joins as LightSpun enters critical growth phase on the heels of
News 24 April 2026
The dental profession is mourning the loss of Byoung In Suh, a pioneering scientist, educator, and entrepreneur whose work helped define modern adhesive dentist
This study was not funded by any organization or institution or any research grant company.