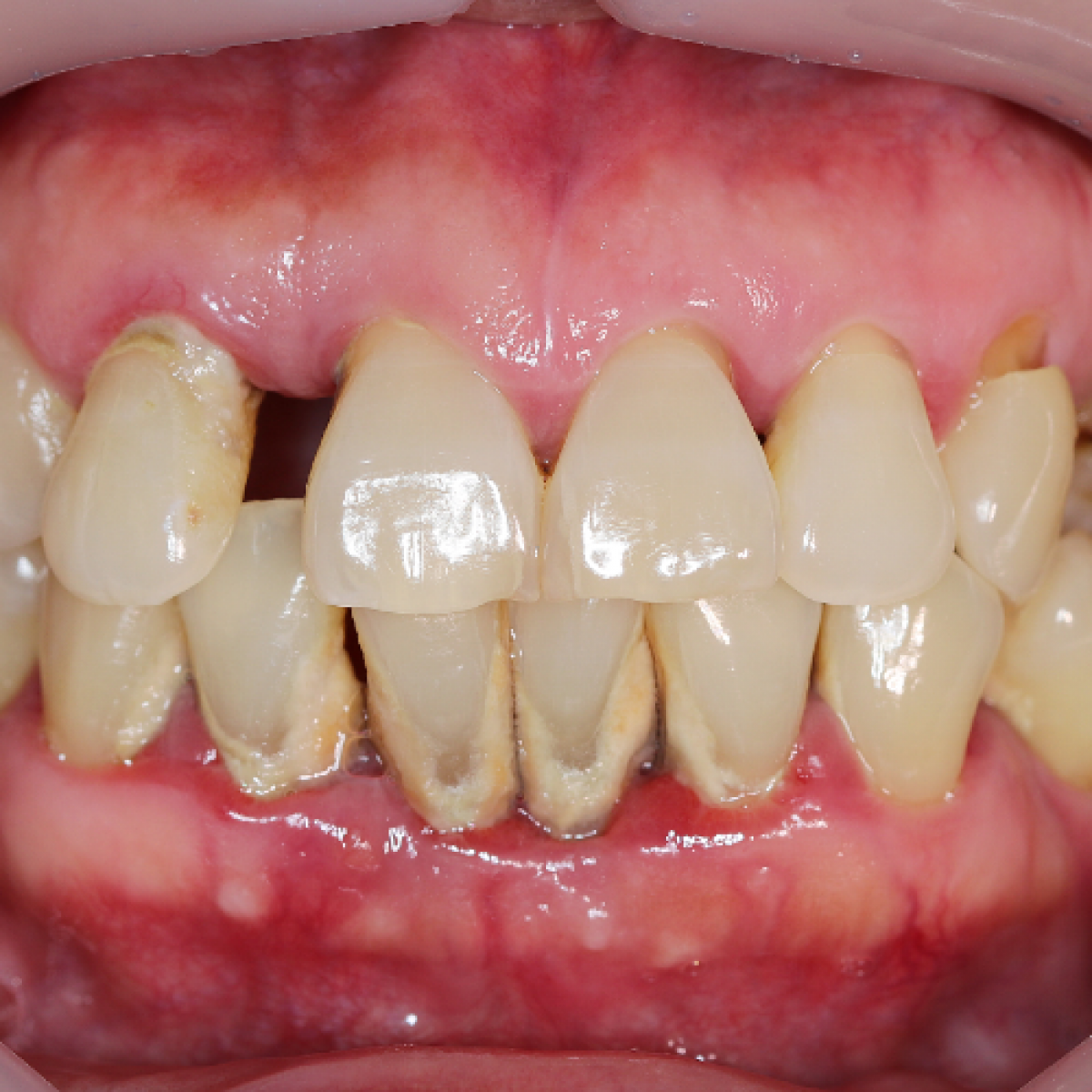
The Oral Health Foundation recently reported research that points to gum disease as a possible indicator of poor outcome with COVID-19. The research, published in the Journal of Clinical Periodontology, looked at more than 500 patients and found that those with severe gum disease were as much as five times more likely to need a ventilator and nine times more likely to die if infected with COVID-19.
OHF suggested the study highlights the importance of gum health, which is indicated by bleeding gums. Regular teeth cleaning, removal of plaque and tartar, and early gum disease detection and treatment are essential to maintain oral health.
Source: https://www.dentalhealth.org/news/gum-disease-linked-to-covid-19-complications
News 27 October 2025
OrthoFX, a leading innovator of shorter wear time aligner systems, announces AirFlex with new PrecisionFinish Aligners.
News 27 October 2025
Young Innovations Strengthens North American Leadership Team
Young Innovations, a leading global manufacturer and distributor of dental supplies and equipment, is pleased to announce two significant additions to its North American leadership team as part of...
News 24 October 2025
As dental professionals prepare to wrap up 2025, many are setting ambitious goals for the year ahead, yet few have a clear, actionable plan to achieve them.
News 24 October 2025
The Yankee Dental Congress will take place from January 29, 2026, through January 31, 2026, at the Thomas M. Menino Convention & Exhibition Center in Boston.
News 23 October 2025
The global dental implants market is projected to grow from USD 5.45 billion in 2024 to USD 15.41 billion by 2035, expanding at a CAGR of 9.95% from.
Oral surgery 27 October 2025
The authors assessed the incidence of postoperative bleeding in patients who were highly anticoagulated and in patients who underwent extensive oral surgical procedures and who continued using oral...
With a new name, Tufts Special Care Dental Clinics continues a 50-year mission of treating people with intellectual and developmental disabilities
Ultradent Products, Inc., a leading developer and manufacturer of high-tech dental materials, is announcing the launch of VALO X Colors: new, vibrant finishes for the award-winning VALO X curing...
News 27 October 2025
OrthoFX, a leading innovator of shorter wear time aligner systems, announces AirFlex with new PrecisionFinish Aligners.
News 27 October 2025
Young Innovations Strengthens North American Leadership Team
Young Innovations, a leading global manufacturer and distributor of dental supplies and equipment, is pleased to announce two significant additions to its North American leadership team as part of...