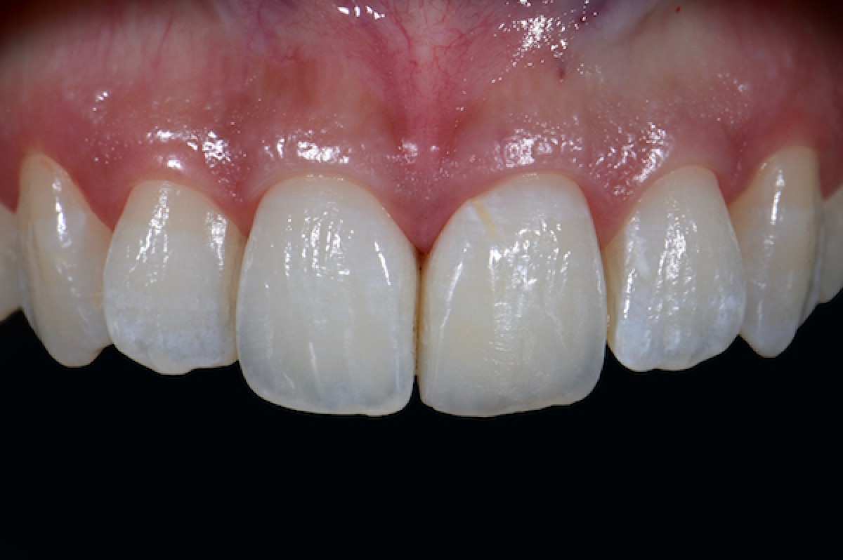
A 24-year-old female patient came to my attention with the need of esthetic improvement on 2.1, restored nearly 10 years ago, when she was a child. General medical history was negative. The oral examination detects the incorrect esthetic integration of the old restoration, showing a lower value and an incorrect form of the central incisor. A pulp vitality test was performed resulting in positive values. We therefore decided to perform a direct restoration in order to replace the older restoration.
Pre-operative situation, showing the clinical condition (Fig. 1)
Color check applying directly on the tooth small masses of selected composite (Fig. 2)
Direct mock-up using composite in order to recreate the form and to create a palatal guide (Fig. 3)
Cavity preparation under rubber dam. The old composite was removed with burs mounted on a red ring contra-angle and abrasive disks (Fig. 4)
After performing adhesion phases, we used the silicon index printed directly in the mouth on the direct mock-up (before rubber dam placement) to recreate the palatal shell (Fig. 5)
Palatal shell obtained by the process (Fig. 6)
Creation of the interproximal wall by using a transparent matrix (Fig. 7)
Layering of dentin and incisal effects placed in the incisal margin (blue, amber and white) (Fig. 8)
Layering of the enamel totally covering dentin and incisal margin (Fig. 9)
First polishing of the restoration, creating macro and micro-texture in order to better simulate the natural tooth (Fig. 10)
Restoration after removing rubber dam (Fig. 11)
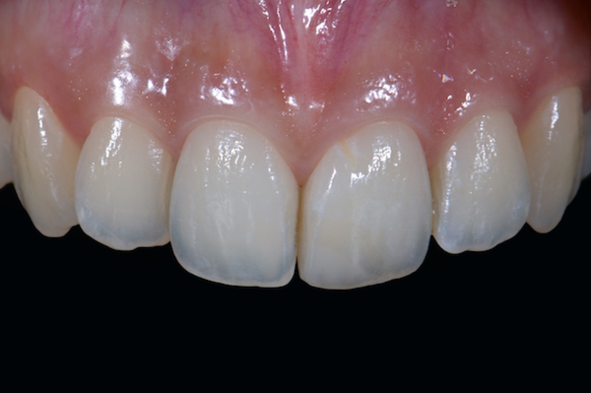
Color check after 2 months from the execution of the restoration (Fig. 12)
Dentistry Today recently attended a robotic-assisted dental implant procedure performed by Jay Neugarten, DDS, MD, FACS, utilizing the Yomi S robotic guidance s
Endodontics 21 April 2026
For a daily dental practice, the Panoramic (PANO) X-ray film is one of the most commonly used dental X-rays.
Editorials 21 April 2026
NYU Dentistry Receives $5M to Expand Oral Health Care for Children with Disabilities
State funding will create dedicated space for pediatric and adolescent care and improve access for people with disabilities across the lifespan