Tooth autotransplantation is the transplantation of one's own tooth from one site of the mouth to another edentulous site. This technique is possible only when a donor tooth is available. Recently, instead of implant solution, autotransplantation has been considered an ideal treatment, especially for a growing patient. In the oral and maxillofacial field 3D models are used for a wide range of applications, such as patient explanations, preoperative treatment planning, surgical simulation, and medical education. Their applications in dentistry are even wider. In this case report published on Bull Tokyo Dent Coll in 2019, Authors described a case of autotransplantation of a mandibular impacted third molar using a 3-dimensional (3D) model.
Matherials and Methods
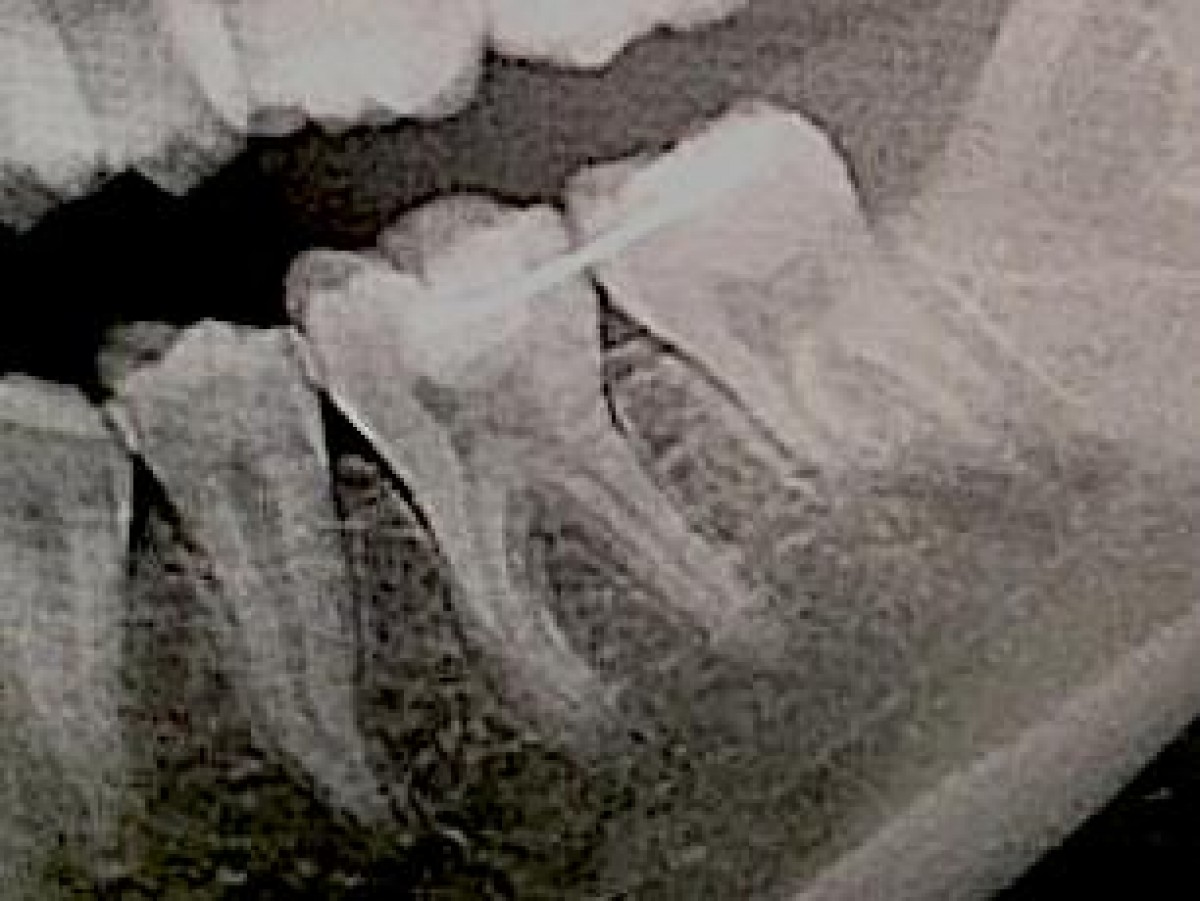
A 27-year-old woman underwent a visit in the Department of Endodontics at Tokyo Dental College Chiba Hospital for conservative treatment of the mandibular left second molar. Intraoral radiography and CBCT images showed a C-shaped root canal in the mesial root and resorption of the distal root due to impact of the crown of the horizontally impacted third molar. Extraction was therefore planned and the possibility of transplanting tooth 38 to replace 37 was considered. Multiple 3D models of these teeth were subsequently prepared based on computer-aided design (CAD) data obtained from CBCT images using a desktop 3D printer. The procedure was explained to the patient using the 3D models and surgical simulation. Finally the surgery was carried out. For temporary fixation to the adjacent tooth, adhesive resin was used.
Results
Postoperative at 2 months showed no vitality of the transplanted tooth, so an endodonthic treatmet was performed. At one year of follow up, any anomaly was found and the patient was able to chew with the transplanted tooth and radiographs indicated a successful postoperative clinical course.
Conclusion
Autotransplantation of a third molar to another molar site could have many benefits for the patient and could be highly successful. 3D technology for preoperative diagnosis and surgical simulation could be a great support both for the surgeon and the patient. In particular this tool is very useful in tooth autotransplantation.
(Photo credit: Dr. Matteo Patarino)
For additional informations:
Autotransplantation of Impacted Third Molar Using 3D Printing Technology: A Case Report.
Oral surgery 27 October 2025
The authors assessed the incidence of postoperative bleeding in patients who were highly anticoagulated and in patients who underwent extensive oral surgical procedures and who continued using oral...
Implantology 02 October 2025
Proper implant treatment planning remains the first priority for implant success. Dental imaging is an important tool to accomplish this task.
Oral surgery 05 September 2025
Fentanyl, a short-acting synthetic opioid, has a pharmacokinetic profile suited to fast relief of brief episodic pain.
Oral surgery 22 August 2025
Thiel embalming technique: a valuable method for teaching oral surgery and implantology
Because of its high requirements on surgical experience and the need of complete understanding of the anatomy, oral surgery and especially implantology belong to the most demanding procedures in...
Proper use of oral electrosurgery permits rapid, full management of soft-tissue problems related to mouth preparation for fixed and removable prosthodontics.
Much like EMTs rushing to the scene after an accident, stem cells hurry to the site of a skull fracture to start mending the damage. A new finding has uncovered the signaling mechanism that triggers...
Products 05 November 2025
SimplyTest has launched a groundbreaking saliva-based test to detect high-risk strains of oral human papillomavirus (HPV), a major cause of oropharyngeal cancers.
News 05 November 2025
Perimetrics, Inc., a dental technology company pioneering quantitative diagnostics, announced today that the U.S. Food and Drug Administration (FDA) has granted clearance for the InnerView...
News 05 November 2025
On October 15, open enrollment for Medicare began nationwide. Hundreds of thousands of seniors in New Jersey will once again face the challenge of finding the right Medicare coverage, including the...
Digital Dentistry 04 November 2025
Digitalisation is an expanding field in dentistry and implementation of digital teaching methods in dental education is an essential part of modern education.