Abstract
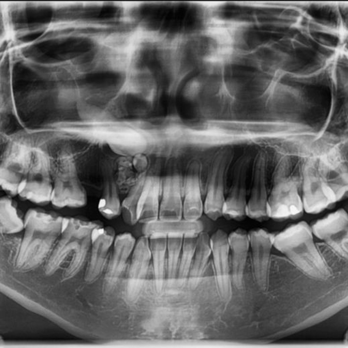
Adenoid ameloblastoma with dentinoid had been perceived as a rare odontogenic tumor with bridging histopathological features between ameloblastoma and adenomatoid odontogenic tumor. Due to the mixture of histopathological features of two separate and well-recognized entities, adenoid ameloblastoma was also regarded as a hybrid lesion. The diversity in the histopathological presentation among the cases has disaccorded the nature, behaviour, and prognosis of this pathology. Despite the literature acknowledging the histopathological diversity, categorizing all these variations into one and addressing them as a single entity was lagging till the 5th edition of the odontogenic tumor classification by the WHO was forwarded. With the establishment of the new terminology of adenoid ameloblastoma and the enlistment of its diagnostic criteria, the scientific literature has advocated updating, contributing, and redefining the various aspects of this pathology. Here, we present a case of a 34-year-old male who presented with a chief complaint of swelling in the lower front region of his jaw in the past one month. The swelling was associated with pain that was sudden in onset with a progressive increase in size. The swelling was also associated with discharge that resembled pus. A panoramic radiograph showed a mixed radiopaque and radiolucent area, extending from the distal aspect of 32 up to the distal aspect of 43. The entire cystic lining along with the growth was excised and sent for histopathological examination. Correlating clinically, the histopathological features are suggestive of adenoid ameloblastoma. Scientific literature has stood as a boon to evidence-based practice. The diagnosis for the present case report is truly an outcome of the literature-based update which helped the diagnosis of the case as a separate entity rather than as a hybrid pathology. The goal was to enhance the understanding of the lesions in terms of their clinical characteristics and diverse histopathological morphology.
Author: Shashi Keshwar, Toniya Raut, Neetu Jain, Ashish Shrestha, Mehul Rajesh Jaisani
Source: https://www.hindawi.com/journals/crid/2024/8366045/
Products 13 January 2026
Revolutionizing Pediatric Dentistry with Dr. Josh Solomon: SDI Stela & Bioclear Insights
Join pediatric dentist Dr. Josh Solomon as he discusses the cutting-edge SDI Stela self-curing composite system and the Bioclear matrix system, and how these products are transforming Class II...
News 26 September 2025
Zuub, the industry’s leading provider of AI-powered dental insurance verification—delivered via SaaS, API, or a hybrid of both—shared key insights from conversations with dental support...
News 27 May 2025
VideaHealth, a leader in AI-powered dental solutions, today announced the launch of VideaInsights, an advanced dental analytics solution designed to help Dental Service Organizations (DSOs) and...
News 20 March 2025
Newly released industry data shows that 60% of practices saw same-store production growth in 2024 despite economic challenges. Based on operational data from 3,400 practices, the first-of-its-kind...
Pediatric dentistry 20 February 2025
The Use of Amalgam in Pediatric Dentistry: New Insights and Reappraising the Tradition
The debate on amalgam led to its being phased out in some countries. Results of clinical trials report failure rates of amalgams ranging from 12 percent to over 70 percent. Treatment of caries should...
A survey among orthodontists to assess clinical procedures of overweight screening and nutrition intervention among youth was conducted.
Editorials 23 January 2026
Indiana University School of Dentistry (IUSD) has a long history of producing qualified dental hygienists, and this year was no different.
Products 23 January 2026
Buffalo Dental Manufacturing (BDM), a leading dental company with the industry’s widest range of handpieces, lab products, lab equipment, and vacuum forming materials and accessories, recently...
News 23 January 2026
COCOLAB, the cult-favorite oral wellness brand founded by sisters Dr. Chrystle Cu and Catherine Cu, is expanding its national retail presence with a new in-store rollout at Target.
News 23 January 2026
JW Practice Advisory announced today that Dave Dahler has joined the firm as Co-Managing Partner, alongside founder John Wlodarek, marking a significant milestone in the firm’s continued national...