HOME - Clinical cases - Orthodontics
 
 
14 March 2022

Segmental osteotomy for the management of an ankylosed permanent tooth. A case report

Authors: E.M. Bazzinia, A. Rossib, L. Boschiana, F. Tomatisa, V. Capilupib, E. Ciapponia, G. Garattini


The aim of this case re- port is to describe a method to treat an- kylosed teeth, as an alternative to avul- sion and replantation procedures.

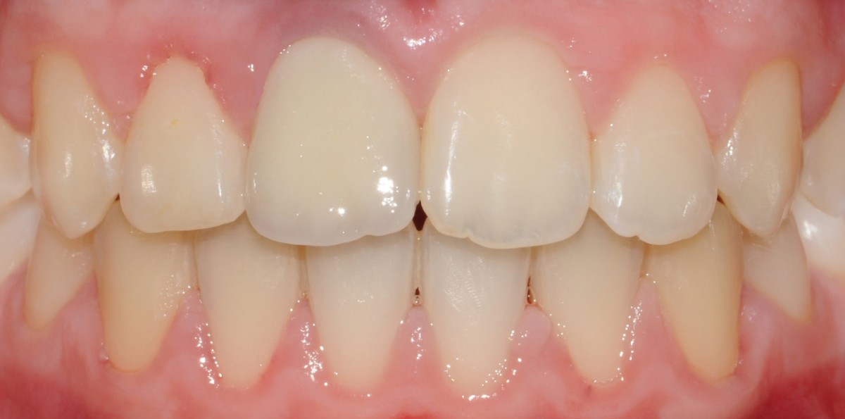
MATERIALS AND METHODS.
The case of a 13-year-old patient is presented, who was subjected to a single tooth den- to-osseous osteotomy for the treatment of an ankylosed and infraoccluded max- illary right central incisor.

RESULTS
Short term evaluation re- vealed a good soft tissue healing. After 6 months, there was no evidence of relapse in the tooth position.
The post-treatment panoramic radio- graph showed good bone regeneration around the segmental osteotomies.

CONCLUSIONS
Single-tooth osteotomy to reposition an ankylosed tooth, in con- junction with orthodontic treatment, is a predictable and successful procedure. This technique enables the repositioning of the ankylosed tooth, while preserving the alveolar bone.

Read more

 In healthcare, the need to pay more attention to the achievement of two objectives within the society arises: health promotion and prevention in terms of nutrition, good education, sport, and...


In her new role she is providing direction and supporting initiatives that elevating UFCD's translational research agenda.


Presto Dental, a new brand affiliated with the Abra Health Group, proudly announces the grand opening of its flagship Connecticut location in Bridgeport. This state-of-the-art.


The American Association of Oral and Maxillofacial Surgeons (AAOMS) celebrated the achievements of more than 30 individuals at the association’s 107th Annual Meeting, Scientific Sessions and...


 
 
 
 

 
 
 
 

Most popular

 
 

Events