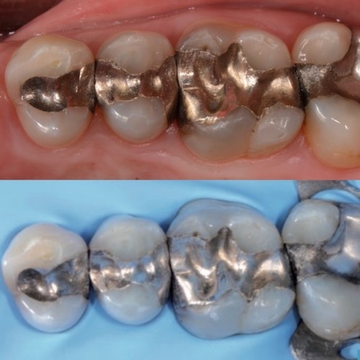
38-year-old male patient with negative medical history, who comes for a visit many years after the last dental check-up. He reports difficulty in removing food residues in the interproximal areas, in correspondence with some fractured amalgam restorations. However, it does not report pain / thermal sensitivity on any of the dental elements.
Physical and radiographic examination of the dental surfaces shows the presence of secondary carious lesions affecting the following dental elements: 1.7, 1.6, 1.5, 1.4. (Fig. 1-2)
The cold test performed on vital dental elements is positive and highlights the absence of irreversible pulp pathologies. Diagnosis Occlusal-distal carious lesion on 1.4 and mesio-occlusal-distal carious lesions on 1.5, 1.6 and 1.7.
Proposed treatment plan
Periodontal probing, scaling and root planing to remove subgingival tartar deposits;
Oral hygiene education and motivation;
Revaluation survey before proceeding with conservative therapies;
Execution of direct composite restorations on 1.4 and 1.5 and indirect restorations on 1.6 and 1.7.
We decided, for this first phase of the clinical case, to illustrate only the step-by-step clinical procedures of the direct restorations of 1.4 and 1.5. For indirect ones, we will refer to the future issue number.
STEP-BY-STEP CLINICAL PROCEDURES
1)Removal of carious lesions on 1.4 and 1.5
Isolation of the operating field with the rubber dam fixed at the level of element 1.7 with a previously sandblasted 27N hook (Fig. 3b). Subsequently, removal of the carious lesions on 14 and 15.
For the removal of the amalgams, a multi-blade tungsten drill mounted on a red ring contra-angle was used initially, under abundant jet of water and suction, followed by a cutter cylindrical diamond bur and a ceramic rosette for the removal of infected tissue at the dentin substrate level.
The cavity margins were finished with red and yellow ring diamond cutters.
The cervical steps of the cavities were also terminated with red and yellow grit diamond cutters mounted on the EVA handpiece and abrasive diamond strips.
2)Direct reconstructions on 1.4 and 1.5
Once the cleaning and finishing procedures were completed (Fig 4a), the sectional metal matrices were positioned at the level of the interproximal areas with the aid of a wooden wedge and a metal ring (Fig. 4b).
The matrices and wedges were intentionally positioned both at the level of 14 and at the level of 15 for a better distribution of the space between the restorations and to avoid a wall too pronounced in the distal direction.
After positioning the matrix system, 37% orthophosphoric acid based etching was applied on the enamel margins (30 '') and on the dentinal surfaces (15 '') of 1.4 . The etching agent was rinsed with abundant water jet for about 40 '. A 3-step etch-and-rinse adhesive polymerized 20 seconds was applied to the cleaned and dried cavities before proceeding with the reconstruction of the interproximal composite walls (Fig. 5a).
Once both proximal walls were reconstructed, a first layer (about 0.5 mm) of flowable composite, color A3, was applied to the bottom of the cavity followed by a layering of nanohybrid composite (dentin) to form a class I cavity. , color A3 (Fig. 5b).
A very thin layer of super white color was positioned at the level of the triangular crests under the final enamel layer. To complete the restoration, the brown color was applied to the furrows.
Once the first direct restoration was finished, we proceeded, as already described to the restoration on 1.5 (Fig. 6).
To finish the surfaces of both restored elements, diamond cutters with low granulometry were used, followed by paper disks with different degrees of abrasiveness, by rubber pads and brushes. The interproximal area was further refined with low-grain diamond burs mounted on the EVA handpiece and with low-abrasive metal strips, in order to maintain a correct contact point and an adequate emergence profile.
Restorative dentistry 03 November 2025
The worldwide interest of both dentists and patients in esthetic dentistry has affected decision-making in dental practice.
Restorative dentistry 12 September 2025
Traumatic tooth injuries involve function and aesthetics and cause damage that range from minimal enamel loss to complex fractures involving the pulp tissue and even loss of the tooth crown.
The purpose of restorative dentistry is to restore and maintain health and functional comfort of the natural dentition combined with satisfactory aesthetic appearance.
Oral surgery 15 July 2025
The influence of patients' decisions on treatment planning in restorative dentistry
As part of treatment planning, options are presented to patients by dentists. An informal discussion takes place involving a cost-benefit analysis and a treatment plan is agreed.
Restorative dentistry 01 July 2025
Advances in CAD/CAM Technology for Chairside Restorative Dentistry: A Workflow Analysis
Chairside CAD/CAM technology has revolutionized restorative dentistry, offering streamlined workflows and improved patient outcomes.
Much like EMTs rushing to the scene after an accident, stem cells hurry to the site of a skull fracture to start mending the damage. A new finding has uncovered the signaling mechanism that triggers...
Products 05 November 2025
SimplyTest has launched a groundbreaking saliva-based test to detect high-risk strains of oral human papillomavirus (HPV), a major cause of oropharyngeal cancers.
News 05 November 2025
Perimetrics, Inc., a dental technology company pioneering quantitative diagnostics, announced today that the U.S. Food and Drug Administration (FDA) has granted clearance for the InnerView...
News 05 November 2025
On October 15, open enrollment for Medicare began nationwide. Hundreds of thousands of seniors in New Jersey will once again face the challenge of finding the right Medicare coverage, including the...
Digital Dentistry 04 November 2025
Digitalisation is an expanding field in dentistry and implementation of digital teaching methods in dental education is an essential part of modern education.